> Antigen, Antibodies, ELISA, Western Blot > Primary Antibody > Polyclonal Antibodies > WAC AntibodyBrand |
Leading Biology | Catalog Number |
APR06814G |
Product Type |
Polyclonal Antibodies | Field of Research |
|
Product Overview |
We constantly strive to ensure we provide our customers with the best antibodies. As a result of this work we offer this antibody in purified format.
We are in the process of updating our datasheets. If you have any questions regarding this update, please feel free to contact our technical support team.
This product is a high quality WAC Antibody.
|
||
Molecular Weight |
Predicted: 71 kDa Observed: 75 kDa
|
||
Cellular Localization |
Antigen Cellular Localization:
Nucleus speckle. Nucleus. Note=In distinct nuclear speckles Colocalizes with pre-mRNA processing complexes (By similarity)
|
||
Host |
Rabbit
|
||
Species Reactivity |
Human, Mouse, Rat
|
||
Target |
WAC; At least two isoforms of WAC are known to exist; this antibody will detect the larger isoform.
|
||
Isotype |
IgG
|
||
Symbol |
KIAA1844
|
||
GeneID |
|||
UniProt ID |
|||
Function |
Acts as a linker between gene transcription and histone H2B monoubiquitination at 'Lys-120' (H2BK120ub1). Interacts with the RNA polymerase II transcriptional machinery via its WW domain and with RNF20-RNF40 via its coiled coil region, thereby linking and regulating H2BK120ub1 and gene transcription. Regulates the cell-cycle checkpoint activation in response to DNA damage. Positive regulator of amino acid starvation-induced autophagy. May negatively regulate the ubiquitin proteasome pathway.
|
||
Summary |
WAC Antibody: The WW domain containing adaptor with coiled-coil protein (WAC) contains a WW domain that mediates protein-protein interactions and colocalizes with RNA splicing factor SC35. Further studies have indicated that WAC is a functional partner of the RNF20/40 complex that ubiquitinates Histone H2B, and that WAC regulates H2B ubiquitination. WAC targets RNF20/40 to associate with RNA polymerase II complex for H2B ubiquitination at active transcription sites. WAC-dependent transcription is also important for cell-cycle checkpoint activation in response to genotoxic stress.
|
||
Storage & Stability |
Store at +4°C short term. For long-term storage, aliquot and store at -20°C or below. Stable for 12 months at -20°C. Avoid repeated freeze-thaw cycles.
|
||
Applications |
WB, IHC-P, IF, E
|
||
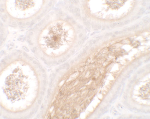
Images |
Western blot analysis of WAC in human testis tissue lysate with WAC antibody at 1 μg/mL.
Immunohistochemistry of WAC in mouse testis tissue with WAC antibody at 2.5 μg/ml.
Immunofluorescence of WAC in mouse testis tissue with WAC antibody at 5 μg/ml. |
||
Specification |
|||
Quantity |
|
||
| Select | Brand | Catalog No. | Product Name | Pack Size | Type | Field of Research | Specification | Quantity | Price(USD) | |
| 1 | Leading Biology | APR03440G | ITGA11 Antibody (N-term) | 100 μl | Polyclonal Antibodies |
|
$495.00 | Add Ask | ||
| 2 | Leading Biology | APR04537G | CMIP Antibody (C-term) | 100 μl | Polyclonal Antibodies |
|
$495.00 | Add Ask | ||
| 3 | Leading Biology | APR12422G | Human H4 Histamine Receptor (extracellular) Antibody | 50 μl | Polyclonal Antibodies |
|
$695.00 | Add Ask | ||
| 4 | Leading Biology | APR03844G | UBE2W Antibody (C-term) | 100 μl | Polyclonal Antibodies |
|
$495.00 | Add Ask | ||
| 5 | Leading Biology | APR04349G | HECTD2 Antibody (N-term) | 100 μl | Polyclonal Antibodies |
|
$495.00 | Add Ask | ||
| 6 | Leading Biology | APR03502G | IGHG1 Antibody (Center) | 100 μl | Polyclonal Antibodies |
|
$495.00 | Add Ask |
Leading Biology Inc.
2600 Hilltop DR, Building G, B Suite C138
Richmond, CA, 94806
Tel: 1-661-524(LBI)-0262
Email: info@leadingbiology.com
Complete this form and click send to ask us a question, request a quote or simply say hello.

You have 0 item in your cart

You have 0 item in your inquiry list