> Antigen, Antibodies, ELISA, Western Blot > Primary Antibody > Polyclonal Antibodies > IRGM Antibody (C-term)Brand |
Leading Biology | Catalog Number |
APR08031G |
Product Type |
Polyclonal Antibodies | Field of Research |
|
Product Overview |
We constantly strive to ensure we provide our customers with the best antibodies. As a result of this work we offer this antibody in purified format.
We are in the process of updating our datasheets. If you have any questions regarding this update, please feel free to contact our technical support team.
This product is a high quality IRGM antibody (C-term).
|
||
Molecular Weight |
20142 Da
|
||
Cellular Localization |
Antigen Cellular Localization:
Golgi apparatus membrane. Cell membrane. Cytoplasmic vesicle, phagosome membrane. Cytoplasmic vesicle, autophagosome membrane. Cell projection, phagocytic cup Note=Behaves like an integral membrane protein. Recruited to the plasma membrane around forming phagocytic cups, it remains associated with maturing autophagosomes. Preferentially associated with cis- and medial-Golgi.
|
||
Host |
Rabbit
|
||
Species Reactivity |
Human
|
||
Immunogen |
151-179 aa
|
||
Target |
This IRGM antibody is generated from rabbits immunized with a KLH conjugated synthetic peptide between 151-179 amino acids from the C-terminal region of human IRGM.
|
||
Isotype |
Rabbit Ig
|
||
Symbol |
IFI1, IRGM1, LRG47
|
||
GeneID |
|||
UniProt ID |
|||
Function |
Putative GTPase which is required for clearance of acute protozoan and bacterial infections. Functions in innate immune response probably through regulation of autophagy. May regulate proinflammatory cytokine production and prevent endotoxemia upon infection. May also play a role in macrophages adhesion and motility (By similarity).
|
||
Summary |
This gene encodes a member of the p47 immunity-relatedGTPase family. The encoded protein may play a role in the innateimmune response by regulating autophagy formation in response tointracellular pathogens. Polymorphisms that affect the normalexpression of this gene are associated with a susceptibility toCrohn's disease and tuberculosis.
|
||
Form |
Purified polyclonal antibody supplied in PBS with 0.09% (W/V) sodium azide. This antibody is purified through a protein A column, followed by peptide affinity purification. |
||
Storage & Stability |
Store at +4°C short term. For long-term storage, aliquot and store at -20°C or below. Stable for 12 months at -20°C. Avoid repeated freeze-thaw cycles.
|
||
Applications |
WB, IHC-P, E
|
||
Dilution |
WB~~1:1000
IHC-P~~1:10~50
|
||
Synonyms |
Immunity-related GTPase family M protein, 365-, Immunity-related GTPase family M protein 1, Interferon-inducible protein 1, LPS-stimulated RAW 2647 macrophage protein 47 homolog, LRG-47, IRGM, IFI1, IRGM1, LRG47
|
||
Images |
IRGM Antibody (C-term) (Cat. APR08031G) western blot analysis in HepG2 cell line lysates (35ug/lane).This demonstrates the IRGM antibody detected the IRGM protein (arrow).
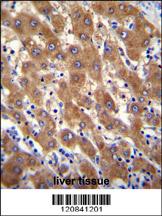
IRGM Antibody (C-term) (Cat. APR08031G)immunohistochemistry analysis in formalin fixed and paraffin embedded human liver tissue followed by peroxidase conjugation of the secondary antibody and DAB staining.This data demonstrates the use of IRGM Antibody (C-term) for immunohistochemistry. Clinical relevance has not been evaluated. |
||
Specification |
|||
Quantity |
|
||
| Select | Brand | Catalog No. | Product Name | Pack Size | Type | Field of Research | Specification | Quantity | Price(USD) | |
| 1 | Leading Biology | APR03440G | ITGA11 Antibody (N-term) | 100 μl | Polyclonal Antibodies |
|
$495.00 | Add Ask | ||
| 2 | Leading Biology | APR04537G | CMIP Antibody (C-term) | 100 μl | Polyclonal Antibodies |
|
$495.00 | Add Ask | ||
| 3 | Leading Biology | APR12422G | Human H4 Histamine Receptor (extracellular) Antibody | 50 μl | Polyclonal Antibodies |
|
$695.00 | Add Ask | ||
| 4 | Leading Biology | APR03844G | UBE2W Antibody (C-term) | 100 μl | Polyclonal Antibodies |
|
$495.00 | Add Ask | ||
| 5 | Leading Biology | APR04349G | HECTD2 Antibody (N-term) | 100 μl | Polyclonal Antibodies |
|
$495.00 | Add Ask | ||
| 6 | Leading Biology | APR03502G | IGHG1 Antibody (Center) | 100 μl | Polyclonal Antibodies |
|
$495.00 | Add Ask |
Leading Biology Inc.
2600 Hilltop DR, Building G, B Suite C138
Richmond, CA, 94806
Tel: 1-661-524(LBI)-0262
Email: info@leadingbiology.com
Complete this form and click send to ask us a question, request a quote or simply say hello.

You have 0 item in your cart

You have 0 item in your inquiry list