> Antigen, Antibodies, ELISA, Western Blot > Primary Antibody > Polyclonal Antibodies > PI3KC3 Antibody (N-term)Brand |
Leading Biology | Catalog Number |
APR06979G |
Product Type |
Polyclonal Antibodies | Field of Research |
|
Product Overview |
We constantly strive to ensure we provide our customers with the best antibodies. As a result of this work we offer this antibody in purified format.
We are in the process of updating our datasheets. If you have any questions regarding this update, please feel free to contact our technical support team.
This product is a high quality PI3KC3 antibody (N-term).
|
||
Molecular Weight |
101549 Da
|
||
Cellular Localization |
Antigen Cellular Localization:
Midbody. Late endosome. Note=Localizes also to discrete punctae along the ciliary axoneme and to the base of the ciliary axoneme.
|
||
Host |
Rabbit
|
||
Species Reactivity |
Human
|
||
Immunogen |
24-53 aa
|
||
Target |
This PI3KC3 antibody is generated from rabbits immunized with a KLH conjugated synthetic peptide between 24-53 amino acids from the N-terminal region of human PI3KC3.
|
||
Isotype |
Rabbit Ig
|
||
Symbol |
VPS34
|
||
GeneID |
|||
UniProt ID |
|||
Function |
Catalytic subunit of the PI3K complex that mediates formation of phosphatidylinositol 3-phosphate which plays a key role in initiation and maturation of autophagosomes. Involved in the transport of lysosomal enzyme precursors to lysosomes. Required for the abcission step in cytokinesis. Required for transport from early to late endosomes.
|
||
Summary |
PI3KC3 is a catalytic subunit of the PI3K complex involved in the transport of lysosomal enzyme precursors to lysosomes. This enzyme acts catalytically to convert 1-phosphatidyl-1D-myo-inositol to 1-phosphatidyl-1D-myo-inositol 3-phosphate. Macroautophagy is the major inducible pathway for the general turnover of cytoplasmic constituents in eukaryotic cells, it is also responsible for the degradation of active cytoplasmic enzymes and organelles during nutrient starvation. Macroautophagy involves the formation of double-membrane bound autophagosomes which enclose the cytoplasmic constituent targeted for degradation in a membrane bound structure, which then fuse with the lysosome (or vacuole) releasing a single-membrane bound autophagic bodies which are then degraded within the lysosome (or vacuole). The regulation of the Beclin 1-PI3KC3 complex lipid kinase activity is a critical element in the autophagy signaling pathway.
|
||
Form |
Purified monoclonal antibody supplied in PBS with 0.09% (W/V) sodium azide. This antibody is purified through a protein G column, followed by dialysis against PBS. |
||
Storage & Stability |
Store at +4°C short term. For long-term storage, aliquot and store at -20°C or below. Stable for 12 months at -20°C. Avoid repeated freeze-thaw cycles.
|
||
Applications |
WB, IHC-P, IF, E
|
||
Dilution |
WB~~1:1000
IHC-P~~1:50~100
IF~~1:10~50
|
||
Synonyms |
Phosphatidylinositol 3-kinase catalytic subunit type 3, PI3-kinase type 3, PI3K type 3, PtdIns-3-kinase type 3, Phosphatidylinositol 3-kinase p100 subunit, Phosphoinositide-3-kinase class 3, hVps34, PIK3C3, VPS34
|
||
Images |
Western blot analysis of lysates from Hela, SH-SY5Y cell line (from left to right), using PI3KC3 Antibody (N-term)( AP8014A). AP8014A was diluted at 1:1000 at each lane. A goat anti-rabbit IgG H&L(HRP) at 1:10000 dilution was used as the secondary antibody. Lysates at 20ug per lane.
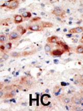
Formalin-fixed and paraffin-embedded human cancer tissue reacted with the primary antibody, which was peroxidase-conjugated to the secondary antibody, followed by DAB staining. This data demonstrates the use of this antibody for immunohistochemistry; clinical relevance has not been evaluated. BC = breast carcinoma; HC = hepatocarcinoma.
Confocal immunofluorescent analysis of PI3KC3 Antibody (N-term)( APR06979G) with Hela cell followed by Alexa Fluor 488-conjugated goat anti-rabbit lgG (green).DAPI was used to stain the cell nuclear (blue). |
||
Specification |
|||
Quantity |
|
||
| Select | Brand | Catalog No. | Product Name | Pack Size | Type | Field of Research | Specification | Quantity | Price(USD) | |
| 1 | Leading Biology | APR03440G | ITGA11 Antibody (N-term) | 100 μl | Polyclonal Antibodies |
|
$495.00 | Add Ask | ||
| 2 | Leading Biology | APR04537G | CMIP Antibody (C-term) | 100 μl | Polyclonal Antibodies |
|
$495.00 | Add Ask | ||
| 3 | Leading Biology | APR12422G | Human H4 Histamine Receptor (extracellular) Antibody | 50 μl | Polyclonal Antibodies |
|
$695.00 | Add Ask | ||
| 4 | Leading Biology | APR03844G | UBE2W Antibody (C-term) | 100 μl | Polyclonal Antibodies |
|
$495.00 | Add Ask | ||
| 5 | Leading Biology | APR04349G | HECTD2 Antibody (N-term) | 100 μl | Polyclonal Antibodies |
|
$495.00 | Add Ask | ||
| 6 | Leading Biology | APR03502G | IGHG1 Antibody (Center) | 100 μl | Polyclonal Antibodies |
|
$495.00 | Add Ask |
Leading Biology Inc.
2600 Hilltop DR, Building G, B Suite C138
Richmond, CA, 94806
Tel: 1-661-524(LBI)-0262
Email: info@leadingbiology.com
Complete this form and click send to ask us a question, request a quote or simply say hello.

You have 0 item in your cart

You have 0 item in your inquiry list