> Antigen, Antibodies, ELISA, Western Blot > Primary Antibody > Polyclonal Antibodies > MtSSB AntibodyBrand |
Leading Biology | Catalog Number |
APR08570G |
Product Type |
Polyclonal Antibodies | Field of Research |
|
Product Overview |
We constantly strive to ensure we provide our customers with the best antibodies. As a result of this work we offer this antibody in purified format.
We are in the process of updating our datasheets. If you have any questions regarding this update, please feel free to contact our technical support team.
This product is a high quality MtSSB antibody.
|
||
Molecular Weight |
17 KDa
|
||
Cellular Localization |
Antigen Cellular Localization:
Mitochondrion. Mitochondrion matrix, mitochondrion nucleoid
|
||
Host |
Rabbit
|
||
Species Reactivity |
Human, Mouse, Rat
|
||
Immunogen |
86-115 aa
|
||
Symbol |
SSBP
|
||
GeneID |
|||
UniProt ID |
|||
Function |
This protein binds preferentially and cooperatively to ss-DNA. Probably involved in mitochondrial DNA replication. Associates with mitochondrial DNA.
|
||
Summary |
This protein binds preferentially and cooperatively to ss-DNA. Probably involved in mitochondrial DNA replication. Associates with mitochondrial DNA.
|
||
Form |
Rabbit IgG in phosphate buffered saline (without Mg2+ and Ca2+), pH 7.4, 150mM NaCl, 0.02% sodium azide and 50% glycerol. |
||
Storage & Stability |
Store at +4°C short term. For long-term storage, aliquot and store at -20°C or below. Stable for 12 months at -20°C. Avoid repeated freeze-thaw cycles.
|
||
Applications |
WB, IHC, IF
|
||
Dilution |
WB~~1:1000
IF~~1:100
IHC~~1:50-100
|
||
Synonyms |
Single-stranded DNA-binding protein, mitochondrial, Mt-SSB, MtSSB, PWP1-interacting protein 17, SSBP1, SSBP
|
||
Images |
Western blot analysis of lysates from 293,UT-7 cell line (from left to right),using MtSSB Antibody(APR08570G). APR08570G was diluted at 1:1000 at each lane. A goat anti-rabbit IgG H&L(HRP) at 1:5000 dilution was used as the secondary antibody.Lysates at 35ug per lane.
Immunofluorescence analysis of A549 cells, using MtSSB antibody.
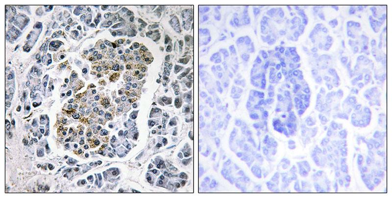
Immunohistochemistry analysis of paraffin-embedded human pancreas tissue using MtSSB antibody. |
||
Specification |
|||
Quantity |
|
||
| Select | Brand | Catalog No. | Product Name | Pack Size | Type | Field of Research | Specification | Quantity | Price(USD) | |
| 1 | Leading Biology | APR03440G | ITGA11 Antibody (N-term) | 100 μl | Polyclonal Antibodies |
|
$495.00 | Add Ask | ||
| 2 | Leading Biology | APR04537G | CMIP Antibody (C-term) | 100 μl | Polyclonal Antibodies |
|
$495.00 | Add Ask | ||
| 3 | Leading Biology | APR12422G | Human H4 Histamine Receptor (extracellular) Antibody | 50 μl | Polyclonal Antibodies |
|
$695.00 | Add Ask | ||
| 4 | Leading Biology | APR03844G | UBE2W Antibody (C-term) | 100 μl | Polyclonal Antibodies |
|
$495.00 | Add Ask | ||
| 5 | Leading Biology | APR04349G | HECTD2 Antibody (N-term) | 100 μl | Polyclonal Antibodies |
|
$495.00 | Add Ask | ||
| 6 | Leading Biology | APR03502G | IGHG1 Antibody (Center) | 100 μl | Polyclonal Antibodies |
|
$495.00 | Add Ask |
Leading Biology Inc.
2600 Hilltop DR, Building G, B Suite C138
Richmond, CA, 94806
Tel: 1-661-524(LBI)-0262
Email: info@leadingbiology.com
Complete this form and click send to ask us a question, request a quote or simply say hello.

You have 0 item in your cart

You have 0 item in your inquiry list