> Antigen, Antibodies, ELISA, Western Blot > Primary Antibody > Polyclonal Antibodies > AKR1A1 Antibody (C-term)Brand |
Leading Biology | Catalog Number |
APG01646G |
Product Type |
Polyclonal Antibodies | Field of Research |
|
Product Overview |
We constantly strive to ensure we provide our customers with the best antibodies. As a result of this work we offer this antibody in purified format.
We are in the process of updating our datasheets. If you have any questions regarding this update, please feel free to contact our technical support team.
This product is a high quality AKR1A1 antibody (C-term).
|
||
Molecular Weight |
36573 Da
|
||
Host |
Rabbit
|
||
Species Reactivity |
Human
|
||
Immunogen |
293-325 aa
|
||
Target |
This AKR1A1 antibody is generated from rabbits immunized with a KLH conjugated synthetic peptide between 293-325 amino acids from the C-terminal region of human AKR1A1.
|
||
Isotype |
Rabbit Ig
|
||
Symbol |
ALDR1, ALR
|
||
GeneID |
|||
UniProt ID |
|||
Function |
Catalyzes the NADPH-dependent reduction of a variety of aromatic and aliphatic aldehydes to their corresponding alcohols. Catalyzes the reduction of mevaldate to mevalonic acid and of glyceraldehyde to glycerol. Has broad substrate specificity. In vitro substrates include succinic semialdehyde, 4- nitrobenzaldehyde, 1,2-naphthoquinone, methylglyoxal, and D- glucuronic acid. Plays a role in the activation of procarcinogens, such as polycyclic aromatic hydrocarbon trans-dihydrodiols, and in the metabolism of various xenobiotics and drugs, including the anthracyclines doxorubicin (DOX) and daunorubicin (DAUN).
|
||
Summary |
AKR1A1 is a member of the aldo/keto reductase superfamily, which consists of more than 40 known enzymes and proteins. This member, also known as aldehyde reductase, is involved in the reduction of biogenic and xenobiotic aldehydes and is present in virtually every tissue.
|
||
Form |
Purified polyclonal antibody supplied in PBS with 0.09% (W/V) sodium azide. This antibody is prepared by Saturated Ammonium Sulfate (SAS) precipitation followed by dialysis against PBS. |
||
Storage & Stability |
Store at +4°C short term. For long-term storage, aliquot and store at -20°C or below. Stable for 12 months at -20°C. Avoid repeated freeze-thaw cycles.
|
||
Applications |
IHC-P, WB, E
|
||
Dilution |
IHC-P~~1:10~50
WB~~1:1000
|
||
Synonyms |
Alcohol dehydrogenase [NADP(+)], Aldehyde reductase, Aldo-keto reductase family 1 member A1, AKR1A1, ALDR1, ALR
|
||
Images |
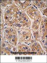
Formalin-fixed and paraffin-embedded human hepatocarcinoma tissue reacted with AKR1A1 antibody (C-term) (Cat. APG01646G), which was peroxidase-conjugated to the secondary antibody, followed by DAB staining. This data demonstrates the use of this antibody for immunohistochemistry; clinical relevance has not been evaluated.
Western blot analysis of anti-AKR1A1 Antibody (C-term) (Cat. APG01646G) in Y79 cell line lysates (35ug/lane). AKR1A1(arrow) was detected using the purified Pab.
Western blot analysis of AKR1A1 (arrow) using rabbit polyclonal AKR1A1 Antibody (C-term) (Cat. APG01646G). 293 cell lysates (2 ug/lane) either nontransfected (Lane 1) or transiently transfected (Lane 2) with the AKR1A1 gene. |
||
Specification |
|||
Quantity |
|
||
| Select | Brand | Catalog No. | Product Name | Pack Size | Type | Field of Research | Specification | Quantity | Price(USD) | |
| 1 | Leading Biology | APR03440G | ITGA11 Antibody (N-term) | 100 μl | Polyclonal Antibodies |
|
$495.00 | Add Ask | ||
| 2 | Leading Biology | APR04537G | CMIP Antibody (C-term) | 100 μl | Polyclonal Antibodies |
|
$495.00 | Add Ask | ||
| 3 | Leading Biology | APR12422G | Human H4 Histamine Receptor (extracellular) Antibody | 50 μl | Polyclonal Antibodies |
|
$695.00 | Add Ask | ||
| 4 | Leading Biology | APR03844G | UBE2W Antibody (C-term) | 100 μl | Polyclonal Antibodies |
|
$495.00 | Add Ask | ||
| 5 | Leading Biology | APR04349G | HECTD2 Antibody (N-term) | 100 μl | Polyclonal Antibodies |
|
$495.00 | Add Ask | ||
| 6 | Leading Biology | APR03502G | IGHG1 Antibody (Center) | 100 μl | Polyclonal Antibodies |
|
$495.00 | Add Ask |
Leading Biology Inc.
2600 Hilltop DR, Building G, B Suite C138
Richmond, CA, 94806
Tel: 1-661-524(LBI)-0262
Email: info@leadingbiology.com
Complete this form and click send to ask us a question, request a quote or simply say hello.

You have 0 item in your cart

You have 0 item in your inquiry list