> Antigen, Antibodies, ELISA, Western Blot > Primary Antibody > Polyclonal Antibodies > PPP6C Antibody (N-term)Brand |
Leading Biology | Catalog Number |
AMM08668G |
Product Type |
Polyclonal Antibodies | Field of Research |
|
Product Overview |
We constantly strive to ensure we provide our customers with the best antibodies. As a result of this work we offer this antibody in purified format.
We are in the process of updating our datasheets. If you have any questions regarding this update, please feel free to contact our technical support team.
This product is a high quality PPP6C antibody (N-term).
|
||
Molecular Weight |
35144 Da
|
||
Cellular Localization |
Antigen Cellular Localization:
Cytoplasm
|
||
Host |
Rabbit
|
||
Species Reactivity |
Human
|
||
Immunogen |
1-30 aa
|
||
Target |
This PPP6C antibody is generated from rabbits immunized with a KLH conjugated synthetic peptide between 1-30 amino acids from the N-terminal region of human PPP6C.
|
||
Isotype |
Rabbit Ig
|
||
Symbol |
PPP6
|
||
GeneID |
|||
UniProt ID |
|||
Function |
Catalytic subunit of protein phosphatase 6 (PP6). PP6 is a component of a signaling pathway regulating cell cycle progression in response to IL2 receptor stimulation. N-terminal domain restricts G1 to S phase progression in cancer cells, in part through control of cyclin D1. Downregulates MAP3K7 kinase activation of the IL1 signaling pathway by dephosphorylation of MAP3K7.
|
||
Summary |
PPP6C belongs to the PPP phosphatase family, PP-V subfamily. Reversible phosphorylation of proteins on serine and threonine residues is an important biochemical event that regulates a broad variety of intracellular processes. The phosphorylation state is determined by the well-controlled balance of activities of serine/threonine-specific protein kinases and protein phosphatases, including PPP6C. Expression levels are highest in testis, heart, and skeletal muscle and lowest in placenta, lung, and kidney. PPP6C can complement mutations in the S. cerevisiae Sit4 and S. pombe ppe1 genes, indicating that PPP6C is the functional homolog of yeast Sit4p and ppe1. Since Sit4p is required for the G1 to S transition of the cell cycle and ppe1 is involved in cell shape control and mitotic division, it has been suggested that PPP6C functions in cell cycle regulation.
|
||
Form |
Purified polyclonal antibody supplied in PBS with 0.09% (W/V) sodium azide. This antibody is prepared by Saturated Ammonium Sulfate (SAS) precipitation followed by dialysis against PBS. |
||
Storage & Stability |
Store at +4°C short term. For long-term storage, aliquot and store at -20°C or below. Stable for 12 months at -20°C. Avoid repeated freeze-thaw cycles.
|
||
Applications |
IHC-P, WB, E
|
||
Dilution |
IHC-P~~1:50~100
WB~~1:1000
|
||
Synonyms |
Serine/threonine-protein phosphatase 6 catalytic subunit, PP6C, Serine/threonine-protein phosphatase 6 catalytic subunit, N-terminally processed, PPP6C, PPP6
|
||
Images |
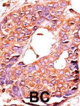
Formalin-fixed and paraffin-embedded human cancer tissue reacted with the primary antibody, which was peroxidase-conjugated to the secondary antibody, followed by AEC staining. This data demonstrates the use of this antibody for immunohistochemistry; clinical relevance has not been evaluated. BC = breast carcinoma; HC = hepatocarcinoma.
The anti-PPP6C Pab (Cat. AMM08668G) is used in Western blot to detect PPP6C in Thymus cell lysate. |
||
Specification |
|||
Quantity |
|
||
| Select | Brand | Catalog No. | Product Name | Pack Size | Type | Field of Research | Specification | Quantity | Price(USD) | |
| 1 | Leading Biology | APR03440G | ITGA11 Antibody (N-term) | 100 μl | Polyclonal Antibodies |
|
$495.00 | Add Ask | ||
| 2 | Leading Biology | APR04537G | CMIP Antibody (C-term) | 100 μl | Polyclonal Antibodies |
|
$495.00 | Add Ask | ||
| 3 | Leading Biology | APR12422G | Human H4 Histamine Receptor (extracellular) Antibody | 50 μl | Polyclonal Antibodies |
|
$695.00 | Add Ask | ||
| 4 | Leading Biology | APR03844G | UBE2W Antibody (C-term) | 100 μl | Polyclonal Antibodies |
|
$495.00 | Add Ask | ||
| 5 | Leading Biology | APR04349G | HECTD2 Antibody (N-term) | 100 μl | Polyclonal Antibodies |
|
$495.00 | Add Ask | ||
| 6 | Leading Biology | APR03502G | IGHG1 Antibody (Center) | 100 μl | Polyclonal Antibodies |
|
$495.00 | Add Ask |
Leading Biology Inc.
2600 Hilltop DR, Building G, B Suite C138
Richmond, CA, 94806
Tel: 1-661-524(LBI)-0262
Email: info@leadingbiology.com
Complete this form and click send to ask us a question, request a quote or simply say hello.

You have 0 item in your cart

You have 0 item in your inquiry list