> Antigen, Antibodies, ELISA, Western Blot > Primary Antibody > Polyclonal Antibodies > Claudin 3 AntibodyBrand |
Leading Biology | Catalog Number |
APG02619G |
Product Type |
Polyclonal Antibodies | Field of Research |
|
Product Overview |
We constantly strive to ensure we provide our customers with the best antibodies. As a result of this work we offer this antibody in purified format.
We are in the process of updating our datasheets. If you have any questions regarding this update, please feel free to contact our technical support team.
This product is a high quality Claudin 3 antibody.
|
||
Molecular Weight |
23 KDa
|
||
Cellular Localization |
Antigen Cellular Localization:
Cell junction, tight junction. Cell membrane; Multi-pass membrane protein
|
||
Host |
Rabbit
|
||
Species Reactivity |
Human, Mouse, Rat
|
||
Immunogen |
190-220 aa
|
||
Symbol |
C7orf1, CPETR2
|
||
GeneID |
|||
UniProt ID |
|||
Function |
Plays a major role in tight junction-specific obliteration of the intercellular space, through calcium- independent cell-adhesion activity.
|
||
Summary |
Plays a major role in tight junction-specific obliteration of the intercellular space, through calcium- independent cell-adhesion activity (By similarity).
|
||
Form |
Rabbit IgG in phosphate buffered saline (without Mg2+ and Ca2+), pH 7.4, 150mM NaCl, 0.02% sodium azide and 50% glycerol. |
||
Storage & Stability |
Store at +4°C short term. For long-term storage, aliquot and store at -20°C or below. Stable for 12 months at -20°C. Avoid repeated freeze-thaw cycles.
|
||
Applications |
WB, IF, IHC
|
||
Dilution |
WB~~ 1:1000
IF~~1:100
IHC~~1:50-1:100
|
||
Synonyms |
Claudin-3, Clostridium perfringens enterotoxin receptor 2, CPE-R 2, CPE-receptor 2, Rat ventral prostate1 protein homolog, hRVP1, CLDN3, C7orf1, CPETR2
|
||
Images |
Western blot analysis of lysate from HUVEC cell line,using Claudin 3 Antibody(C0144). C0144 was diluted at 1:1000. A goat anti-rabbit IgG H&L(HRP) at 1:5000 dilution was used as the secondary antibody.Lysate at 35ug.
Immunofluorescence analysis of HuvEc cells, using Claudin 3 antibody .
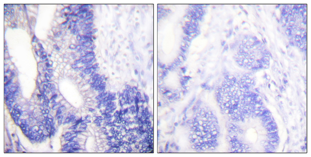
Immunohistochemical analysis of paraffin-embedded human colon carcinoma tissue using Claudin 3 antibody. |
||
Specification |
|||
Quantity |
|
||
| Select | Brand | Catalog No. | Product Name | Pack Size | Type | Field of Research | Specification | Quantity | Price(USD) | |
| 1 | Leading Biology | APR03440G | ITGA11 Antibody (N-term) | 100 μl | Polyclonal Antibodies |
|
$495.00 | Add Ask | ||
| 2 | Leading Biology | APR04537G | CMIP Antibody (C-term) | 100 μl | Polyclonal Antibodies |
|
$495.00 | Add Ask | ||
| 3 | Leading Biology | APR12422G | Human H4 Histamine Receptor (extracellular) Antibody | 50 μl | Polyclonal Antibodies |
|
$695.00 | Add Ask | ||
| 4 | Leading Biology | APR03844G | UBE2W Antibody (C-term) | 100 μl | Polyclonal Antibodies |
|
$495.00 | Add Ask | ||
| 5 | Leading Biology | APR04349G | HECTD2 Antibody (N-term) | 100 μl | Polyclonal Antibodies |
|
$495.00 | Add Ask | ||
| 6 | Leading Biology | APR03502G | IGHG1 Antibody (Center) | 100 μl | Polyclonal Antibodies |
|
$495.00 | Add Ask |
Leading Biology Inc.
2600 Hilltop DR, Building G, B Suite C138
Richmond, CA, 94806
Tel: 1-661-524(LBI)-0262
Email: info@leadingbiology.com
Complete this form and click send to ask us a question, request a quote or simply say hello.

You have 0 item in your cart

You have 0 item in your inquiry list