> Antigen, Antibodies, ELISA, Western Blot > Primary Antibody > Polyclonal Antibodies > CAZIP AntibodyBrand |
Leading Biology | Catalog Number |
APR06609G |
Product Type |
Polyclonal Antibodies | Field of Research |
|
Product Overview |
We constantly strive to ensure we provide our customers with the best antibodies. As a result of this work we offer this antibody in purified format.
We are in the process of updating our datasheets. If you have any questions regarding this update, please feel free to contact our technical support team.
This product is a high quality CAZIP Antibody.
|
||
Molecular Weight |
150195 Da
|
||
Cellular Localization |
Antigen Cellular Localization:
Cytoplasm, cytoskeleton. Note=Associated with the microtubule network at the growing distal tip (the plus-end) of microtubules
|
||
Host |
Rabbit
|
||
Species Reactivity |
Human, Mouse
|
||
Target |
MTUS2;
|
||
Isotype |
IgG
|
||
Symbol |
CAZIP, KIAA0774, TIP150
|
||
GeneID |
|||
UniProt ID |
|||
Function |
Binds microtubules. Together with MAPRE1 may target the microtubule depolymerase KIF2C to the plus-end of microtubules. May regulate the dynamics of microtubules at their growing distal tip.
|
||
Summary |
CAZIP Antibody: CAZIP, also known as TIP150, contains a leucine-zipper domain at the C-terminus and has at least three isoforms. CAZIP is expressed in heart during early cardiac development and in parts of the nervous system in later embryonic development. It is thought to bind microtubules and facilitate the end-binding protein 1 (EB1)-dependent loading of MCAK onto microtubules plus ends and orchestrates the dynamics at the plus end of microtubules. CAZIP may regulate the dynamics of microtubules at their growing distal tip.
|
||
Storage & Stability |
Store at +4°C short term. For long-term storage, aliquot and store at -20°C or below. Stable for 12 months at -20°C. Avoid repeated freeze-thaw cycles.
|
||
Applications |
WB, IHC-P, IF, E
|
||
Images |
Western blot analysis of CAZIP in A20 cell lysate with CAZIP antibody at (A) 0.5 and (B) 1 μg/mL.
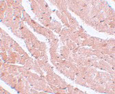
Immunohistochemistry of CAZIP in mouse heart tissue with CAZIP antibody at 5 μg/mL.
Immunofluorescence of CAZIP in mouse heart tissue with CAZIP antibody at 20 μg/mL. |
||
Specification |
|||
Quantity |
|
||
| Select | Brand | Catalog No. | Product Name | Pack Size | Type | Field of Research | Specification | Quantity | Price(USD) | |
| 1 | Leading Biology | APR03440G | ITGA11 Antibody (N-term) | 100 μl | Polyclonal Antibodies |
|
$495.00 | Add Ask | ||
| 2 | Leading Biology | APR04537G | CMIP Antibody (C-term) | 100 μl | Polyclonal Antibodies |
|
$495.00 | Add Ask | ||
| 3 | Leading Biology | APR12422G | Human H4 Histamine Receptor (extracellular) Antibody | 50 μl | Polyclonal Antibodies |
|
$695.00 | Add Ask | ||
| 4 | Leading Biology | APR03844G | UBE2W Antibody (C-term) | 100 μl | Polyclonal Antibodies |
|
$495.00 | Add Ask | ||
| 5 | Leading Biology | APR04349G | HECTD2 Antibody (N-term) | 100 μl | Polyclonal Antibodies |
|
$495.00 | Add Ask | ||
| 6 | Leading Biology | APR03502G | IGHG1 Antibody (Center) | 100 μl | Polyclonal Antibodies |
|
$495.00 | Add Ask |
Leading Biology Inc.
2600 Hilltop DR, Building G, B Suite C138
Richmond, CA, 94806
Tel: 1-661-524(LBI)-0262
Email: info@leadingbiology.com
Complete this form and click send to ask us a question, request a quote or simply say hello.

You have 0 item in your cart

You have 0 item in your inquiry list