> Antigen, Antibodies, ELISA, Western Blot > Primary Antibody > Polyclonal Antibodies > CPB1 Antibody (N-term)Brand |
Leading Biology | Catalog Number |
APG02743G |
Product Type |
Polyclonal Antibodies | Field of Research |
|
Product Overview |
We constantly strive to ensure we provide our customers with the best antibodies. As a result of this work we offer this antibody in purified format.
We are in the process of updating our datasheets. If you have any questions regarding this update, please feel free to contact our technical support team.
This product is a high quality CPB1 antibody (N-term).
|
||
Molecular Weight |
47368 Da
|
||
Cellular Localization |
Antigen Cellular Localization:
Secreted.
|
||
Host |
Rabbit
|
||
Species Reactivity |
Human
|
||
Immunogen |
9-37 aa
|
||
Target |
This CPB1 antibody is generated from rabbits immunized with a KLH conjugated synthetic peptide between 9-37 amino acids from the N-terminal region of human CPB1.
|
||
Isotype |
Rabbit Ig
|
||
Symbol |
CPB, PCPB
|
||
GeneID |
|||
UniProt ID |
|||
Summary |
Three different procarboxypeptidases A and two differentprocarboxypeptidases B have been isolated. The B1 and B2 formsdiffer from each other mainly in isoelectric point.Carboxypeptidase B1 is a highly tissue-specific protein and is auseful serum marker for acute pancreatitis and dysfunction ofpancreatic transplants. It is not elevated in pancreatic carcinoma.
|
||
Form |
Purified polyclonal antibody supplied in PBS with 0.09% (W/V) sodium azide. This antibody is purified through a protein A column, followed by peptide affinity purification. |
||
Storage & Stability |
Store at +4°C short term. For long-term storage, aliquot and store at -20°C or below. Stable for 12 months at -20°C. Avoid repeated freeze-thaw cycles.
|
||
Applications |
WB, IF, IHC-P, FC, E
|
||
Dilution |
WB~~1:1000
IF~~1:10~50
IHC-P~~1:10~50
FC~~1:10~50
|
||
Synonyms |
Carboxypeptidase B, Pancreas-specific protein, PASP, CPB1, CPB, PCPB
|
||
Images |
Anti-CPB1 Antibody (N-term) at 1:1000 dilution + human pancreas lysate Lysates/proteins at 20 μg per lane. Secondary Goat Anti-Rabbit IgG, (H+L), Peroxidase conjugated at 1/10000 dilution. Predicted band size : 47 kDa Blocking/Dilution buffer: 5% NFDM/TBST.
Confocal immunofluorescent analysis of CPB1 Antibody (N-term)( APG02743G) with Hela cell followed by Alexa Fluor 488-conjugated goat anti-rabbit lgG (green). DAPI was used to stain the cell nuclear (blue).
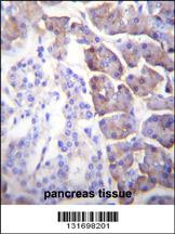
CPB1 Antibody (N-term) (Cat. APG02743G)immunohistochemistry analysis in formalin fixed and paraffin embedded human pancreas tissue followed by peroxidase conjugation of the secondary antibody and DAB staining.This data demonstrates the use of CPB1 Antibody (N-term) for immunohistochemistry. Clinical relevance has not been evaluated. |
||
Specification |
|||
Quantity |
|
||
| Select | Brand | Catalog No. | Product Name | Pack Size | Type | Field of Research | Specification | Quantity | Price(USD) | |
| 1 | Leading Biology | APR03440G | ITGA11 Antibody (N-term) | 100 μl | Polyclonal Antibodies |
|
$495.00 | Add Ask | ||
| 2 | Leading Biology | APR04537G | CMIP Antibody (C-term) | 100 μl | Polyclonal Antibodies |
|
$495.00 | Add Ask | ||
| 3 | Leading Biology | APR12422G | Human H4 Histamine Receptor (extracellular) Antibody | 50 μl | Polyclonal Antibodies |
|
$695.00 | Add Ask | ||
| 4 | Leading Biology | APR03844G | UBE2W Antibody (C-term) | 100 μl | Polyclonal Antibodies |
|
$495.00 | Add Ask | ||
| 5 | Leading Biology | APR04349G | HECTD2 Antibody (N-term) | 100 μl | Polyclonal Antibodies |
|
$495.00 | Add Ask | ||
| 6 | Leading Biology | APR03502G | IGHG1 Antibody (Center) | 100 μl | Polyclonal Antibodies |
|
$495.00 | Add Ask |
Leading Biology Inc.
2600 Hilltop DR, Building G, B Suite C138
Richmond, CA, 94806
Tel: 1-661-524(LBI)-0262
Email: info@leadingbiology.com
Complete this form and click send to ask us a question, request a quote or simply say hello.

You have 0 item in your cart

You have 0 item in your inquiry list