> Antigen, Antibodies, ELISA, Western Blot > Primary Antibody > Polyclonal Antibodies > ATG16L2 Antibody (Center K292)Brand |
Leading Biology | Catalog Number |
APG02034G |
Product Type |
Polyclonal Antibodies | Field of Research |
|
Product Overview |
We constantly strive to ensure we provide our customers with the best antibodies. As a result of this work we offer this antibody in purified format.
We are in the process of updating our datasheets. If you have any questions regarding this update, please feel free to contact our technical support team.
This product is a high quality ATG16L2 antibody (Center K292).
|
||
Molecular Weight |
68998 Da
|
||
Cellular Localization |
Antigen Cellular Localization:
Cytoplasm. Note=Localizes also to discrete punctae along the ciliary axoneme.
|
||
Host |
Rabbit
|
||
Species Reactivity |
Human
|
||
Immunogen |
277-304 aa
|
||
Target |
This ATG16L2 antibody is generated from rabbits immunized with a KLH conjugated synthetic peptide between 277-304 amino acids from the Central region of human ATG16L2.
|
||
Isotype |
Rabbit Ig
|
||
Symbol |
WDR80
|
||
GeneID |
|||
UniProt ID |
|||
Function |
May play a role in autophagy.
|
||
Summary |
ATG16L2 may play a role in autophagy (By similarity).
|
||
Form |
Purified polyclonal antibody supplied in PBS with 0.09% (W/V) sodium azide. This antibody is purified through a protein A column, followed by peptide affinity purification. |
||
Storage & Stability |
Store at +4°C short term. For long-term storage, aliquot and store at -20°C or below. Stable for 12 months at -20°C. Avoid repeated freeze-thaw cycles.
|
||
Applications |
WB, IHC-P, E
|
||
Dilution |
WB~~1:1000
IHC-P~~1:50~100
|
||
Synonyms |
Autophagy-related protein 16-2, APG16-like 2, WD repeat-containing protein 80, ATG16L2, WDR80
|
||
Images |
All lanes : Anti-ATG16L2 Antibody (Center K292) at 1:1000 dilution Lane 1: Jurkat whole cell lysate Lane 2: K562 whole cell lysate Lysates/proteins at 20 μg per lane. Secondary Goat Anti-Rabbit IgG, (H+L), Peroxidase conjugated at 1/10000 dilution. Predicted band size : 69 kDa Blocking/Dilution buffer: 5% NFDM/TBST.
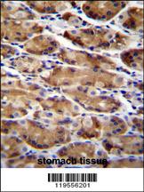
ATG16L2 Antibody (Center K292) (Cat. APG02034G)immunohistochemistry analysis in formalin fixed and paraffin embedded human stomach tissue followed by peroxidase conjugation of the secondary antibody and DAB staining.This data demonstrates the use of ATG16L2 Antibody (Center K292) for immunohistochemistry. Clinical relevance has not been evaluated. |
||
Specification |
|||
Quantity |
|
||
| Select | Brand | Catalog No. | Product Name | Pack Size | Type | Field of Research | Specification | Quantity | Price(USD) | |
| 1 | Leading Biology | APR03440G | ITGA11 Antibody (N-term) | 100 μl | Polyclonal Antibodies |
|
$495.00 | Add Ask | ||
| 2 | Leading Biology | APR04537G | CMIP Antibody (C-term) | 100 μl | Polyclonal Antibodies |
|
$495.00 | Add Ask | ||
| 3 | Leading Biology | APR12422G | Human H4 Histamine Receptor (extracellular) Antibody | 50 μl | Polyclonal Antibodies |
|
$695.00 | Add Ask | ||
| 4 | Leading Biology | APR03844G | UBE2W Antibody (C-term) | 100 μl | Polyclonal Antibodies |
|
$495.00 | Add Ask | ||
| 5 | Leading Biology | APR04349G | HECTD2 Antibody (N-term) | 100 μl | Polyclonal Antibodies |
|
$495.00 | Add Ask | ||
| 6 | Leading Biology | APR03502G | IGHG1 Antibody (Center) | 100 μl | Polyclonal Antibodies |
|
$495.00 | Add Ask |
Leading Biology Inc.
2600 Hilltop DR, Building G, B Suite C138
Richmond, CA, 94806
Tel: 1-661-524(LBI)-0262
Email: info@leadingbiology.com
Complete this form and click send to ask us a question, request a quote or simply say hello.

You have 0 item in your cart

You have 0 item in your inquiry list