> Antigen, Antibodies, ELISA, Western Blot > Primary Antibody > Polyclonal Antibodies > Chemokine Receptor D6 (CCBP2) Antibody (N-term)Brand |
Leading Biology | Catalog Number |
APR15439G |
Product Type |
Polyclonal Antibodies | Field of Research |
|
Product Overview |
We constantly strive to ensure we provide our customers with the best antibodies. As a result of this work we offer this antibody in purified format.
We are in the process of updating our datasheets. If you have any questions regarding this update, please feel free to contact our technical support team.
This product is a high quality Chemokine Receptor D6 (CCBP2) antibody (N-term).
|
||
Molecular Weight |
43443 Da
|
||
Cellular Localization |
Antigen Cellular Localization:
Early endosome. Recycling endosome. Cell membrane; Multi-pass membrane protein. Note=Predominantly localizes to endocytic vesicles, and upon stimulation by the ligand is internalized via clathrin-coated pits. Once internalized, the ligand dissociates from the receptor, and is targeted to degradation while the receptor is recycled back to the cell membrane
|
||
Host |
Rabbit
|
||
Species Reactivity |
Human, Mouse
|
||
Immunogen |
54-84 aa
|
||
Target |
This Chemokine Receptor D6 (CCBP2) antibody is generated from rabbits immunized with a KLH conjugated synthetic peptide between 54-84 amino acids from the N-terminal region of human Chemokine Receptor D6 (CCBP2).
|
||
Isotype |
Rabbit Ig
|
||
Symbol |
CCBP2, CCR10, CMKBR9, D6
|
||
GeneID |
|||
UniProt ID |
|||
Function |
Atypical chemokine receptor that controls chemokine levels and localization via high-affinity chemokine binding that is uncoupled from classic ligand-driven signal transduction cascades, resulting instead in chemokine sequestration, degradation, or transcytosis. Also known as interceptor (internalizing receptor) or chemokine-scavenging receptor or chemokine decoy receptor. Acts as a receptor for chemokines including CCL2, CCL3, CCL3L1, CCL4, CCL5, CCL7, CCL8, CCL11, CCL13, CCL17, CCL22, CCL23, CCL24, SCYA2/MCP-1, SCY3/MIP-1-alpha, SCYA5/RANTES and SCYA7/MCP-3. Upon active ligand stimulation, activates a beta-arrestin 1 (ARRB1)-dependent, G protein- independent signaling pathway that results in the phosphorylation of the actin-binding protein cofilin (CFL1) through a RAC1-PAK1- LIMK1 signaling pathway. Activation of this pathway results in up- regulation of ACKR2 from endosomal compartment to cell membrane, increasing its efficiency in chemokine uptake and degradation. By scavenging chemokines in tissues, on the surfaces of lymphatic vessels, and in placenta, plays an essential role in the resolution (termination) of the inflammatory response and in the regulation of adaptive immune responses. Plays a major role in the immune silencing of macrophages during the resolution of inflammation. Acts as a regulator of inflammatory leukocyte interactions with lymphatic endothelial cells (LECs) and is required for immature/mature dendritic cells discrimination by LECs.
|
||
Summary |
CCBP2 is a beta chemokine receptor, which is predicted to be a seven transmembrane protein similar to G protein-coupled receptors. Chemokines and their receptor-mediated signal transduction are critical for the recruitment of effector immune cells to the inflammation site. This gene is expressed in a range of tissues and hemopoietic cells. The expression of this receptor in lymphatic endothelial cells and overexpression in vascular tumors suggested its function in chemokine-driven recirculation of leukocytes and possible chemokine effects on the development and growth of vascular tumors. This receptor appears to bind the majority of beta-chemokine family members; however, its specific function remains unknown. This gene is mapped to chromosome 3p21.3, a region that includes a cluster of chemokine receptor genes.
|
||
Form |
Purified polyclonal antibody supplied in PBS with 0.09% (W/V) sodium azide. This antibody is prepared by Saturated Ammonium Sulfate (SAS) precipitation followed by dialysis against PBS. |
||
Storage & Stability |
Store at +4°C short term. For long-term storage, aliquot and store at -20°C or below. Stable for 12 months at -20°C. Avoid repeated freeze-thaw cycles.
|
||
Applications |
WB, IHC-P, E
|
||
Dilution |
WB~~1:1000
IHC-P~~1:50~100
|
||
Synonyms |
Atypical chemokine receptor 2, C-C chemokine receptor D6, Chemokine receptor CCR-10, Chemokine receptor CCR-9, Chemokine-binding protein 2, Chemokine-binding protein D6, ACKR2, CCBP2, CCR10, CMKBR9, D6
|
||
Images |
The anti-CCBP2 N-term Pab (Cat. APR15439G) is used in Western blot to detect CCBP2 in mouse liver tissue lysate.
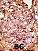
Formalin-fixed and paraffin-embedded human cancer tissue reacted with the primary antibody, which was peroxidase-conjugated to the secondary antibody, followed by AEC staining. This data demonstrates the use of this antibody for immunohistochemistry; clinical relevance has not been evaluated. BC = breast carcinoma; HC = hepatocarcinoma. |
||
Specification |
|||
Quantity |
|
||
| Select | Brand | Catalog No. | Product Name | Pack Size | Type | Field of Research | Specification | Quantity | Price(USD) | |
| 1 | Leading Biology | APR03440G | ITGA11 Antibody (N-term) | 100 μl | Polyclonal Antibodies |
|
$495.00 | Add Ask | ||
| 2 | Leading Biology | APR04537G | CMIP Antibody (C-term) | 100 μl | Polyclonal Antibodies |
|
$495.00 | Add Ask | ||
| 3 | Leading Biology | APR12422G | Human H4 Histamine Receptor (extracellular) Antibody | 50 μl | Polyclonal Antibodies |
|
$695.00 | Add Ask | ||
| 4 | Leading Biology | APR03844G | UBE2W Antibody (C-term) | 100 μl | Polyclonal Antibodies |
|
$495.00 | Add Ask | ||
| 5 | Leading Biology | APR04349G | HECTD2 Antibody (N-term) | 100 μl | Polyclonal Antibodies |
|
$495.00 | Add Ask | ||
| 6 | Leading Biology | APR03502G | IGHG1 Antibody (Center) | 100 μl | Polyclonal Antibodies |
|
$495.00 | Add Ask |
Leading Biology Inc.
2600 Hilltop DR, Building G, B Suite C138
Richmond, CA, 94806
Tel: 1-661-524(LBI)-0262
Email: info@leadingbiology.com
Complete this form and click send to ask us a question, request a quote or simply say hello.

You have 0 item in your cart

You have 0 item in your inquiry list