> Antigen, Antibodies, ELISA, Western Blot > Primary Antibody > Polyclonal Antibodies > SIGLEC7 (D-siglec) Antibody (N-term)Brand |
Leading Biology | Catalog Number |
APR13338G |
Product Type |
Polyclonal Antibodies | Field of Research |
|
Product Overview |
We constantly strive to ensure we provide our customers with the best antibodies. As a result of this work we offer this antibody in purified format.
We are in the process of updating our datasheets. If you have any questions regarding this update, please feel free to contact our technical support team.
This product is a high quality SIGLEC7 (D-siglec) antibody (N-term).
|
||
Molecular Weight |
51143 Da
|
||
Cellular Localization |
Antigen Cellular Localization:
Membrane; Single-pass type I membrane protein
|
||
Host |
Rabbit
|
||
Species Reactivity |
Human
|
||
Immunogen |
1-30 aa
|
||
Target |
This SIGLEC7 (D-siglec) antibody is generated from rabbits immunized with a KLH conjugated synthetic peptide between 1-30 amino acids from the N-terminal region of human SIGLEC7 (D-siglec).
|
||
Isotype |
Rabbit Ig
|
||
Symbol |
AIRM1
|
||
GeneID |
|||
UniProt ID |
|||
Function |
Putative adhesion molecule that mediates sialic-acid dependent binding to cells. Preferentially binds to alpha-2,3- and alpha-2,6-linked sialic acid. Also binds disialogangliosides (disialogalactosyl globoside, disialyl lactotetraosylceramide and disialyl GalNAc lactotetraoslylceramide). The sialic acid recognition site may be masked by cis interactions with sialic acids on the same cell surface. In the immune response, may act as an inhibitory receptor upon ligand induced tyrosine phosphorylation by recruiting cytoplasmic phosphatase(s) via their SH2 domain(s) that block signal transduction through dephosphorylation of signaling molecules. Mediates inhibition of natural killer cells cytotoxicity. May play a role in hemopoiesis. Inhibits differentiation of CD34+ cell precursors towards myelomonocytic cell lineage and proliferation of leukemic myeloid cells (in vitro).
|
||
Summary |
SIGLECs are members of the immunoglobulin superfamily that are expressed on the cell surface. Most SIGLECs have one or more cytoplasmic immune receptor tyrosine-based inhibitory motifs (ITIM). SIGLECs are typically expressed on cells of the innate immune system, with the exception of the B-cell expressed SIGLEC6. Sequence analysis predicted that the 697-amino acid SIGLEC10 protein contains a signal peptide, an N-terminal V-set Ig-like domain and four C2-set Ig-like domains, five potential N-linked glycosylation sites, a transmembrane region, and a 126-residue cytoplasmic tail with 3 putative ITIMs. Northern blot analysis detected a major 3.0-kb SIGLEC10 transcript, with highest levels in spleen, lymph node, blood leukocytes, and appendix. Little or no expression was observed in pancreas, thyroid, and testis. Flow cytometric analysis demonstrated eosinophil-specific expression of SIGLEC10, but at a lower level than that of SIGLEC8. Expression was also detected on monocytes and a CD16-positive/CD56-negative natural killer-like lymphocyte population. After sialidase treatment, which is necessary for unmasking the sialic acid-binding site on SIGLECs interacting with cell surface sialic acids, cells expressing SIGLEC10 bound to red blood cells. Immunoprecipitation analysis indicated expression of a 100- to 120-kD monomeric protein, higher than the predicted molecular mass, suggesting that SIGLEC10 is glycosylated.
|
||
Form |
Purified polyclonal antibody supplied in PBS with 0.09% (W/V) sodium azide. This antibody is prepared by Saturated Ammonium Sulfate (SAS) precipitation followed by dialysis against PBS. |
||
Storage & Stability |
Store at +4°C short term. For long-term storage, aliquot and store at -20°C or below. Stable for 12 months at -20°C. Avoid repeated freeze-thaw cycles.
|
||
Applications |
WB, IHC-P, E
|
||
Dilution |
WB~~1:1000
IHC-P~~1:50~100
|
||
Synonyms |
Sialic acid-binding Ig-like lectin 7, Siglec-7, Adhesion inhibitory receptor molecule 1, AIRM-1, CDw328, D-siglec, QA79 membrane protein, p75, CD328, SIGLEC7, AIRM1
|
||
Images |
All lanes : Anti-SIGLEC7 Antibody (W20) at 1:1000 dilution Lane 1: human liver lysate Lane 2: human placenta lysate Lysates/proteins at 20 μg per lane. Secondary Goat Anti-Rabbit IgG, (H+L), Peroxidase conjugated at 1/10000 dilution. Predicted band size : 51 kDa Blocking/Dilution buffer: 5% NFDM/TBST.
Anti-SIGLEC7 Antibody (W20) at 1:1000 dilution + human liver lysate Lysates/proteins at 20 μg per lane. Secondary Goat Anti-Rabbit IgG, (H+L), Peroxidase conjugated at 1/10000 dilution. Predicted band size : 51 kDa Blocking/Dilution buffer: 5% NFDM/TBST.
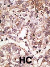
Formalin-fixed and paraffin-embedded human cancer tissue reacted with the primary antibody, which was peroxidase-conjugated to the secondary antibody, followed by AEC staining. This data demonstrates the use of this antibody for immunohistochemistry; clinical relevance has not been evaluated. BC = breast carcinoma; HC = hepatocarcinoma. |
||
Specification |
|||
Quantity |
|
||
| Select | Brand | Catalog No. | Product Name | Pack Size | Type | Field of Research | Specification | Quantity | Price(USD) | |
| 1 | Leading Biology | APR03440G | ITGA11 Antibody (N-term) | 100 μl | Polyclonal Antibodies |
|
$495.00 | Add Ask | ||
| 2 | Leading Biology | APR04537G | CMIP Antibody (C-term) | 100 μl | Polyclonal Antibodies |
|
$495.00 | Add Ask | ||
| 3 | Leading Biology | APR12422G | Human H4 Histamine Receptor (extracellular) Antibody | 50 μl | Polyclonal Antibodies |
|
$695.00 | Add Ask | ||
| 4 | Leading Biology | APR03844G | UBE2W Antibody (C-term) | 100 μl | Polyclonal Antibodies |
|
$495.00 | Add Ask | ||
| 5 | Leading Biology | APR04349G | HECTD2 Antibody (N-term) | 100 μl | Polyclonal Antibodies |
|
$495.00 | Add Ask | ||
| 6 | Leading Biology | APR03502G | IGHG1 Antibody (Center) | 100 μl | Polyclonal Antibodies |
|
$495.00 | Add Ask |
Leading Biology Inc.
2600 Hilltop DR, Building G, B Suite C138
Richmond, CA, 94806
Tel: 1-661-524(LBI)-0262
Email: info@leadingbiology.com
Complete this form and click send to ask us a question, request a quote or simply say hello.

You have 0 item in your cart

You have 0 item in your inquiry list