> Antigen, Antibodies, ELISA, Western Blot > Primary Antibody > Polyclonal Antibodies > TREX1 AntibodyBrand |
Leading Biology | Catalog Number |
APR06519G |
Product Type |
Polyclonal Antibodies | Field of Research |
|
Product Overview |
We constantly strive to ensure we provide our customers with the best antibodies. As a result of this work we offer this antibody in purified format.
We are in the process of updating our datasheets. If you have any questions regarding this update, please feel free to contact our technical support team.
This product is a high quality TREX1 Antibody.
|
||
Molecular Weight |
Predicted: 33, 35, 41 kDa Observed: 31 kDa
|
||
Cellular Localization |
Antigen Cellular Localization:
Nucleus. Cytoplasm, cytosol. Endoplasmic reticulum membrane; Peripheral membrane protein. Note=Retained in the cytoplasm through the C-terminal region (By similarity). In response to DNA damage, translocates to the nucleus where it is specifically recruited to replication foci. Translocation to the nucleus also occurs during GZMA-mediated cell death
|
||
Host |
Rabbit
|
||
Species Reactivity |
Human, Mouse, Rat
|
||
Target |
TREX1; TREX1 antibody will not cross-react with the related protein TREX2. At least three isoforms of TREX1 are known to exist; this antibody will recognize all three isoforms.
|
||
Isotype |
IgG
|
||
GeneID |
|||
UniProt ID |
|||
Function |
Major cellular 3'-to-5' DNA exonuclease which digests single-stranded DNA (ssDNA) and double-stranded DNA (dsDNA) with mismatched 3' termini. Prevents cell-intrinsic initiation of autoimmunity. Acts by metabolizing DNA fragments from endogenous retroelements, including L1, LTR and SINE elements. Unless degraded, these DNA fragments accumulate in the cytosol and activate the IFN-stimulatory DNA (ISD) response and innate immune signaling. Prevents chronic ATM-dependent checkpoint activation, by processing ssDNA polynucleotide species arising from the processing of aberrant DNA replication intermediates. Inefficiently degrades oxidized DNA, such as that generated upon antimicrobial reactive oxygen production or upon absorption of UV light. During GZMA-mediated cell death, contributes to DNA damage in concert with NME1. NME1 nicks one strand of DNA and TREX1 removes bases from the free 3' end to enhance DNA damage and prevent DNA end reannealing and rapid repair.
|
||
Summary |
TREX1 Antibody: Trex1 is the major human 3' to 5' exonuclease which is required for checkpoint signaling after DNA damage. It is ubiquitously expressed, binds to single stranded DNA coated with replication protein A that accumulates at sites of DNA damage and recruits the ataxia telangiectasia and Rad3 related protein (ATR), a checkpoint kinase, to sites of DNA damage and replication stress. Trex1 is required for ATR expression. This gene uses two different open reading frames. The upstream ORF encodes proteins which interact with ATR and localize to intranuclear foci induced by DNA damage and are essential components of the DNA damage checkpoint. The downstream ORF encodes proteins with 3' to 5' exonuclease activity and may be a subunit of human DNA polymerase III. Mutations in this gene result in Aicardi-Goutieres syndrome, chilblain lupus, and Cree encephalitis.
|
||
Storage & Stability |
Store at +4°C short term. For long-term storage, aliquot and store at -20°C or below. Stable for 12 months at -20°C. Avoid repeated freeze-thaw cycles.
|
||
Applications |
WB, IHC-P, IF, E
|
||
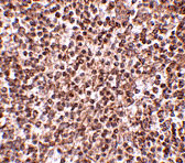
Images |
Western blot analysis of TREX1 in human spleen tissue lysate with TREX1 antibody at (A) 0.5 and (B) 1 μg/mL.
Immunohistochemistry of TREX1 in human spleen tissue with TREX1 antibody at 2.5 μg/mL.
Immunofluorescence of TREX1 in Human Spleen tissue with TREX1 antibody at 20 μgg/mL. |
||
Specification |
|||
Quantity |
|
||
| Select | Brand | Catalog No. | Product Name | Pack Size | Type | Field of Research | Specification | Quantity | Price(USD) | |
| 1 | Leading Biology | APR03440G | ITGA11 Antibody (N-term) | 100 μl | Polyclonal Antibodies |
|
$495.00 | Add Ask | ||
| 2 | Leading Biology | APR04537G | CMIP Antibody (C-term) | 100 μl | Polyclonal Antibodies |
|
$495.00 | Add Ask | ||
| 3 | Leading Biology | APR12422G | Human H4 Histamine Receptor (extracellular) Antibody | 50 μl | Polyclonal Antibodies |
|
$695.00 | Add Ask | ||
| 4 | Leading Biology | APR03844G | UBE2W Antibody (C-term) | 100 μl | Polyclonal Antibodies |
|
$495.00 | Add Ask | ||
| 5 | Leading Biology | APR04349G | HECTD2 Antibody (N-term) | 100 μl | Polyclonal Antibodies |
|
$495.00 | Add Ask | ||
| 6 | Leading Biology | APR03502G | IGHG1 Antibody (Center) | 100 μl | Polyclonal Antibodies |
|
$495.00 | Add Ask |
Leading Biology Inc.
2600 Hilltop DR, Building G, B Suite C138
Richmond, CA, 94806
Tel: 1-661-524(LBI)-0262
Email: info@leadingbiology.com
Complete this form and click send to ask us a question, request a quote or simply say hello.

You have 0 item in your cart

You have 0 item in your inquiry list