> Antigen, Antibodies, ELISA, Western Blot > Primary Antibody > Polyclonal Antibodies > ABCB11 Antibody (C-term)Brand |
Leading Biology | Catalog Number |
APR10814G |
Product Type |
Polyclonal Antibodies | Field of Research |
|
Product Overview |
We constantly strive to ensure we provide our customers with the best antibodies. As a result of this work we offer this antibody in purified format.
We are in the process of updating our datasheets. If you have any questions regarding this update, please feel free to contact our technical support team.
This product is a high quality ABCB11 antibody (C-term).
|
||
Molecular Weight |
146407 Da
|
||
Cellular Localization |
Antigen Cellular Localization:
Membrane; Multi-pass membrane protein.
|
||
Host |
Rabbit
|
||
Species Reactivity |
Human, Mouse
|
||
Immunogen |
1038-1067 aa
|
||
Target |
This ABCB11 antibody is generated from rabbits immunized with a KLH conjugated synthetic peptide between 1038-1067 amino acids from the C-terminal region of human ABCB11.
|
||
Isotype |
Rabbit Ig
|
||
Symbol |
BSEP
|
||
GeneID |
|||
UniProt ID |
|||
Function |
Involved in the ATP-dependent secretion of bile salts into the canaliculus of hepatocytes.
|
||
Summary |
ABCB11 is involved in the ATP-dependent secretion of bile salts into the canaliculus of hepatocytes. It is expressed predominatly, if not exclusively, in the liver, where it is further localized to the canilicular microvilli and to subcanilicular vesicles fo the hepatocytes. Structurally, ABCB11 is a multifunctional polypeptide with two homologus halves, each containing a hydrophobic membrane-anchoring domain and an ATP binding cassette (ABC) domain. Defects in ABCB11 are the cause of progressive familial intrahepatic cholestasis 2 (PFIC2). PFIC2 is an inherited liver disease of childhood which is characterized by cholestasis and normal serum gamma-glutamyltransferase activity. Defects in ABCB11 are also found in cases of chronic intrahepatic cholestasis without obvious familial history of chronic liver disease.
|
||
Form |
Purified polyclonal antibody supplied in PBS with 0.09% (W/V) sodium azide. This antibody is prepared by Saturated Ammonium Sulfate (SAS) precipitation followed by dialysis against PBS. |
||
Storage & Stability |
Store at +4°C short term. For long-term storage, aliquot and store at -20°C or below. Stable for 12 months at -20°C. Avoid repeated freeze-thaw cycles.
|
||
Applications |
WB, IHC-P, E
|
||
Dilution |
WB~~1:1000
IHC-P~~1:50~100
|
||
Synonyms |
Bile salt export pump, ATP-binding cassette sub-family B member 11, ABCB11, BSEP
|
||
Images |
The anti-ABCB11 C-term Pab (Cat. APR10814G) is used in Western blot to detect ABCB11 in mouse liver tissue lysate.
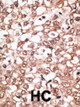
Formalin-fixed and paraffin-embedded human cancer tissue reacted with the primary antibody, which was peroxidase-conjugated to the secondary antibody, followed by AEC staining. This data demonstrates the use of this antibody for immunohistochemistry; clinical relevance has not been evaluated. BC = breast carcinoma; HC = hepatocarcinoma. |
||
Specification |
|||
Quantity |
|
||
| Select | Brand | Catalog No. | Product Name | Pack Size | Type | Field of Research | Specification | Quantity | Price(USD) | |
| 1 | Leading Biology | APR03440G | ITGA11 Antibody (N-term) | 100 μl | Polyclonal Antibodies |
|
$495.00 | Add Ask | ||
| 2 | Leading Biology | APR04537G | CMIP Antibody (C-term) | 100 μl | Polyclonal Antibodies |
|
$495.00 | Add Ask | ||
| 3 | Leading Biology | APR12422G | Human H4 Histamine Receptor (extracellular) Antibody | 50 μl | Polyclonal Antibodies |
|
$695.00 | Add Ask | ||
| 4 | Leading Biology | APR03844G | UBE2W Antibody (C-term) | 100 μl | Polyclonal Antibodies |
|
$495.00 | Add Ask | ||
| 5 | Leading Biology | APR04349G | HECTD2 Antibody (N-term) | 100 μl | Polyclonal Antibodies |
|
$495.00 | Add Ask | ||
| 6 | Leading Biology | APR03502G | IGHG1 Antibody (Center) | 100 μl | Polyclonal Antibodies |
|
$495.00 | Add Ask |
Leading Biology Inc.
2600 Hilltop DR, Building G, B Suite C138
Richmond, CA, 94806
Tel: 1-661-524(LBI)-0262
Email: info@leadingbiology.com
Complete this form and click send to ask us a question, request a quote or simply say hello.

You have 0 item in your cart

You have 0 item in your inquiry list