> Antigen, Antibodies, ELISA, Western Blot > Primary Antibody > Polyclonal Antibodies > NALP7 AntibodyBrand |
Leading Biology | Catalog Number |
APR06669G |
Product Type |
Polyclonal Antibodies | Field of Research |
|
Product Overview |
We constantly strive to ensure we provide our customers with the best antibodies. As a result of this work we offer this antibody in purified format.
We are in the process of updating our datasheets. If you have any questions regarding this update, please feel free to contact our technical support team.
This product is a high quality NALP7 Antibody.
|
||
Molecular Weight |
111807 Da
|
||
Host |
Rabbit
|
||
Species Reactivity |
Human
|
||
Target |
NLRP7;
|
||
Isotype |
IgG
|
||
Symbol |
NALP7, NOD12, PYPAF3
|
||
GeneID |
|||
UniProt ID |
|||
Function |
Inhibits CASP1/caspase-1-dependent IL1B secretion.
|
||
Summary |
NALP7 Antibody: NOD proteins include the apoptosis regulator APAF1 (apoptotic protease activating factor 1) and mammalian NOD-LRR proteins. NALP7, also known as PYPAF3, a member of the related PYRIN-containing APAF1-like proteins (PYPAFs/NALPs) is thought to play a crucial role in cell proliferation. NALP7 has a C-terminal leucine-rich repeat (LRR) region, an N-terminal Pyrin domain (PYD) followed by a NACHT domain, and a NACHT-associated domain. It is expressed in numerous tissues including uterus and ovary, with low levels in heart and brain. NALP7 inhibits caspase-1-dependent interleukin-1β secretion and is a feedback regulator of interleukin-1β secretion. Defects in the NALP7 gene are known to cause the formation of a hydatidiform mole (HYDM) and reduce the growth of carcinoma cell lines.
|
||
Storage & Stability |
Store at +4°C short term. For long-term storage, aliquot and store at -20°C or below. Stable for 12 months at -20°C. Avoid repeated freeze-thaw cycles.
|
||
Applications |
WB, IHC-P, IF, E
|
||
Images |
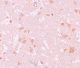
Immunohistochemistry of NALP7 in human brain tissue with NALP7 antibody at 10 μg/mL.
Immunofluorescence of NALP7 in human brain tissue with NALP7 antibody at 20 μg/mL.
Western blot analysis of NALP7 in K562 cell lysate with NALP7 antibody at 2 μg/mL in (A) the absence and (B) the presence of blocking peptide. |
||
Specification |
|||
Quantity |
|
||
| Select | Brand | Catalog No. | Product Name | Pack Size | Type | Field of Research | Specification | Quantity | Price(USD) | |
| 1 | Leading Biology | APR03440G | ITGA11 Antibody (N-term) | 100 μl | Polyclonal Antibodies |
|
$495.00 | Add Ask | ||
| 2 | Leading Biology | APR04537G | CMIP Antibody (C-term) | 100 μl | Polyclonal Antibodies |
|
$495.00 | Add Ask | ||
| 3 | Leading Biology | APR12422G | Human H4 Histamine Receptor (extracellular) Antibody | 50 μl | Polyclonal Antibodies |
|
$695.00 | Add Ask | ||
| 4 | Leading Biology | APR03844G | UBE2W Antibody (C-term) | 100 μl | Polyclonal Antibodies |
|
$495.00 | Add Ask | ||
| 5 | Leading Biology | APR04349G | HECTD2 Antibody (N-term) | 100 μl | Polyclonal Antibodies |
|
$495.00 | Add Ask | ||
| 6 | Leading Biology | APR03502G | IGHG1 Antibody (Center) | 100 μl | Polyclonal Antibodies |
|
$495.00 | Add Ask |
Leading Biology Inc.
2600 Hilltop DR, Building G, B Suite C138
Richmond, CA, 94806
Tel: 1-661-524(LBI)-0262
Email: info@leadingbiology.com
Complete this form and click send to ask us a question, request a quote or simply say hello.

You have 0 item in your cart

You have 0 item in your inquiry list