> Antigen, Antibodies, ELISA, Western Blot > Primary Antibody > Polyclonal Antibodies > HDBP2(HDRF-2) Antibody (Center)Brand |
Leading Biology | Catalog Number |
APR11113G |
Product Type |
Polyclonal Antibodies | Field of Research |
|
Product Overview |
We constantly strive to ensure we provide our customers with the best antibodies. As a result of this work we offer this antibody in purified format.
We are in the process of updating our datasheets. If you have any questions regarding this update, please feel free to contact our technical support team.
This product is a high quality HDBP2(HDRF-2) antibody (Center).
|
||
Molecular Weight |
54939 Da
|
||
Cellular Localization |
Antigen Cellular Localization:
Cytoplasm. Nucleus. Note=May shuttle between nucleus and cytoplasm
|
||
Host |
Rabbit
|
||
Species Reactivity |
Human
|
||
Immunogen |
141-170 aa
|
||
Target |
This HDBP2(HDRF-2) antibody is generated from rabbits immunized with a KLH conjugated synthetic peptide between 141-170 amino acids from the Central region of human HDBP2(HDRF-2).
|
||
Isotype |
Rabbit Ig
|
||
Symbol |
HDBP2, PBF
|
||
GeneID |
|||
UniProt ID |
|||
Function |
Plays a role in papillomavirus genes transcription.
|
||
Summary |
Papillomavirus Regulatory Factor 1/HDBP2 is a novel transcription factor shuttling between nucleus and cytoplasm and binds to the specific GCCGGCG, which is an essential cis-element for Huntington's disease gene expression.
|
||
Form |
Purified monoclonal antibody supplied in PBS with 0.09% (W/V) sodium azide. This antibody is purified through a protein G column, followed by dialysis against PBS. |
||
Storage & Stability |
Store at +4°C short term. For long-term storage, aliquot and store at -20°C or below. Stable for 12 months at -20°C. Avoid repeated freeze-thaw cycles.
|
||
Applications |
WB, IHC-P, E
|
||
Dilution |
WB~~1:1000
IHC-P~~1:50~100
|
||
Synonyms |
Zinc finger protein 395, HD-regulating factor 2, HDRF-2, Huntington disease gene regulatory region-binding protein 2, HD gene regulatory region-binding protein 2, HDBP-2, Papillomavirus regulatory factor 1, PRF-1, Papillomavirus-binding factor, ZNF395, HDBP2, PBF
|
||
Images |
Western blot analysis of anti-HDBP2(HDRF-2) Antibody (Center) (Cat. APR11113G) in Y79 cell line lysates (35ug/lane). HDBP2(arrow) was detected using the purified Pab.
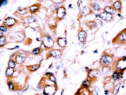
Formalin-fixed and paraffin-embedded human Hepatocellular carcinoma reacted with anti-HDBP2(HDRF-2) Antibody (Center), which was peroxidase-conjugated to the secondary antibody, followed by DAB staining. This data demonstrates the use of this antibody for immunohistochemistry; clinical relevance has not been evaluated. |
||
Specification |
|||
Quantity |
|
||
| Select | Brand | Catalog No. | Product Name | Pack Size | Type | Field of Research | Specification | Quantity | Price(USD) | |
| 1 | Leading Biology | APR03440G | ITGA11 Antibody (N-term) | 100 μl | Polyclonal Antibodies |
|
$495.00 | Add Ask | ||
| 2 | Leading Biology | APR04537G | CMIP Antibody (C-term) | 100 μl | Polyclonal Antibodies |
|
$495.00 | Add Ask | ||
| 3 | Leading Biology | APR12422G | Human H4 Histamine Receptor (extracellular) Antibody | 50 μl | Polyclonal Antibodies |
|
$695.00 | Add Ask | ||
| 4 | Leading Biology | APR03844G | UBE2W Antibody (C-term) | 100 μl | Polyclonal Antibodies |
|
$495.00 | Add Ask | ||
| 5 | Leading Biology | APR04349G | HECTD2 Antibody (N-term) | 100 μl | Polyclonal Antibodies |
|
$495.00 | Add Ask | ||
| 6 | Leading Biology | APR03502G | IGHG1 Antibody (Center) | 100 μl | Polyclonal Antibodies |
|
$495.00 | Add Ask |
Leading Biology Inc.
2600 Hilltop DR, Building G, B Suite C138
Richmond, CA, 94806
Tel: 1-661-524(LBI)-0262
Email: info@leadingbiology.com
Complete this form and click send to ask us a question, request a quote or simply say hello.

You have 0 item in your cart

You have 0 item in your inquiry list