> Antigen, Antibodies, ELISA, Western Blot > Primary Antibody > Polyclonal Antibodies > CYP2B6 Antibody (Center)Brand |
Leading Biology | Catalog Number |
APR07032G |
Product Type |
Polyclonal Antibodies | Field of Research |
|
Product Overview |
We constantly strive to ensure we provide our customers with the best antibodies. As a result of this work we offer this antibody in purified format.
We are in the process of updating our datasheets. If you have any questions regarding this update, please feel free to contact our technical support team.
This product is a high quality CYP2B6 antibody (Center).
|
||
Molecular Weight |
56278 Da
|
||
Cellular Localization |
Antigen Cellular Localization:
Endoplasmic reticulum membrane; Peripheral membrane protein. Microsome membrane; Peripheral membrane protein
|
||
Host |
Rabbit
|
||
Species Reactivity |
Human
|
||
Immunogen |
235-263 aa
|
||
Target |
This CYP2B6 antibody is generated from rabbits immunized with a KLH conjugated synthetic peptide between 235-263 amino acids from the Central region of human CYP2B6.
|
||
Isotype |
Rabbit Ig
|
||
GeneID |
|||
UniProt ID |
|||
Function |
Cytochromes P450 are a group of heme-thiolate monooxygenases. In liver microsomes, this enzyme is involved in an NADPH-dependent electron transport pathway. It oxidizes a variety of structurally unrelated compounds, including steroids, fatty acids, and xenobiotics. Acts as a 1,4-cineole 2-exo-monooxygenase.
|
||
Summary |
This gene, CYP2B6, encodes a member of the cytochrome P450superfamily of enzymes. The cytochrome P450 proteins aremonooxygenases which catalyze many reactions involved in drugmetabolism and synthesis of cholesterol, steroids and other lipids.This protein localizes to the endoplasmic reticulum and itsexpression is induced by phenobarbital. The enzyme is known tometabolize some xenobiotics, such as the anti-cancer drugscyclophosphamide and ifosphamide. Transcript variants for this genehave been described; however, it has not been resolved whetherthese transcripts are in fact produced by this gene or by a closelyrelated pseudogene, CYP2B7. Both the gene and the pseudogene arelocated in the middle of a CYP2A pseudogene found in a largecluster of cytochrome P450 genes from the CYP2A, CYP2B and CYP2Fsubfamilies on chromosome 19q.
|
||
Form |
Purified polyclonal antibody supplied in PBS with 0.09% (W/V) sodium azide. This antibody is purified through a protein A column, followed by peptide affinity purification. |
||
Storage & Stability |
Store at +4°C short term. For long-term storage, aliquot and store at -20°C or below. Stable for 12 months at -20°C. Avoid repeated freeze-thaw cycles.
|
||
Applications |
WB, IHC-P, IF, E
|
||
Dilution |
WB~~1:2000
IHC-P~~1:10~50
IF~~1:10~50
|
||
Synonyms |
Cytochrome P450 2B6, 11413-, 4-cineole 2-exo-monooxygenase, CYPIIB6, Cytochrome P450 IIB1, CYP2B6
|
||
Images |
All lanes : Anti-CYP2B6 Antibody (Center) at 1:2000 dilution Lane 1: 293 whole cell lysate Lane 2: Jurkat whole cell lysate Lysates/proteins at 20 μg per lane. Secondary Goat Anti-Rabbit IgG, (H+L), Peroxidase conjugated at 1/10000 dilution. Predicted band size : 56 kDa Blocking/Dilution buffer: 5% NFDM/TBST.
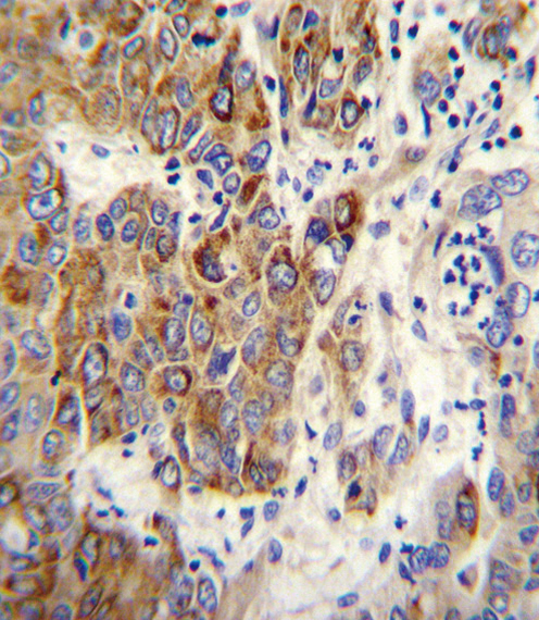
CYP2B6 Antibody (Center) (Cat. APR07032G)immunohistochemistry analysis in formalin fixed and paraffin embedded human hepatocarcinoma followed by peroxidase conjugation of the secondary antibody and DAB staining.This data demonstrates the use of CYP2B6 Antibody (Center) for immunohistochemistry. Clinical relevance has not been evaluated.
Confocal immunofluorescent analysis of CYP2B6 Antibody (Center)( APR07032G) with 293 cell followed by Alexa Fluor 488-conjugated goat anti-rabbit lgG (green). DAPI was used to stain the cell nuclear (blue). |
||
Specification |
|||
Quantity |
|
||
| Select | Brand | Catalog No. | Product Name | Pack Size | Type | Field of Research | Specification | Quantity | Price(USD) | |
| 1 | Leading Biology | APR03440G | ITGA11 Antibody (N-term) | 100 μl | Polyclonal Antibodies |
|
$495.00 | Add Ask | ||
| 2 | Leading Biology | APR04537G | CMIP Antibody (C-term) | 100 μl | Polyclonal Antibodies |
|
$495.00 | Add Ask | ||
| 3 | Leading Biology | APR12422G | Human H4 Histamine Receptor (extracellular) Antibody | 50 μl | Polyclonal Antibodies |
|
$695.00 | Add Ask | ||
| 4 | Leading Biology | APR03844G | UBE2W Antibody (C-term) | 100 μl | Polyclonal Antibodies |
|
$495.00 | Add Ask | ||
| 5 | Leading Biology | APR04349G | HECTD2 Antibody (N-term) | 100 μl | Polyclonal Antibodies |
|
$495.00 | Add Ask | ||
| 6 | Leading Biology | APR03502G | IGHG1 Antibody (Center) | 100 μl | Polyclonal Antibodies |
|
$495.00 | Add Ask |
Leading Biology Inc.
2600 Hilltop DR, Building G, B Suite C138
Richmond, CA, 94806
Tel: 1-661-524(LBI)-0262
Email: info@leadingbiology.com
Complete this form and click send to ask us a question, request a quote or simply say hello.

You have 0 item in your cart

You have 0 item in your inquiry list