> Antigen, Antibodies, ELISA, Western Blot > Primary Antibody > Polyclonal Antibodies > AGR2 AntibodyBrand |
Leading Biology | Catalog Number |
APR06808G |
Product Type |
Polyclonal Antibodies | Field of Research |
|
Product Overview |
We constantly strive to ensure we provide our customers with the best antibodies. As a result of this work we offer this antibody in purified format.
We are in the process of updating our datasheets. If you have any questions regarding this update, please feel free to contact our technical support team.
This product is a high quality AGR2 Antibody.
|
||
Molecular Weight |
19 kDa
|
||
Cellular Localization |
Antigen Cellular Localization:
Secreted. Endoplasmic reticulum
|
||
Host |
Rabbit
|
||
Species Reactivity |
Human, Mouse
|
||
Target |
AGR2; Two isoforms of AGR2 exists as a result of alternative splicing event.
|
||
Isotype |
IgG
|
||
Symbol |
AG2
|
||
GeneID |
|||
UniProt ID |
|||
Function |
Required for MUC2 post-transcriptional synthesis and secretion. May play a role in the production of mucus by intestinal cells (By similarity). Proto-oncogene that may play a role in cell migration, cell differentiation and cell growth.
|
||
Summary |
AGR2 Antibody: AGR2 (anterior gradient protein 2) and AGR3 are members of the anterior gradient homolog family. They are secreted cytoplasmic proteins which are involved in metastasis induction and p53 tumour supressor inhibition. They may serve as molecular markers and potential therapeutic targets for hormone-responsive breast tumours. AGR2 is ubiquitously expressed with upregulated expression in prostate cancer, breast cancer, lung cancer, renal carcinomas and endometrial carcinomas. AGR2 expression is positively correlated with that of the estrogen receptor (ER) and is negatively correlated with that of the epidermal growth factor receptor (EGFR).
|
||
Storage & Stability |
Store at +4°C short term. For long-term storage, aliquot and store at -20°C or below. Stable for 12 months at -20°C. Avoid repeated freeze-thaw cycles.
|
||
Applications |
WB, IHC-P, IF, E
|
||
Images |
Western blot analysis of AGR2 in Hela cell lysate with AGR2 antibody at (A) 1 and (B) 2 μg/mL
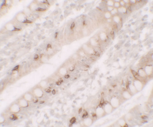
Immunohistochemistry of AGR2 in human small intestine tissue with AGR2 antibody at 5 μg/ml.
Immunofluorescence of AGR2 in human small intestine tissue with AGR2 antibody at 20 μg/ml. |
||
Specification |
|||
Quantity |
|
||
| Select | Brand | Catalog No. | Product Name | Pack Size | Type | Field of Research | Specification | Quantity | Price(USD) | |
| 1 | Leading Biology | APR03440G | ITGA11 Antibody (N-term) | 100 μl | Polyclonal Antibodies |
|
$495.00 | Add Ask | ||
| 2 | Leading Biology | APR04537G | CMIP Antibody (C-term) | 100 μl | Polyclonal Antibodies |
|
$495.00 | Add Ask | ||
| 3 | Leading Biology | APR12422G | Human H4 Histamine Receptor (extracellular) Antibody | 50 μl | Polyclonal Antibodies |
|
$695.00 | Add Ask | ||
| 4 | Leading Biology | APR03844G | UBE2W Antibody (C-term) | 100 μl | Polyclonal Antibodies |
|
$495.00 | Add Ask | ||
| 5 | Leading Biology | APR04349G | HECTD2 Antibody (N-term) | 100 μl | Polyclonal Antibodies |
|
$495.00 | Add Ask | ||
| 6 | Leading Biology | APR03502G | IGHG1 Antibody (Center) | 100 μl | Polyclonal Antibodies |
|
$495.00 | Add Ask |
Leading Biology Inc.
2600 Hilltop DR, Building G, B Suite C138
Richmond, CA, 94806
Tel: 1-661-524(LBI)-0262
Email: info@leadingbiology.com
Complete this form and click send to ask us a question, request a quote or simply say hello.

You have 0 item in your cart

You have 0 item in your inquiry list