> Antigen, Antibodies, ELISA, Western Blot > Primary Antibody > Polyclonal Antibodies > CYP11B2 Antibody (Center)Brand |
Leading Biology | Catalog Number |
APG02866G |
Product Type |
Polyclonal Antibodies | Field of Research |
|
Product Overview |
We constantly strive to ensure we provide our customers with the best antibodies. As a result of this work we offer this antibody in purified format.
We are in the process of updating our datasheets. If you have any questions regarding this update, please feel free to contact our technical support team.
This product is a high quality CYP11B2 antibody (Center).
|
||
Molecular Weight |
57560 Da
|
||
Cellular Localization |
Antigen Cellular Localization:
Mitochondrion membrane.
|
||
Host |
Rabbit
|
||
Species Reactivity |
Human, Mouse
|
||
Immunogen |
120-147 aa
|
||
Target |
This CYP11B2 antibody is generated from rabbits immunized with a KLH conjugated synthetic peptide between 120-147 amino acids from the Central region of human CYP11B2.
|
||
Isotype |
Rabbit Ig
|
||
GeneID |
|||
UniProt ID |
|||
Function |
Preferentially catalyzes the conversion of 11- deoxycorticosterone to aldosterone via corticosterone and 18- hydroxycorticosterone.
|
||
Summary |
This gene encodes a member of the cytochrome P450 superfamily of enzymes. The cytochrome P450 proteins are monooxygenases which catalyze many reactions involved in drug metabolism and synthesis of cholesterol, steroids and other lipids. This protein localizes to the mitochondrial inner membrane. The enzyme has steroid 18-hydroxylase activity to synthesize aldosterone and 18-oxocortisol as well as steroid 11 beta-hydroxylase activity. Mutations in this gene cause corticosterone methyl oxidase deficiency.
|
||
Form |
Purified polyclonal antibody supplied in PBS with 0.09% (W/V) sodium azide. This antibody is purified through a protein A column, followed by peptide affinity purification. |
||
Storage & Stability |
Store at +4°C short term. For long-term storage, aliquot and store at -20°C or below. Stable for 12 months at -20°C. Avoid repeated freeze-thaw cycles.
|
||
Applications |
IHC-P, WB, FC, E
|
||
Dilution |
IHC-P~~1:10~50
WB~~1:2000
FC~~1:10~50
|
||
Synonyms |
Cytochrome P450 11B2, mitochondrial, Aldosterone synthase, ALDOS, Aldosterone-synthesizing enzyme, CYPXIB2, Cytochrome P-450Aldo, Cytochrome P-450C18, Steroid 18-hydroxylase, CYP11B2
|
||
Images |
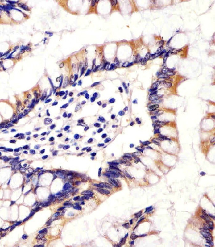
APG02866G staining CYP11B2 in human small intestine tissue sections by Immunohistochemistry (IHC-P - paraformaldehyde-fixed, paraffin-embedded sections). Tissue was fixed with formaldehyde and blocked with 3% BSA for 0. 5 hour at room temperature; antigen retrieval was by heat mediation with a citrate buffer (pH6). Samples were incubated with primary antibody (1/25) for 1 hours at 37°C. A undiluted biotinylated goat polyvalent antibody was used as the secondary antibody.
Anti-CYP11B2 Antibody (Center) at 1:2000 dilution + HepG2 whole cell lysate Lysates/proteins at 20 μg per lane. Secondary Goat Anti-Rabbit IgG, (H+L), Peroxidase conjugated at 1/10000 dilution. Predicted band size : 58 kDa Blocking/Dilution buffer: 5% NFDM/TBST.
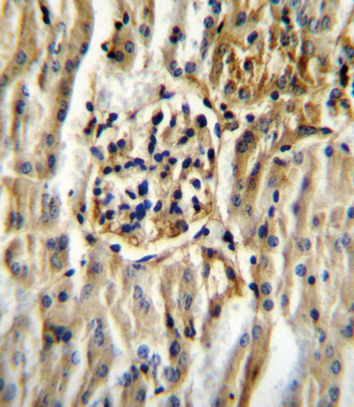
CYP11B2 Antibody (Center) (Cat. APG02866G)immunohistochemistry analysis in formalin fixed and paraffin embedded mouse kidney tissue followed by peroxidase conjugation of the secondary antibody and DAB staining.This data demonstrates the use of CYP11B2 Antibody (Center) for immunohistochemistry. Clinical relevance has not been evaluated. |
||
Specification |
|||
Quantity |
|
||
| Select | Brand | Catalog No. | Product Name | Pack Size | Type | Field of Research | Specification | Quantity | Price(USD) | |
| 1 | Leading Biology | APR03440G | ITGA11 Antibody (N-term) | 100 μl | Polyclonal Antibodies |
|
$495.00 | Add Ask | ||
| 2 | Leading Biology | APR04537G | CMIP Antibody (C-term) | 100 μl | Polyclonal Antibodies |
|
$495.00 | Add Ask | ||
| 3 | Leading Biology | APR12422G | Human H4 Histamine Receptor (extracellular) Antibody | 50 μl | Polyclonal Antibodies |
|
$695.00 | Add Ask | ||
| 4 | Leading Biology | APR03844G | UBE2W Antibody (C-term) | 100 μl | Polyclonal Antibodies |
|
$495.00 | Add Ask | ||
| 5 | Leading Biology | APR04349G | HECTD2 Antibody (N-term) | 100 μl | Polyclonal Antibodies |
|
$495.00 | Add Ask | ||
| 6 | Leading Biology | APR03502G | IGHG1 Antibody (Center) | 100 μl | Polyclonal Antibodies |
|
$495.00 | Add Ask |
Leading Biology Inc.
2600 Hilltop DR, Building G, B Suite C138
Richmond, CA, 94806
Tel: 1-661-524(LBI)-0262
Email: info@leadingbiology.com
Complete this form and click send to ask us a question, request a quote or simply say hello.

You have 0 item in your cart

You have 0 item in your inquiry list