> Antigen, Antibodies, ELISA, Western Blot > Primary Antibody > Polyclonal Antibodies > VILIP3 Antibody (N-term)Brand |
Leading Biology | Catalog Number |
APR13965G |
Product Type |
Polyclonal Antibodies | Field of Research |
|
Product Overview |
We constantly strive to ensure we provide our customers with the best antibodies. As a result of this work we offer this antibody in purified format.
We are in the process of updating our datasheets. If you have any questions regarding this update, please feel free to contact our technical support team.
This product is a high quality VILIP3 antibody (N-term).
|
||
Molecular Weight |
22313 Da
|
||
Host |
Rabbit
|
||
Species Reactivity |
Human, Mouse
|
||
Immunogen |
2-32 aa
|
||
Target |
This VILIP3 antibody is generated from rabbits immunized with a KLH conjugated synthetic peptide between 2-32 amino acids from the N-terminal region of human VILIP3.
|
||
Isotype |
Rabbit Ig
|
||
Symbol |
BDR1
|
||
GeneID |
|||
UniProt ID |
|||
Function |
May be involved in the calcium-dependent regulation of rhodopsin phosphorylation.
|
||
Summary |
VILIP3 is a member of neuron-specific calcium-binding proteins family found in the retina and brain. It is highly similar to human hippocalcin protein and nearly identical to the rat and mouse hippocalcin like-1 proteins. It may be involved in the calcium-dependent regulation of rhodopsin phosphorylation and may be of relevance for neuronal signalling in the central nervous system. There are two alternatively spliced transcript variants of this gene, with multiple polyadenylation sites. Transcript variant 1 utilizes a different exon and also lacks one exon in the 5' UTR, as compared to variant 2; thus, the encoded protein is the same.
|
||
Form |
Purified polyclonal antibody supplied in PBS with 0.09% (W/V) sodium azide. This antibody is prepared by Saturated Ammonium Sulfate (SAS) precipitation followed by dialysis against PBS. |
||
Storage & Stability |
Store at +4°C short term. For long-term storage, aliquot and store at -20°C or below. Stable for 12 months at -20°C. Avoid repeated freeze-thaw cycles.
|
||
Applications |
WB, IHC-P, E
|
||
Dilution |
WB~~1:1000
IHC-P~~1:50~100
|
||
Synonyms |
Hippocalcin-like protein 1, Calcium-binding protein BDR-1, HLP2, Visinin-like protein 3, VILIP-3, HPCAL1, BDR1
|
||
Images |
Western blot analysis of VILIP3 (arrow) using rabbit polyclonal VILIP3 Antibody (N-term) (Cat. APR13965G). 293 cell lysates (2 ug/lane) either nontransfected (Lane 1) or transiently transfected with the VILIP3 gene (Lane 2) (Origene Technologies).
The anti-VILIP3 Pab (Cat. APR13965G) is used in Western blot to detect VILIP3 in mouse cerebellum tissue lysate.
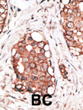
Formalin-fixed and paraffin-embedded human cancer tissue reacted with the primary antibody, which was peroxidase-conjugated to the secondary antibody, followed by AEC staining. This data demonstrates the use of this antibody for immunohistochemistry; clinical relevance has not been evaluated. BC = breast carcinoma |
||
Specification |
|||
Quantity |
|
||
| Select | Brand | Catalog No. | Product Name | Pack Size | Type | Field of Research | Specification | Quantity | Price(USD) | |
| 1 | Leading Biology | APR03440G | ITGA11 Antibody (N-term) | 100 μl | Polyclonal Antibodies |
|
$495.00 | Add Ask | ||
| 2 | Leading Biology | APR04537G | CMIP Antibody (C-term) | 100 μl | Polyclonal Antibodies |
|
$495.00 | Add Ask | ||
| 3 | Leading Biology | APR12422G | Human H4 Histamine Receptor (extracellular) Antibody | 50 μl | Polyclonal Antibodies |
|
$695.00 | Add Ask | ||
| 4 | Leading Biology | APR03844G | UBE2W Antibody (C-term) | 100 μl | Polyclonal Antibodies |
|
$495.00 | Add Ask | ||
| 5 | Leading Biology | APR04349G | HECTD2 Antibody (N-term) | 100 μl | Polyclonal Antibodies |
|
$495.00 | Add Ask | ||
| 6 | Leading Biology | APR03502G | IGHG1 Antibody (Center) | 100 μl | Polyclonal Antibodies |
|
$495.00 | Add Ask |
Leading Biology Inc.
2600 Hilltop DR, Building G, B Suite C138
Richmond, CA, 94806
Tel: 1-661-524(LBI)-0262
Email: info@leadingbiology.com
Complete this form and click send to ask us a question, request a quote or simply say hello.

You have 0 item in your cart

You have 0 item in your inquiry list