> Antigen, Antibodies, ELISA, Western Blot > Primary Antibody > Polyclonal Antibodies > BCKDK Antibody (Center)Brand |
Leading Biology | Catalog Number |
APG02206G |
Product Type |
Polyclonal Antibodies | Field of Research |
|
Product Overview |
We constantly strive to ensure we provide our customers with the best antibodies. As a result of this work we offer this antibody in purified format.
We are in the process of updating our datasheets. If you have any questions regarding this update, please feel free to contact our technical support team.
This product is a high quality BCKDK antibody (Center).
|
||
Molecular Weight |
46360 Da
|
||
Cellular Localization |
Antigen Cellular Localization:
Mitochondrion matrix. Mitochondrion
|
||
Host |
Rabbit
|
||
Species Reactivity |
Human
|
||
Immunogen |
120-151 aa
|
||
Target |
This BCKDK antibody is generated from rabbits immunized with a KLH conjugated synthetic peptide between 120-151 amino acids from the Central region of human BCKDK.
|
||
Isotype |
Rabbit Ig
|
||
GeneID |
|||
UniProt ID |
|||
Function |
Catalyzes the phosphorylation and inactivation of the branched-chain alpha-ketoacid dehydrogenase complex, the key regulatory enzyme of the valine, leucine and isoleucine catabolic pathways. Key enzyme that regulate the activity state of the BCKD complex.
|
||
Summary |
The second major step in the catabolism of the branched-chain amino acids, isoleucine, leucine, and valine, is irreversibly catalyzed by the branched-chain alpha-keto acid dehydrogenase complex (BCKD), an inner-mitochondrial enzyme complex composed of 3 catalytic components: a branched-chain alpha-keto acid decarboxylase (E1), a dihydrolipoyl transacylase (E2), and a dihydrolipoamide dehydrogenase (E3). The complex also contains 2 enzymes that regulated the state of activity of the BCKD complex: a kinase (BCKDK), and a phosphorylase. The ubiquitiously expressed kinase contains 1 histidine kinase domain. Maple syrup urine disease (MSUD) is a pathology secondary to an enzyme defect in the catabolic pathway of leucine, isoleucine, and valine. Accumulation of these amino acids and their corresponding keto acids results in encephalopathy and progressive neurodegeneration in infants not treated for MSUD.
|
||
Form |
Purified polyclonal antibody supplied in PBS with 0.09% (W/V) sodium azide. This antibody is prepared by Saturated Ammonium Sulfate (SAS) precipitation followed by dialysis against PBS. |
||
Storage & Stability |
Store at +4°C short term. For long-term storage, aliquot and store at -20°C or below. Stable for 12 months at -20°C. Avoid repeated freeze-thaw cycles.
|
||
Applications |
WB, IHC-P, E
|
||
Dilution |
WB~~1:1000
IHC-P~~1:50~100
|
||
Synonyms |
[3-methyl-2-oxobutanoate dehydrogenase [lipoamide]] kinase, mitochondrial, Branched-chain alpha-ketoacid dehydrogenase kinase, BCKD-kinase, BCKDHKIN, BCKDK
|
||
Images |
Western blot analysis of BCKDK (arrow) using rabbit polyclonal BCKDK Antibody (Center) (Cat. APG02206G). 293 cell lysates (2 ug/lane) either nontransfected (Lane 1) or transiently transfected with the BCKDK gene (Lane 2) (Origene Technologies).
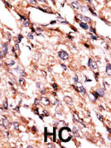
Formalin-fixed and paraffin-embedded human cancer tissue reacted with the primary antibody, which was peroxidase-conjugated to the secondary antibody, followed by AEC staining. This data demonstrates the use of this antibody for immunohistochemistry; clinical relevance has not been evaluated. BC = breast carcinoma; HC = hepatocarcinoma. |
||
Specification |
|||
Quantity |
|
||
| Select | Brand | Catalog No. | Product Name | Pack Size | Type | Field of Research | Specification | Quantity | Price(USD) | |
| 1 | Leading Biology | APR03440G | ITGA11 Antibody (N-term) | 100 μl | Polyclonal Antibodies |
|
$495.00 | Add Ask | ||
| 2 | Leading Biology | APR04537G | CMIP Antibody (C-term) | 100 μl | Polyclonal Antibodies |
|
$495.00 | Add Ask | ||
| 3 | Leading Biology | APR12422G | Human H4 Histamine Receptor (extracellular) Antibody | 50 μl | Polyclonal Antibodies |
|
$695.00 | Add Ask | ||
| 4 | Leading Biology | APR03844G | UBE2W Antibody (C-term) | 100 μl | Polyclonal Antibodies |
|
$495.00 | Add Ask | ||
| 5 | Leading Biology | APR04349G | HECTD2 Antibody (N-term) | 100 μl | Polyclonal Antibodies |
|
$495.00 | Add Ask | ||
| 6 | Leading Biology | APR03502G | IGHG1 Antibody (Center) | 100 μl | Polyclonal Antibodies |
|
$495.00 | Add Ask |
Leading Biology Inc.
2600 Hilltop DR, Building G, B Suite C138
Richmond, CA, 94806
Tel: 1-661-524(LBI)-0262
Email: info@leadingbiology.com
Complete this form and click send to ask us a question, request a quote or simply say hello.

You have 0 item in your cart

You have 0 item in your inquiry list