> Antigen, Antibodies, ELISA, Western Blot > Primary Antibody > Polyclonal Antibodies > SIGLEC7 (D-siglec) Antibody (N-term)Brand |
Leading Biology | Catalog Number |
APR13340G |
Product Type |
Polyclonal Antibodies | Field of Research |
|
Product Overview |
We constantly strive to ensure we provide our customers with the best antibodies. As a result of this work we offer this antibody in purified format.
We are in the process of updating our datasheets. If you have any questions regarding this update, please feel free to contact our technical support team.
This product is a high quality SIGLEC7 (D-siglec) antibody (N-term).
|
||
Molecular Weight |
51143 Da
|
||
Cellular Localization |
Antigen Cellular Localization:
Membrane; Single-pass type I membrane protein
|
||
Host |
Rabbit
|
||
Species Reactivity |
Human
|
||
Immunogen |
1-30 aa
|
||
Target |
This SIGLEC7 (D-siglec) antibody is generated from rabbits immunized with a KLH conjugated synthetic peptide between 1-30 amino acids from the N-terminal region of human SIGLEC7 (D-siglec).
|
||
Isotype |
Rabbit Ig
|
||
Symbol |
AIRM1
|
||
GeneID |
|||
UniProt ID |
|||
Function |
Putative adhesion molecule that mediates sialic-acid dependent binding to cells. Preferentially binds to alpha-2,3- and alpha-2,6-linked sialic acid. Also binds disialogangliosides (disialogalactosyl globoside, disialyl lactotetraosylceramide and disialyl GalNAc lactotetraoslylceramide). The sialic acid recognition site may be masked by cis interactions with sialic acids on the same cell surface. In the immune response, may act as an inhibitory receptor upon ligand induced tyrosine phosphorylation by recruiting cytoplasmic phosphatase(s) via their SH2 domain(s) that block signal transduction through dephosphorylation of signaling molecules. Mediates inhibition of natural killer cells cytotoxicity. May play a role in hemopoiesis. Inhibits differentiation of CD34+ cell precursors towards myelomonocytic cell lineage and proliferation of leukemic myeloid cells (in vitro).
|
||
Summary |
SIGLECs are cell surface proteins of the Ig superfamily. Most SIGLECs have 1 or more cytoplasmic immune receptor tyrosine-based inhibitory motifs, or ITIMs. A large subgroup of SIGLECs share high homology with SIGLEC3 (CD33) and are localized to 19q13.4. The cDNA for the SLG gene encodes 2 variants, SLG-long (SLGL) and SLG-short (SLGS). The 595-amino acid SLGL protein contains a signal peptide and 2 V-set N-terminal Ig-like domains. The 477-amino acid SLGS protein has a weak signal sequence and, like most SIGLEC3-like SIGLECs, has only 1 V-set N-terminal Ig-like domain. Both variants contain 2 C2-set N-terminal Ig-like domains, a transmembrane domain, and a cytoplasmic tail with a putative ITIM and a putative SLAM-like tyrosine-based motif. The conserved arginine residue thought to be essential for sialic acid binding in other SIGLECs is replaced by a glutamine in SLGS and by a cysteine in SLGL. RT-PCR analysis detected high expression of both variants in spleen and small intestine, and SLGS was highly expressed in adrenal gland and SLGL was highly expressed in bone marrow.
|
||
Form |
Purified polyclonal antibody supplied in PBS with 0.09% (W/V) sodium azide. This antibody is purified through a protein A column, followed by peptide affinity purification. |
||
Storage & Stability |
Store at +4°C short term. For long-term storage, aliquot and store at -20°C or below. Stable for 12 months at -20°C. Avoid repeated freeze-thaw cycles.
|
||
Applications |
WB, IHC-P, E
|
||
Dilution |
WB~~1:1000
IHC-P~~1:50~100
|
||
Synonyms |
Sialic acid-binding Ig-like lectin 7, Siglec-7, Adhesion inhibitory receptor molecule 1, AIRM-1, CDw328, D-siglec, QA79 membrane protein, p75, CD328, SIGLEC7, AIRM1
|
||
Images |
Western blot analysis of anti-SIGLEC7 Pab (Cat. APR13340G) in NCI-H460 cell line lysate (35ug/lane). SIGLEC7(arrow) was detected using the purified Pab.
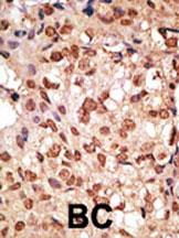
Formalin-fixed and paraffin-embedded human cancer tissue reacted with the primary antibody, which was peroxidase-conjugated to the secondary antibody, followed by DAB staining. This data demonstrates the use of this antibody for immunohistochemistry; clinical relevance has not been evaluated. BC = breast carcinoma; HC = hepatocarcinoma. |
||
Specification |
|||
Quantity |
|
||
| Select | Brand | Catalog No. | Product Name | Pack Size | Type | Field of Research | Specification | Quantity | Price(USD) | |
| 1 | Leading Biology | APR03440G | ITGA11 Antibody (N-term) | 100 μl | Polyclonal Antibodies |
|
$495.00 | Add Ask | ||
| 2 | Leading Biology | APR04537G | CMIP Antibody (C-term) | 100 μl | Polyclonal Antibodies |
|
$495.00 | Add Ask | ||
| 3 | Leading Biology | APR12422G | Human H4 Histamine Receptor (extracellular) Antibody | 50 μl | Polyclonal Antibodies |
|
$695.00 | Add Ask | ||
| 4 | Leading Biology | APR03844G | UBE2W Antibody (C-term) | 100 μl | Polyclonal Antibodies |
|
$495.00 | Add Ask | ||
| 5 | Leading Biology | APR04349G | HECTD2 Antibody (N-term) | 100 μl | Polyclonal Antibodies |
|
$495.00 | Add Ask | ||
| 6 | Leading Biology | APR03502G | IGHG1 Antibody (Center) | 100 μl | Polyclonal Antibodies |
|
$495.00 | Add Ask |
Leading Biology Inc.
2600 Hilltop DR, Building G, B Suite C138
Richmond, CA, 94806
Tel: 1-661-524(LBI)-0262
Email: info@leadingbiology.com
Complete this form and click send to ask us a question, request a quote or simply say hello.

You have 0 item in your cart

You have 0 item in your inquiry list