> Antigen, Antibodies, ELISA, Western Blot > Primary Antibody > Polyclonal Antibodies > FRMPD3 AntibodyBrand |
Leading Biology | Catalog Number |
APR06578G |
Product Type |
Polyclonal Antibodies | Field of Research |
|
Product Overview |
We constantly strive to ensure we provide our customers with the best antibodies. As a result of this work we offer this antibody in purified format.
We are in the process of updating our datasheets. If you have any questions regarding this update, please feel free to contact our technical support team.
This product is a high quality FRMPD3 Antibody.
|
||
Molecular Weight |
199209 Da
|
||
Host |
Rabbit
|
||
Species Reactivity |
Human, Mouse
|
||
Target |
FRMPD3;
|
||
Isotype |
IgG
|
||
Symbol |
KIAA1817
|
||
GeneID |
|||
UniProt ID |
|||
Summary |
FRMPD3 Antibody: The FERM and PDZ domain containing (FRMPD) protein family consists of four proteins that contain a FERM (Four-point-one, erzin, radixin, moesin) domain and at least one PDZ (PSD-95/Discs large/Zonula-occuldens-1) domain. Unlike other members of the FRMPD family, FRMPD3 has no known function. It is most similar to FRMPD4, which is highly expressed in multiple regions of the brain and enriched in the postsynaptic density (PSD) fractions, it is possible that FRMPD3 also interacts with other PDZ domain-containing proteins in neural cells.
|
||
Storage & Stability |
Store at +4°C short term. For long-term storage, aliquot and store at -20°C or below. Stable for 12 months at -20°C. Avoid repeated freeze-thaw cycles.
|
||
Applications |
WB, IHC-P, IF, E
|
||
Images |
Western blot analysis of FRMPD3 in Jurkat cell lysate with FRMPD3 antibody at (A) 1 and (B) 2 μg/mL.
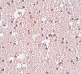
Immunohistochemistry of FRMPD3 in human brain tissue with FRMPD3 antibody at 5 μg/mL.
Immunofluorescence of FRMPD3 in rat brain tissue with FRMPD3 antibody at 20 μg/mL. |
||
Specification |
|||
Quantity |
|
||
| Select | Brand | Catalog No. | Product Name | Pack Size | Type | Field of Research | Specification | Quantity | Price(USD) | |
| 1 | Leading Biology | APR03440G | ITGA11 Antibody (N-term) | 100 μl | Polyclonal Antibodies |
|
$495.00 | Add Ask | ||
| 2 | Leading Biology | APR04537G | CMIP Antibody (C-term) | 100 μl | Polyclonal Antibodies |
|
$495.00 | Add Ask | ||
| 3 | Leading Biology | APR12422G | Human H4 Histamine Receptor (extracellular) Antibody | 50 μl | Polyclonal Antibodies |
|
$695.00 | Add Ask | ||
| 4 | Leading Biology | APR03844G | UBE2W Antibody (C-term) | 100 μl | Polyclonal Antibodies |
|
$495.00 | Add Ask | ||
| 5 | Leading Biology | APR04349G | HECTD2 Antibody (N-term) | 100 μl | Polyclonal Antibodies |
|
$495.00 | Add Ask | ||
| 6 | Leading Biology | APR03502G | IGHG1 Antibody (Center) | 100 μl | Polyclonal Antibodies |
|
$495.00 | Add Ask |
Leading Biology Inc.
2600 Hilltop DR, Building G, B Suite C138
Richmond, CA, 94806
Tel: 1-661-524(LBI)-0262
Email: info@leadingbiology.com
Complete this form and click send to ask us a question, request a quote or simply say hello.

You have 0 item in your cart

You have 0 item in your inquiry list