> Antigen, Antibodies, ELISA, Western Blot > Primary Antibody > Polyclonal Antibodies > MIA40 Antibody (C-term)Brand |
Leading Biology | Catalog Number |
APR08447G |
Product Type |
Polyclonal Antibodies | Field of Research |
|
Product Overview |
We constantly strive to ensure we provide our customers with the best antibodies. As a result of this work we offer this antibody in purified format.
We are in the process of updating our datasheets. If you have any questions regarding this update, please feel free to contact our technical support team.
This product is a high quality MIA40 antibody (C-term).
|
||
Molecular Weight |
15996 Da
|
||
Cellular Localization |
Antigen Cellular Localization:
Mitochondrion intermembrane space
|
||
Host |
Rabbit
|
||
Species Reactivity |
Human
|
||
Immunogen |
101-129 aa
|
||
Target |
This MIA40 antibody is generated from rabbits immunized with a KLH conjugated synthetic peptide between 101-129 amino acids from the C-terminal region of human MIA40.
|
||
Isotype |
Rabbit Ig
|
||
Symbol |
MIA40
|
||
GeneID |
|||
UniProt ID |
|||
Function |
Functions as chaperone and catalyzes the formation of disulfide bonds in substrate proteins, such as COX17. Required for the import and folding of small cysteine-containing proteins (small Tim) in the mitochondrial intermembrane space (IMS). Precursor proteins to be imported into the IMS are translocated in their reduced form into the mitochondria. The oxidized form of CHCHD4/MIA40 forms a transient intermolecular disulfide bridge with the reduced precursor protein, resulting in oxidation of the precursor protein that now contains an intramolecular disulfide bond and is able to undergo folding in the IMS. Reduced CHCHD4/MIA40 is then reoxidized by GFER/ERV1 via a disulfide relay system.
|
||
Summary |
CHCHD4, a component of human mitochondria, belongs to aprotein family whose members share 6 highly conserved cysteineresidues constituting a -CXC-CX(9)C-CX(9)C- motif in the C terminus(Hofmann et al., 2005 [PubMed 16185709]).
|
||
Form |
Purified polyclonal antibody supplied in PBS with 0.09% (W/V) sodium azide. This antibody is purified through a protein A column, followed by peptide affinity purification. |
||
Storage & Stability |
Store at +4°C short term. For long-term storage, aliquot and store at -20°C or below. Stable for 12 months at -20°C. Avoid repeated freeze-thaw cycles.
|
||
Applications |
WB, IHC-P, E
|
||
Dilution |
WB~~1:1000
IHC-P~~1:10~50
|
||
Synonyms |
Mitochondrial intermembrane space import and assembly protein 40, Coiled-coil-helix-coiled-coil-helix domain-containing protein 4, CHCHD4, MIA40
|
||
Images |
MIA40 Antibody (C-term) (Cat. APR08447G) western blot analysis in MDA-MB231 cell line lysates (35ug/lane).This demonstrates the MIA40 antibody detected the MIA40 protein (arrow).
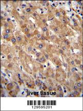
MIA40 Antibody (C-term) (Cat. APR08447G)immunohistochemistry analysis in formalin fixed and paraffin embedded human liver tissue followed by peroxidase conjugation of the secondary antibody and DAB staining.This data demonstrates the use of MIA40 Antibody (C-term) for immunohistochemistry. Clinical relevance has not been evaluated. |
||
Specification |
|||
Quantity |
|
||
| Select | Brand | Catalog No. | Product Name | Pack Size | Type | Field of Research | Specification | Quantity | Price(USD) | |
| 1 | Leading Biology | APR03440G | ITGA11 Antibody (N-term) | 100 μl | Polyclonal Antibodies |
|
$495.00 | Add Ask | ||
| 2 | Leading Biology | APR04537G | CMIP Antibody (C-term) | 100 μl | Polyclonal Antibodies |
|
$495.00 | Add Ask | ||
| 3 | Leading Biology | APR12422G | Human H4 Histamine Receptor (extracellular) Antibody | 50 μl | Polyclonal Antibodies |
|
$695.00 | Add Ask | ||
| 4 | Leading Biology | APR03844G | UBE2W Antibody (C-term) | 100 μl | Polyclonal Antibodies |
|
$495.00 | Add Ask | ||
| 5 | Leading Biology | APR04349G | HECTD2 Antibody (N-term) | 100 μl | Polyclonal Antibodies |
|
$495.00 | Add Ask | ||
| 6 | Leading Biology | APR03502G | IGHG1 Antibody (Center) | 100 μl | Polyclonal Antibodies |
|
$495.00 | Add Ask |
Leading Biology Inc.
2600 Hilltop DR, Building G, B Suite C138
Richmond, CA, 94806
Tel: 1-661-524(LBI)-0262
Email: info@leadingbiology.com
Complete this form and click send to ask us a question, request a quote or simply say hello.

You have 0 item in your cart

You have 0 item in your inquiry list