> Antigen, Antibodies, ELISA, Western Blot > Primary Antibody > Polyclonal Antibodies > BFAR AntibodyBrand |
Leading Biology | Catalog Number |
APR06603G |
Product Type |
Polyclonal Antibodies | Field of Research |
|
Product Overview |
We constantly strive to ensure we provide our customers with the best antibodies. As a result of this work we offer this antibody in purified format.
We are in the process of updating our datasheets. If you have any questions regarding this update, please feel free to contact our technical support team.
This product is a high quality BFAR Antibody.
|
||
Molecular Weight |
52738 Da
|
||
Cellular Localization |
Antigen Cellular Localization:
Endoplasmic reticulum membrane; Multi- pass membrane protein
|
||
Host |
Rabbit
|
||
Species Reactivity |
Human, Mouse, Rat
|
||
Target |
BFAR;
|
||
Isotype |
IgG
|
||
Symbol |
BAR, RNF47
|
||
GeneID |
|||
UniProt ID |
|||
Function |
Apoptosis regulator. Has anti-apoptotic activity, both for apoptosis triggered via death-receptors and via mitochondrial factors.
|
||
Summary |
BFAR Antibody: The bifunctional apoptosis inhibitor (BFAR) is scaffold protein that integrates signaling components of the cells apoptosis-regulatory machinery. BFAR is a multidomain protein capable of inhibiting apoptosis induced by TNF-family death receptors ('extrinsic pathway') as well as mitochondria-dependent apoptosis ('intrinsic pathway'). Interaction of BFAR with Bcl-2 or Bcl-XL via a SAM domain may contribute to the anti-apoptotic properties of BFAR. In addition, BFAR contains a DED-like domain that is capable of suppressing apoptosis mediated at the receptor level. BFAR is also thought to be involved in the regulation of neuronal survival.
|
||
Storage & Stability |
Store at +4°C short term. For long-term storage, aliquot and store at -20°C or below. Stable for 12 months at -20°C. Avoid repeated freeze-thaw cycles.
|
||
Applications |
WB, IHC-P, IF, E
|
||
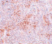
Images |
Western blot analysis of BFAR in human kidney tissue lysate with BFAR antibody at (A) 1 and (B) 2 μg/mL.
Immunohistochemistry of BFAR in mouse kidney tissue with BFAR antibody at 5 μg/mL.
Immunofluorescence of BFAR in mouse kidney tissue with BFAR antibody at 20 μg/mL. |
||
Specification |
|||
Quantity |
|
||
| Select | Brand | Catalog No. | Product Name | Pack Size | Type | Field of Research | Specification | Quantity | Price(USD) | |
| 1 | Leading Biology | APR03440G | ITGA11 Antibody (N-term) | 100 μl | Polyclonal Antibodies |
|
$495.00 | Add Ask | ||
| 2 | Leading Biology | APR04537G | CMIP Antibody (C-term) | 100 μl | Polyclonal Antibodies |
|
$495.00 | Add Ask | ||
| 3 | Leading Biology | APR12422G | Human H4 Histamine Receptor (extracellular) Antibody | 50 μl | Polyclonal Antibodies |
|
$695.00 | Add Ask | ||
| 4 | Leading Biology | APR03844G | UBE2W Antibody (C-term) | 100 μl | Polyclonal Antibodies |
|
$495.00 | Add Ask | ||
| 5 | Leading Biology | APR04349G | HECTD2 Antibody (N-term) | 100 μl | Polyclonal Antibodies |
|
$495.00 | Add Ask | ||
| 6 | Leading Biology | APR03502G | IGHG1 Antibody (Center) | 100 μl | Polyclonal Antibodies |
|
$495.00 | Add Ask |
Leading Biology Inc.
2600 Hilltop DR, Building G, B Suite C138
Richmond, CA, 94806
Tel: 1-661-524(LBI)-0262
Email: info@leadingbiology.com
Complete this form and click send to ask us a question, request a quote or simply say hello.

You have 0 item in your cart

You have 0 item in your inquiry list