> Antigen, Antibodies, ELISA, Western Blot > Primary Antibody > Monoclonal Antibodies > IL-3R beta Antibody (C-term)Brand |
Leading Biology | Catalog Number |
APR16823G |
Product Type |
Monoclonal Antibodies | Field of Research |
|
Product Overview |
We constantly strive to ensure we provide our customers with the best antibodies. As a result of this work we offer this antibody in purified format.
We are in the process of updating our datasheets. If you have any questions regarding this update, please feel free to contact our technical support team.
This product is a high quality IL-3R beta antibody (C-term).
|
||
Molecular Weight |
97336 Da
|
||
Cellular Localization |
Antigen Cellular Localization:
Membrane; Single-pass type I membrane protein
|
||
Host |
Rabbit
|
||
Species Reactivity |
Human
|
||
Target |
A synthetic peptide corresponding to residues in the C-terminus of human IL-3R Beta was used as an immunogen.
|
||
Clone |
EP1037Y
|
||
Symbol |
IL3RB, IL5RB
|
||
GeneID |
|||
UniProt ID |
|||
Function |
High affinity receptor for interleukin-3, interleukin-5 and granulocyte-macrophage colony-stimulating factor.
|
||
Summary |
Interleukin-3 receptor (IL-3R) is a heterodimer cytokine composed of alpha chain and beta chain. IL-3R beta subunit (CD131, beta C) is a common shared beta chain of the receptor for granulocyte- macrophage colony-stimulating factor (GM-CSF) and IL-5 (1). While the beta chain can not bind to the ligand alone, but it is essential for high affinity ligand binding (2). The cytoplasmic portion of the beta chain contains the major domains necessary for ligand-induced proliferation (3). IL-3R beta is expressed in neutrophil, eosinophil, monocyte, and hematpoietic stem cells. A point mutation leading to defective IL-3R beta expression has been associated to Human pulmonary alveolar proteinosis (PAP), a rare cause of respiratory failure (4).
|
||
Form |
50 mM Tris-Glycine (pH 7.4), 0.15 M NaCl, 40% Glycerol, 0.01% sodium azide and 0.05% BSA. |
||
Storage & Stability |
Store at +4°C short term. For long-term storage, aliquot and store at -20°C or below. Stable for 12 months at -20°C. Avoid repeated freeze-thaw cycles.
|
||
Applications |
WB, IHC
|
||
Dilution |
WB~~1:5000
IHC~~1:100~250
|
||
Synonyms |
Cytokine receptor common subunit beta, CDw131, GM-CSF/IL-3/IL-5 receptor common beta subunit, CD131, CSF2RB, IL3RB, IL5RB
|
||
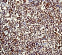
Images |
A. Western blot analysis on TF-1 cell lysate using anti-IL3-R RabMAb (Cat. APR16823G), dilution 1:5000
B. Immunohistochemical staining of paraffin-embedded human lymphoma using anti-IL3-R RabMAb (Cat. APR16823G). |
||
Specification |
|||
Quantity |
|
||
| Select | Brand | Catalog No. | Product Name | Pack Size | Type | Field of Research | Specification | Quantity | Price(USD) | |
| 1 | Leading Biology | APG02467G | CCK4 / PTK7 Antibody (clone 4F9) | 50 μl | Monoclonal Antibodies |
|
$495.00 | Add Ask | ||
| 2 | Leading Biology | AMM04683G | GALT Antibody (clone 4C11) | 50 μg | Monoclonal Antibodies |
|
$545.00 | Add Ask | ||
| 3 | Leading Biology | AMM01402G | Vimentin (Mesenchymal Cell Marker) Antibody - With BSA and Azide | 50 ug | Monoclonal Antibodies |
|
$395.00 | Add Ask | ||
| 4 | Leading Biology | APR08280G | LTA4H / LTA4 Antibody (clone 9G8) | 50 μl | Monoclonal Antibodies |
|
$495.00 | Add Ask | ||
| 5 | Leading Biology | AMM00172G | CD1a / HTA1 (Mature Langerhans Cells Marker) Antibody - With BSA and Azide | 50 ug | Monoclonal Antibodies |
|
$395.00 | Add Ask | ||
| 6 | Leading Biology | AMM05750G | CEBPA Antibody | 100 μl | Monoclonal Antibodies |
|
$545.00 | Add Ask |
Leading Biology Inc.
2600 Hilltop DR, Building G, B Suite C138
Richmond, CA, 94806
Tel: 1-661-524(LBI)-0262
Email: info@leadingbiology.com
Complete this form and click send to ask us a question, request a quote or simply say hello.

You have 0 item in your cart

You have 0 item in your inquiry list