> Antigen, Antibodies, ELISA, Western Blot > Primary Antibody > Polyclonal Antibodies > DIS3 AntibodyBrand |
Leading Biology | Catalog Number |
APR06820G |
Product Type |
Polyclonal Antibodies | Field of Research |
|
Product Overview |
We constantly strive to ensure we provide our customers with the best antibodies. As a result of this work we offer this antibody in purified format.
We are in the process of updating our datasheets. If you have any questions regarding this update, please feel free to contact our technical support team.
This product is a high quality DIS3 Antibody.
|
||
Molecular Weight |
Predicted: 105 kDa Observed: 103 kDa
|
||
Cellular Localization |
Antigen Cellular Localization:
Cytoplasm. Nucleus, nucleolus. Nucleus, nucleoplasm. Nucleus. Note=Predominantly located in the nucleus According to PubMed:12429849, found in the nucleolus and according to PubMed:20531386, excluded from nucleolus supporting the existence of a nucleolar RNA exosome complex devoid of DIS3
|
||
Host |
Rabbit
|
||
Species Reactivity |
Human, Mouse, Rat
|
||
Target |
DIS3; Multiple isoforms of DIS3 are known to exist.
|
||
Isotype |
IgG
|
||
Symbol |
KIAA1008, RRP44
|
||
GeneID |
|||
UniProt ID |
|||
Function |
Putative catalytic component of the RNA exosome complex which has 3'->5' exoribonuclease activity and participates in a multitude of cellular RNA processing and degradation events. In the nucleus, the RNA exosome complex is involved in proper maturation of stable RNA species such as rRNA, snRNA and snoRNA, in the elimination of RNA processing by-products and non-coding 'pervasive' transcripts, such as antisense RNA species and promoter-upstream transcripts (PROMPTs), and of mRNAs with processing defects, thereby limiting or excluding their export to the cytoplasm. The RNA exosome may be involved in Ig class switch recombination (CSR) and/or Ig variable region somatic hypermutation (SHM) by targeting AICDA deamination activity to transcribed dsDNA substrates. In the cytoplasm, the RNA exosome complex is involved in general mRNA turnover and specifically degrades inherently unstable mRNAs containing AU-rich elements (AREs) within their 3' untranslated regions, and in RNA surveillance pathways, preventing translation of aberrant mRNAs. It seems to be involved in degradation of histone mRNA. DIS3 has both 3'-5' exonuclease and endonuclease activities.
|
||
Summary |
DIS3 Antibody: The exosome is involved in a multitude of cellular RNA processing and degradation events. DIS3, also known as exosome complex exonuclease RRP44, is a ribonuclease that acts directly in the processing, turnover, and surveillance of a large number of distinct RNA species. DIS3 localizes to both the cytoplasm and the nucleus and contains one PINc domain. It is widely expressed with highest expression in testis and is required for processing of 7S pre-RNA into a mature nuclear complex and, ultimately, for proper mitotic progression. Abnormal expression levels of DIS3 may be associated with colon cancer, suggesting a role for DIS3 in tumorigenesis.
|
||
Storage & Stability |
Store at +4°C short term. For long-term storage, aliquot and store at -20°C or below. Stable for 12 months at -20°C. Avoid repeated freeze-thaw cycles.
|
||
Applications |
WB, IHC-P, IF, E
|
||
Images |
Western blot analysis of DIS3 in human ovary tissue lysate with DIS3 antibody at 1 μg/mL.
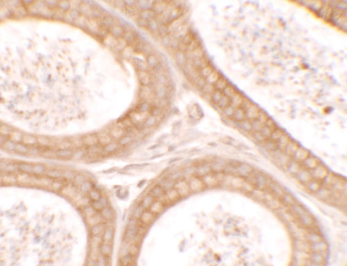
Immunohistochemistry of DIS3 in mouse testis tissue with DIS3 antibody at 2.5 μg/ml.
Immunofluorescence of DIS3 in mouse testis tissue with DIS3 antibody at 20 μg/ml. |
||
Specification |
|||
Quantity |
|
||
| Select | Brand | Catalog No. | Product Name | Pack Size | Type | Field of Research | Specification | Quantity | Price(USD) | |
| 1 | Leading Biology | APR03440G | ITGA11 Antibody (N-term) | 100 μl | Polyclonal Antibodies |
|
$495.00 | Add Ask | ||
| 2 | Leading Biology | APR04537G | CMIP Antibody (C-term) | 100 μl | Polyclonal Antibodies |
|
$495.00 | Add Ask | ||
| 3 | Leading Biology | APR12422G | Human H4 Histamine Receptor (extracellular) Antibody | 50 μl | Polyclonal Antibodies |
|
$695.00 | Add Ask | ||
| 4 | Leading Biology | APR03844G | UBE2W Antibody (C-term) | 100 μl | Polyclonal Antibodies |
|
$495.00 | Add Ask | ||
| 5 | Leading Biology | APR04349G | HECTD2 Antibody (N-term) | 100 μl | Polyclonal Antibodies |
|
$495.00 | Add Ask | ||
| 6 | Leading Biology | APR03502G | IGHG1 Antibody (Center) | 100 μl | Polyclonal Antibodies |
|
$495.00 | Add Ask |
Leading Biology Inc.
2600 Hilltop DR, Building G, B Suite C138
Richmond, CA, 94806
Tel: 1-661-524(LBI)-0262
Email: info@leadingbiology.com
Complete this form and click send to ask us a question, request a quote or simply say hello.

You have 0 item in your cart

You have 0 item in your inquiry list