> Antigen, Antibodies, ELISA, Western Blot > Primary Antibody > Polyclonal Antibodies > APRT Antibody (N-term)Brand |
Leading Biology | Catalog Number |
APR10810G |
Product Type |
Polyclonal Antibodies | Field of Research |
|
Product Overview |
We constantly strive to ensure we provide our customers with the best antibodies. As a result of this work we offer this antibody in purified format.
We are in the process of updating our datasheets. If you have any questions regarding this update, please feel free to contact our technical support team.
This product is a high quality APRT antibody (N-term).
|
||
Molecular Weight |
19608 Da
|
||
Cellular Localization |
Antigen Cellular Localization:
Cytoplasm.
|
||
Host |
Rabbit
|
||
Species Reactivity |
Human
|
||
Immunogen |
12-40 aa
|
||
Target |
This APRT antibody is generated from rabbits immunized with a KLH conjugated synthetic peptide between 12-40 amino acids from the N-terminal region of human APRT.
|
||
Isotype |
Rabbit Ig
|
||
GeneID |
|||
UniProt ID |
|||
Function |
Catalyzes a salvage reaction resulting in the formation of AMP, that is energically less costly than de novo synthesis.
|
||
Summary |
A conserved feature of APRT is the distribution of CpG dinucleotides. This enzyme catalyzes the formation of AMP and inorganic pyrophosphate from adenine and 5-phosphoribosyl-1-pyrophosphate (PRPP). It also produces adenine as a by-product of the polyamine biosynthesis pathway. A homozygous deficiency in this enzyme causes 2,8-dihydroxyadenine urolithiasis.
|
||
Form |
Purified polyclonal antibody supplied in PBS with 0.09% (W/V) sodium azide. This antibody is purified through a protein A column, followed by peptide affinity purification. |
||
Storage & Stability |
Store at +4°C short term. For long-term storage, aliquot and store at -20°C or below. Stable for 12 months at -20°C. Avoid repeated freeze-thaw cycles.
|
||
Applications |
WB, IHC-P, IF, FC, E
|
||
Dilution |
WB~~1:1000
IF~~1:10~50
IHC-P~~1:10~50
FC~~1:10~50
|
||
Synonyms |
Adenine phosphoribosyltransferase, APRT, APRT
|
||
Images |
APRT Antibody (N-term) (Cat. APR10810G) western blot analysis in A2058 cell line lysates (35ug/lane).This demonstrates the APRT antibody detected the APRT protein (arrow).
Fluorescent image of A549 cell stained with APRT Antibody (N-term)( APR10810G/SA091009AF).A549 cells were fixed with 4% PFA (20 min), permeabilized with Triton X-100 (0.1%, 10 min), then incubated with APRT primary antibody (1:25, 1 h at 37℃). For secondary antibody, Alexa Fluor? 488 conjugated donkey anti-rabbit antibody (green) was used (1:400, 50 min at 37℃).Cytoplasmic actin was counterstained with Alexa Fluor? 555 (red) conjugated Phalloidin (7units/ml, 1 h at 37℃).APRT immunoreactivity is localized to Cytoplasm and Nucleus significantly.
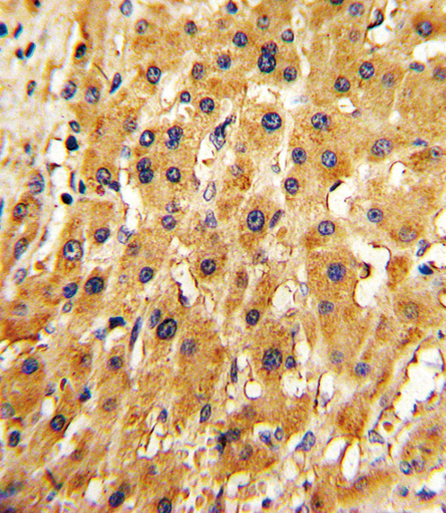
Formalin-fixed and paraffin-embedded human hepatocarcinoma with APRT Antibody (N-term), which was peroxidase-conjugated to the secondary antibody, followed by DAB staining. This data demonstrates the use of this antibody for immunohistochemistry; clinical relevance has not been evaluated. |
||
Specification |
|||
Quantity |
|
||
| Select | Brand | Catalog No. | Product Name | Pack Size | Type | Field of Research | Specification | Quantity | Price(USD) | |
| 1 | Leading Biology | APR03440G | ITGA11 Antibody (N-term) | 100 μl | Polyclonal Antibodies |
|
$495.00 | Add Ask | ||
| 2 | Leading Biology | APR04537G | CMIP Antibody (C-term) | 100 μl | Polyclonal Antibodies |
|
$495.00 | Add Ask | ||
| 3 | Leading Biology | APR12422G | Human H4 Histamine Receptor (extracellular) Antibody | 50 μl | Polyclonal Antibodies |
|
$695.00 | Add Ask | ||
| 4 | Leading Biology | APR03844G | UBE2W Antibody (C-term) | 100 μl | Polyclonal Antibodies |
|
$495.00 | Add Ask | ||
| 5 | Leading Biology | APR04349G | HECTD2 Antibody (N-term) | 100 μl | Polyclonal Antibodies |
|
$495.00 | Add Ask | ||
| 6 | Leading Biology | APR03502G | IGHG1 Antibody (Center) | 100 μl | Polyclonal Antibodies |
|
$495.00 | Add Ask |
Leading Biology Inc.
2600 Hilltop DR, Building G, B Suite C138
Richmond, CA, 94806
Tel: 1-661-524(LBI)-0262
Email: info@leadingbiology.com
Complete this form and click send to ask us a question, request a quote or simply say hello.

You have 0 item in your cart

You have 0 item in your inquiry list