> Antigen, Antibodies, ELISA, Western Blot > Primary Antibody > Polyclonal Antibodies > VLDLR Antibody (Center)Brand |
Leading Biology | Catalog Number |
APR07213G |
Product Type |
Polyclonal Antibodies | Field of Research |
|
Product Overview |
We constantly strive to ensure we provide our customers with the best antibodies. As a result of this work we offer this antibody in purified format.
We are in the process of updating our datasheets. If you have any questions regarding this update, please feel free to contact our technical support team.
This product is a high quality VLDLR antibody (Center).
|
||
Molecular Weight |
96098 Da
|
||
Cellular Localization |
Antigen Cellular Localization:
Membrane; Single-pass type I membrane protein. Membrane, clathrin-coated pit; Single-pass type I membrane protein
|
||
Host |
Rabbit
|
||
Species Reactivity |
Human
|
||
Immunogen |
484-510 aa
|
||
Target |
This VLDLR antibody is generated from rabbits immunized with a KLH conjugated synthetic peptide between 484-510 amino acids from the Central region of human VLDLR.
|
||
Isotype |
Rabbit Ig
|
||
GeneID |
|||
UniProt ID |
|||
Function |
Binds VLDL and transports it into cells by endocytosis. In order to be internalized, the receptor-ligand complexes must first cluster into clathrin-coated pits. Binding to Reelin induces tyrosine phosphorylation of Dab1 and modulation of Tau phosphorylation (By similarity).
|
||
Summary |
The low density lipoprotein receptor (LDLR) gene familyconsists of cell surface proteins involved in receptor-mediatedendocytosis of specific ligands. This gene encodes a lipoproteinreceptor that is a member of the LDLR family and plays importantroles in VLDL-triglyceride metabolism and the reelin signalingpathway. Mutations in this gene cause VLDLR-associated cerebellarhypoplasia. Alternative splicing generates multiple transcriptvariants encoding distinct isoforms for this gene. [provided byRefSeq].
|
||
Form |
Purified polyclonal antibody supplied in PBS with 0.09% (W/V) sodium azide. This antibody is purified through a protein A column, followed by peptide affinity purification. |
||
Storage & Stability |
Store at +4°C short term. For long-term storage, aliquot and store at -20°C or below. Stable for 12 months at -20°C. Avoid repeated freeze-thaw cycles.
|
||
Applications |
IHC-P, FC, WB, E
|
||
Dilution |
IHC-P~~1:10~50
FC~~1:25
WB~~1:2000
|
||
Synonyms |
Very low-density lipoprotein receptor, VLDL receptor, VLDL-R, VLDLR
|
||
Images |
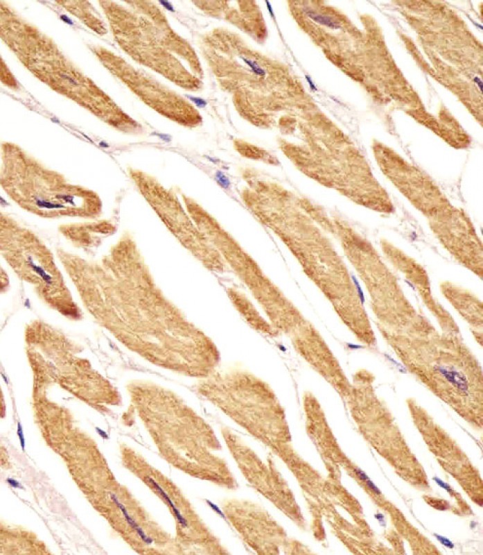
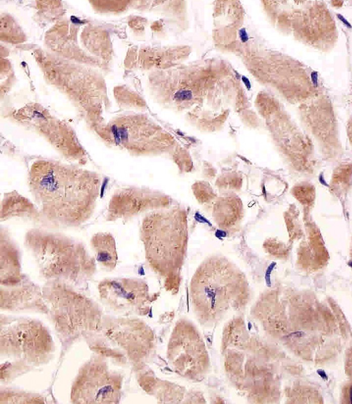
APR07213G staining VLDLR in human heart tissue sections by Immunohistochemistry (IHC-P - paraformaldehyde-fixed, paraffin-embedded sections). Tissue was fixed with formaldehyde and blocked with 3% BSA for 0. 5 hour at room temperature; antigen retrieval was by heat mediation with a citrate buffer (pH6). Samples were incubated with primary antibody (1/25) for 1 hours at 37°C. A undiluted biotinylated goat polyvalent antibody was used as the secondary antibody.
Overlay histogram showing THP-1 cells stained with APR07213G (green line). The cells were fixed with 2% paraformaldehyde (10 min) and then permeabilized with 90% methanol for 10 min. The cells were then icubated in 2% bovine serum albumin to block non-specific protein-protein interactions followed by the antibody (APR07213G, 1:25 dilution) for 60 min at 37?C. The secondary antibody used was Goat-Anti-Rabbit IgG, DyLight? 488 Conjugated Highly Cross-Adsorbed(OH191631) at 1/200 dilution for 40 min at 37?C. Isotype control antibody (blue line) was rabbit IgG (1μg/1x10^6 cells) used under the same conditions. Acquisition of >10, 000 events was performed.
APR07213G staining VLDLR in human heart tissue sections by Immunohistochemistry (IHC-P - paraformaldehyde-fixed, paraffin-embedded sections). Tissue was fixed with formaldehyde and blocked with 3% BSA for 0. 5 hour at room temperature; antigen retrieval was by heat mediation with a citrate buffer (pH6). Samples were incubated with primary antibody (1/25) for 1 hours at 37°C. A undiluted biotinylated goat polyvalent antibody was used as the secondary antibody. |
||
Specification |
|||
Quantity |
|
||
| Select | Brand | Catalog No. | Product Name | Pack Size | Type | Field of Research | Specification | Quantity | Price(USD) | |
| 1 | Leading Biology | APR03440G | ITGA11 Antibody (N-term) | 100 μl | Polyclonal Antibodies |
|
$495.00 | Add Ask | ||
| 2 | Leading Biology | APR04537G | CMIP Antibody (C-term) | 100 μl | Polyclonal Antibodies |
|
$495.00 | Add Ask | ||
| 3 | Leading Biology | APR12422G | Human H4 Histamine Receptor (extracellular) Antibody | 50 μl | Polyclonal Antibodies |
|
$695.00 | Add Ask | ||
| 4 | Leading Biology | APR03844G | UBE2W Antibody (C-term) | 100 μl | Polyclonal Antibodies |
|
$495.00 | Add Ask | ||
| 5 | Leading Biology | APR04349G | HECTD2 Antibody (N-term) | 100 μl | Polyclonal Antibodies |
|
$495.00 | Add Ask | ||
| 6 | Leading Biology | APR03502G | IGHG1 Antibody (Center) | 100 μl | Polyclonal Antibodies |
|
$495.00 | Add Ask |
Leading Biology Inc.
2600 Hilltop DR, Building G, B Suite C138
Richmond, CA, 94806
Tel: 1-661-524(LBI)-0262
Email: info@leadingbiology.com
Complete this form and click send to ask us a question, request a quote or simply say hello.

You have 0 item in your cart

You have 0 item in your inquiry list