> Antigen, Antibodies, ELISA, Western Blot > Primary Antibody > Polyclonal Antibodies > PTEN Antibody (N-term)Brand |
Leading Biology | Catalog Number |
APR10828G |
Product Type |
Polyclonal Antibodies | Field of Research |
|
Product Overview |
We constantly strive to ensure we provide our customers with the best antibodies. As a result of this work we offer this antibody in purified format.
We are in the process of updating our datasheets. If you have any questions regarding this update, please feel free to contact our technical support team.
This product is a high quality PTEN antibody (N-term).
|
||
Molecular Weight |
47166 Da
|
||
Cellular Localization |
Antigen Cellular Localization:
Cytoplasm. Nucleus. Nucleus, PML body. Note=Monoubiquitinated form is nuclear. Nonubiquitinated form is cytoplasmic. Colocalized with PML and USP7 in PML nuclear bodies XIAP/BIRC4 promotes its nuclear localization
|
||
Host |
Rabbit
|
||
Species Reactivity |
Human
|
||
Immunogen |
69-104 aa
|
||
Target |
This PTEN antibody is generated from rabbits immunized with a KLH conjugated synthetic peptide between 69-104 amino acids from the N-terminal region of human PTEN.
|
||
Isotype |
Rabbit Ig
|
||
Symbol |
MMAC1, TEP1
|
||
GeneID |
|||
UniProt ID |
|||
Function |
Tumor suppressor. Acts as a dual-specificity protein phosphatase, dephosphorylating tyrosine-, serine- and threonine- phosphorylated proteins. Also acts as a lipid phosphatase, removing the phosphate in the D3 position of the inositol ring from phosphatidylinositol 3,4,5-trisphosphate, phosphatidylinositol 3,4-diphosphate, phosphatidylinositol 3- phosphate and inositol 1,3,4,5-tetrakisphosphate with order of substrate preference in vitro PtdIns(3,4,5)P3 > PtdIns(3,4)P2 > PtdIns3P > Ins(1,3,4,5)P4. The lipid phosphatase activity is critical for its tumor suppressor function. Antagonizes the PI3K- AKT/PKB signaling pathway by dephosphorylating phosphoinositides and thereby modulating cell cycle progression and cell survival. The unphosphorylated form cooperates with AIP1 to suppress AKT1 activation. Dephosphorylates tyrosine-phosphorylated focal adhesion kinase and inhibits cell migration and integrin-mediated cell spreading and focal adhesion formation. Plays a role as a key modulator of the AKT-mTOR signaling pathway controlling the tempo of the process of newborn neurons integration during adult neurogenesis, including correct neuron positioning, dendritic development and synapse formation. May be a negative regulator of insulin signaling and glucose metabolism in adipose tissue. The nuclear monoubiquitinated form possesses greater apoptotic potential, whereas the cytoplasmic nonubiquitinated form induces less tumor suppressive ability. In motile cells, suppresses the formation of lateral pseudopods and thereby promotes cell polarization and directed movement.
|
||
Summary |
PTEN, (phosphatase and tensin homolog deleted on chromosome 10), also known as MMAC1 (mutated in multiple advanced cancers 1), is a tumor suppressor implicated in a large number of human tumors. The PTEN phosphatase incorporates the catalytic motif (HCXXGXXRS/T) that is a signature of the protein tyrosine phosphatase family. Recombinant human PTEN is a dual phosphatase with ability to dephosphorylate both tyrosine and serine/threonine residues. PTEN functions primarily as a lipid phosphatase to regulate signal transduction pathways, with a primary target identified as phosphatidylinositol 3,4,5 trisphosphate. In addition, PTEN presents weak tyrosine phosphatase activity, which may downregulate signaling pathways involving focal adhesion kinase or Shc. PTEN negatively regulates activation of the serine/threonine kinase Akt/PKB by blocking its phosphorylation, thereby inhibiting the PI 3 kinase Akt signaling pathway, which is important for cell survival. In vivo, the majority of PTEN missense mutations detected in tumor specimens target the phosphatase domain and cause a loss in PTEN phosphatase activity. Mutations in PTEN are associated with several common cancers including prostate, brain and breast cancer, and with Cowden's disease, an autosomal dominant disorder conferring susceptibility to benign and malignant tumors. Germline mutations of PTEN are also linked Lhermitte-Duclos disease and Bannayan-Zonana syndrome. Mutations of PTEN occur in 60 to 80% of prostate cancers. PTEN is also essential for embryonic development.
|
||
Form |
Purified polyclonal antibody supplied in PBS with 0.09% (W/V) sodium azide. This antibody is prepared by Saturated Ammonium Sulfate (SAS) precipitation followed by dialysis against PBS. |
||
Storage & Stability |
Store at +4°C short term. For long-term storage, aliquot and store at -20°C or below. Stable for 12 months at -20°C. Avoid repeated freeze-thaw cycles.
|
||
Applications |
WB, IHC-P, IF, E
|
||
Dilution |
WB~~1:1000
IHC-P~~1:10~50
IF~~1:10~50
|
||
Synonyms |
Phosphatidylinositol 3, 5-trisphosphate 3-phosphatase and dual-specificity protein phosphatase PTEN, Mutated in multiple advanced cancers 1, Phosphatase and tensin homolog, PTEN, MMAC1, TEP1
|
||
Images |
Western blot analysis of PTEN (arrow) using rabbit PTEN Antibody (N-term) (Cat. APR10828G).293 cell lysates (2 ug/lane) either nontransfected (Lane 1) or transiently transfected with the PTEN gene (Lane 2) (Origene Technologies).
PTEN Antibody (N-term) (Cat. APR10828G) western blot analysis in HL-60 cell line lysates (35ug/lane).This demonstrates the PTEN antibody detected the PTEN protein (arrow).
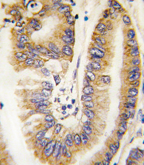
Formalin-fixed and paraffin-embedded human lung carcinoma tissue reacted with PTEN antibody (N-term) (Cat. APR10828G), which was peroxidase-conjugated to the secondary antibody, followed by DAB staining. This data demonstrates the use of this antibody for immunohistochemistry; clinical relevance has not been evaluated. |
||
Specification |
|||
Quantity |
|
||
| Select | Brand | Catalog No. | Product Name | Pack Size | Type | Field of Research | Specification | Quantity | Price(USD) | |
| 1 | Leading Biology | APR03440G | ITGA11 Antibody (N-term) | 100 μl | Polyclonal Antibodies |
|
$495.00 | Add Ask | ||
| 2 | Leading Biology | APR04537G | CMIP Antibody (C-term) | 100 μl | Polyclonal Antibodies |
|
$495.00 | Add Ask | ||
| 3 | Leading Biology | APR12422G | Human H4 Histamine Receptor (extracellular) Antibody | 50 μl | Polyclonal Antibodies |
|
$695.00 | Add Ask | ||
| 4 | Leading Biology | APR03844G | UBE2W Antibody (C-term) | 100 μl | Polyclonal Antibodies |
|
$495.00 | Add Ask | ||
| 5 | Leading Biology | APR04349G | HECTD2 Antibody (N-term) | 100 μl | Polyclonal Antibodies |
|
$495.00 | Add Ask | ||
| 6 | Leading Biology | APR03502G | IGHG1 Antibody (Center) | 100 μl | Polyclonal Antibodies |
|
$495.00 | Add Ask |
Leading Biology Inc.
2600 Hilltop DR, Building G, B Suite C138
Richmond, CA, 94806
Tel: 1-661-524(LBI)-0262
Email: info@leadingbiology.com
Complete this form and click send to ask us a question, request a quote or simply say hello.

You have 0 item in your cart

You have 0 item in your inquiry list