> Antigen, Antibodies, ELISA, Western Blot > Primary Antibody > Polyclonal Antibodies > FN3KRP Antibody (N-Term)Brand |
Leading Biology | Catalog Number |
AMRa00021G |
Product Type |
Polyclonal Antibodies | Field of Research |
|
Product Overview |
We constantly strive to ensure we provide our customers with the best antibodies. As a result of this work we offer this antibody in purified format.
We are in the process of updating our datasheets. If you have any questions regarding this update, please feel free to contact our technical support team.
This product is a high quality FN3KRP antibody (N-Term).
|
||
Molecular Weight |
34412 Da
|
||
Host |
Rabbit
|
||
Species Reactivity |
Human, Mouse
|
||
Target |
This FN3KRP antibody is generated from a rabbit immunized with a KLH conjugated synthetic peptide between 24-58 amino acids from human FN3KRP.
|
||
Isotype |
Rabbit Ig
|
||
GeneID |
|||
UniProt ID |
|||
Function |
Phosphorylates psicosamines and ribulosamines, but not fructosamines, on the third carbon of the sugar moiety. Protein- bound psicosamine 3-phosphates and ribulosamine 3-phosphates are unstable and decompose under physiological conditions. Thus phosphorylation leads to deglycation.
|
||
Summary |
Phosphorylates psicosamines and ribulosamines, but not fructosamines, on the third carbon of the sugar moiety. Protein- bound psicosamine 3-phosphates and ribulosamine 3-phosphates are unstable and decompose under physiological conditions. Thus phosphorylation leads to deglycation.
|
||
Form |
Purified polyclonal antibody supplied in PBS with 0.09% (W/V) sodium azide. This antibody is purified through a protein A column, followed by peptide affinity purification. |
||
Storage & Stability |
Store at +4°C short term. For long-term storage, aliquot and store at -20°C or below. Stable for 12 months at -20°C. Avoid repeated freeze-thaw cycles.
|
||
Applications |
IHC-P, WB, E
|
||
Dilution |
IHC-P~~1:25
WB~~1:1000-1:2000
|
||
Synonyms |
Ketosamine-3-kinase, 271-, Fructosamine-3-kinase-related protein, FN3K-RP, FN3K-related protein, FN3KRP
|
||
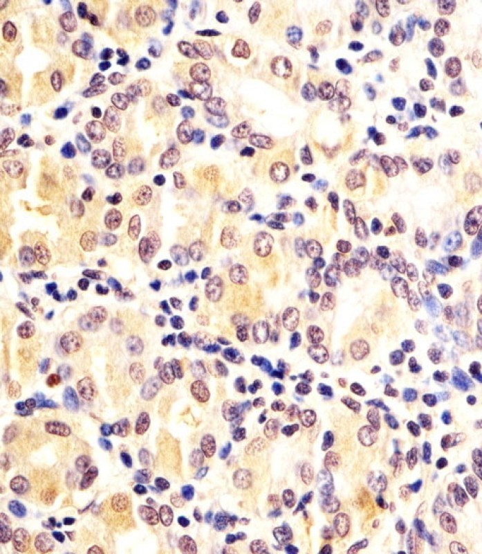
Images |
AMRa00021G staining FN3KRP in human Stomach sections by Immunohistochemistry (IHC-P - paraformaldehyde-fixed, paraffin-embedded sections). Tissue was fixed with formaldehyde and blocked with 3% BSA for 0. 5 hour at room temperature; antigen retrieval was by heat mediation with a citrate buffer (pH6). Samples were incubated with primary antibody (1/25) for 1 hours at 37°C. A undiluted biotinylated goat polyvalent antibody was used as the secondary antibody.
All lanes : Anti-FN3KRP Antibody (N-Term) at 1:1000-1:2000 dilution Lane 1: U-87 MG whole cell lysates Lane 2: 293T-17 whole cell lysates Lane 3: NCI-H1299 whole cell lysates Lane 4: Jurkat whole cell lysates Lane 5: mouse kidney lysates Lysates/proteins at 20 μg per lane. Secondary Goat Anti-Rabbit IgG, (H+L), Peroxidase conjugated at 1/10000 dilution Predicted band size : 34 kDa Blocking/Dilution buffer: 5% NFDM/TBST. |
||
Specification |
|||
Quantity |
|
||
| Select | Brand | Catalog No. | Product Name | Pack Size | Type | Field of Research | Specification | Quantity | Price(USD) | |
| 1 | Leading Biology | APR03440G | ITGA11 Antibody (N-term) | 100 μl | Polyclonal Antibodies |
|
$495.00 | Add Ask | ||
| 2 | Leading Biology | APR04537G | CMIP Antibody (C-term) | 100 μl | Polyclonal Antibodies |
|
$495.00 | Add Ask | ||
| 3 | Leading Biology | APR12422G | Human H4 Histamine Receptor (extracellular) Antibody | 50 μl | Polyclonal Antibodies |
|
$695.00 | Add Ask | ||
| 4 | Leading Biology | APR03844G | UBE2W Antibody (C-term) | 100 μl | Polyclonal Antibodies |
|
$495.00 | Add Ask | ||
| 5 | Leading Biology | APR04349G | HECTD2 Antibody (N-term) | 100 μl | Polyclonal Antibodies |
|
$495.00 | Add Ask | ||
| 6 | Leading Biology | APR03502G | IGHG1 Antibody (Center) | 100 μl | Polyclonal Antibodies |
|
$495.00 | Add Ask |
Leading Biology Inc.
2600 Hilltop DR, Building G, B Suite C138
Richmond, CA, 94806
Tel: 1-661-524(LBI)-0262
Email: info@leadingbiology.com
Complete this form and click send to ask us a question, request a quote or simply say hello.

You have 0 item in your cart

You have 0 item in your inquiry list