> Antigen, Antibodies, ELISA, Western Blot > Primary Antibody > Polyclonal Antibodies > CCDC106 AntibodyBrand |
Leading Biology | Catalog Number |
APR06654G |
Product Type |
Polyclonal Antibodies | Field of Research |
|
Product Overview |
We constantly strive to ensure we provide our customers with the best antibodies. As a result of this work we offer this antibody in purified format.
We are in the process of updating our datasheets. If you have any questions regarding this update, please feel free to contact our technical support team.
This product is a high quality CCDC106 Antibody.
|
||
Molecular Weight |
32032 Da
|
||
Cellular Localization |
Antigen Cellular Localization:
Nucleus. Note=Colocalizes with p53/TP53
|
||
Host |
Rabbit
|
||
Species Reactivity |
Human, Mouse, Rat
|
||
Target |
CCDC106;
|
||
Isotype |
IgG
|
||
GeneID |
|||
UniProt ID |
|||
Function |
Promotes the degradation of p53/TP53 protein and inhibits its transactivity.
|
||
Summary |
CCDC106 Antibody: The coiled-coil domain is a common protein motif that is often involved in protein oligomerization and is found in proteins such as transcription factors and intermediate filaments. CCDC106 was initially identified as a p53-interacting protein by yeast two-hybrid screening. Other experiments demonstrated that CCDC106 co-localizes and interacts with p53 in the nucleus, inhibiting the transcriptional activity of p53 and stimulating p53 protein degradation, indicating that at least one of the functions of CCDC106 is acting as a negative regulator of p53.
|
||
Storage & Stability |
Store at +4°C short term. For long-term storage, aliquot and store at -20°C or below. Stable for 12 months at -20°C. Avoid repeated freeze-thaw cycles.
|
||
Applications |
WB, IHC-P, IF, E
|
||
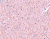
Images |
Western blot analysis of CCDC106 in human brain tissue lysate with CCDC106 antibody at (A) 0.5 and (B) 1 μg/mL.
Immunohistochemistry of CCDC106 in rat brain tissue with CCDC106 antibody at 5 μg/mL.
Immunofluorescence of CCDC106 in rat brain tissue with CCDC106 antibody at 20 μg/mL. |
||
Specification |
|||
Quantity |
|
||
| Select | Brand | Catalog No. | Product Name | Pack Size | Type | Field of Research | Specification | Quantity | Price(USD) | |
| 1 | Leading Biology | APR03440G | ITGA11 Antibody (N-term) | 100 μl | Polyclonal Antibodies |
|
$495.00 | Add Ask | ||
| 2 | Leading Biology | APR04537G | CMIP Antibody (C-term) | 100 μl | Polyclonal Antibodies |
|
$495.00 | Add Ask | ||
| 3 | Leading Biology | APR12422G | Human H4 Histamine Receptor (extracellular) Antibody | 50 μl | Polyclonal Antibodies |
|
$695.00 | Add Ask | ||
| 4 | Leading Biology | APR03844G | UBE2W Antibody (C-term) | 100 μl | Polyclonal Antibodies |
|
$495.00 | Add Ask | ||
| 5 | Leading Biology | APR04349G | HECTD2 Antibody (N-term) | 100 μl | Polyclonal Antibodies |
|
$495.00 | Add Ask | ||
| 6 | Leading Biology | APR03502G | IGHG1 Antibody (Center) | 100 μl | Polyclonal Antibodies |
|
$495.00 | Add Ask |
Leading Biology Inc.
2600 Hilltop DR, Building G, B Suite C138
Richmond, CA, 94806
Tel: 1-661-524(LBI)-0262
Email: info@leadingbiology.com
Complete this form and click send to ask us a question, request a quote or simply say hello.

You have 0 item in your cart

You have 0 item in your inquiry list