> Antigen, Antibodies, ELISA, Western Blot > Primary Antibody > Monoclonal Antibodies > FSH-beta (Follicle Stimulating Hormone-beta) Antibody - Without BSA and AzideBrand |
Leading Biology | Catalog Number |
APR07341G |
Product Type |
Monoclonal Antibodies | Field of Research |
|
Product Overview |
We constantly strive to ensure we provide our customers with the best antibodies. As a result of this work we offer this antibody in purified format.
We are in the process of updating our datasheets. If you have any questions regarding this update, please feel free to contact our technical support team.
This product is a high quality FSH-beta (Follicle Stimulating Hormone-beta) antibody - Without BSA and Azide.
|
||
Molecular Weight |
22kDa
|
||
Cellular Localization |
Antigen Cellular Localization:
Secreted.
|
||
Host |
Mouse
|
||
Species Reactivity |
Human
|
||
Clone |
SPM107
|
||
Isotype |
Mouse / IgG1, kappa
|
||
GeneID |
|||
UniProt ID |
|||
Function |
Stimulates development of follicle and spermatogenesis in the reproductive organs.
|
||
Summary |
This MAb reacts with a protein of 22kDa, identified as beta sub-unit of FSH. It does not cross react with the alpha sub-unit. Follicle stimulating hormone (FSH) is a hormone synthesized and secreted by gonadotrophs in the anterior pituitary gland. In the ovary, FSH stimulates the growth of immature Graafian follicles to maturation. As the follicle grows, it releases inhibin, which deactivates the FSH production. In men, FSH enhances the production of androgen-binding protein by the Sertoli cells of the testis and is critical for spermatogenesis. FSH and LH act synergistically in reproduction. FSH is a useful marker in the classification of pituitary tumors and the study of pituitary disease.
|
||
Form |
Liquid |
||
Storage & Stability |
Store at +4°C short term. For long-term storage, aliquot and store at -20°C or below. Stable for 12 months at -20°C. Avoid repeated freeze-thaw cycles.
|
||
Applications |
IHC, IF, FC
|
||
Synonyms |
Follitropin subunit beta, Follicle-stimulating hormone beta subunit, FSH-B, FSH-beta, Follitropin beta chain, FSHB
|
||
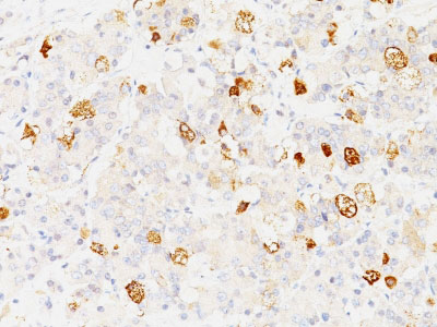
Images |
Formalin-fixed, paraffin-embedded human Pituitary stained with FSH-beta Monoclonal Antibody (SPM107). |
||
Specification |
|||
Quantity |
|
||
| Select | Brand | Catalog No. | Product Name | Pack Size | Type | Field of Research | Specification | Quantity | Price(USD) | |
| 1 | Leading Biology | APG02467G | CCK4 / PTK7 Antibody (clone 4F9) | 50 μl | Monoclonal Antibodies |
|
$495.00 | Add Ask | ||
| 2 | Leading Biology | AMM04683G | GALT Antibody (clone 4C11) | 50 μg | Monoclonal Antibodies |
|
$545.00 | Add Ask | ||
| 3 | Leading Biology | AMM01402G | Vimentin (Mesenchymal Cell Marker) Antibody - With BSA and Azide | 50 ug | Monoclonal Antibodies |
|
$395.00 | Add Ask | ||
| 4 | Leading Biology | APR08280G | LTA4H / LTA4 Antibody (clone 9G8) | 50 μl | Monoclonal Antibodies |
|
$495.00 | Add Ask | ||
| 5 | Leading Biology | AMM00172G | CD1a / HTA1 (Mature Langerhans Cells Marker) Antibody - With BSA and Azide | 50 ug | Monoclonal Antibodies |
|
$395.00 | Add Ask | ||
| 6 | Leading Biology | AMM05750G | CEBPA Antibody | 100 μl | Monoclonal Antibodies |
|
$545.00 | Add Ask |
Leading Biology Inc.
2600 Hilltop DR, Building G, B Suite C138
Richmond, CA, 94806
Tel: 1-661-524(LBI)-0262
Email: info@leadingbiology.com
Complete this form and click send to ask us a question, request a quote or simply say hello.

You have 0 item in your cart

You have 0 item in your inquiry list