> Antigen, Antibodies, ELISA, Western Blot > Primary Antibody > Polyclonal Antibodies > Wnt10a AntibodyBrand |
Leading Biology | Catalog Number |
APR06483G |
Product Type |
Polyclonal Antibodies | Field of Research |
|
Product Overview |
We constantly strive to ensure we provide our customers with the best antibodies. As a result of this work we offer this antibody in purified format.
We are in the process of updating our datasheets. If you have any questions regarding this update, please feel free to contact our technical support team.
This product is a high quality Wnt10a Antibody.
|
||
Molecular Weight |
Predicted: 46 kDa Observed: 46 kDa
|
||
Cellular Localization |
Antigen Cellular Localization:
Secreted, extracellular space, extracellular matrix
|
||
Host |
Rabbit
|
||
Species Reactivity |
Human, Mouse, Rat
|
||
Target |
WNT10A; This Wnt10a antibody is predicted to not cross-react with Wnt10b.
|
||
Isotype |
IgG
|
||
GeneID |
|||
UniProt ID |
|||
Function |
Ligand for members of the frizzled family of seven transmembrane receptors. Probable developmental protein. May be a signaling molecule important in CNS development. Is likely to signal over only few cell diameters.
|
||
Summary |
Wnt10a Antibody: Wnt10a is a member of the Wnt family, a gene family that encodes secreted signaling proteins that play crucial roles in normal development such as regulation of cell fate and patterning during embryogenesis as well as neoplastic transformation. Elevated levels of Wnt10a have been detected in several human tumors and cancer cell lines including colorectal cancer and chronic lymphocytic leukemia and it has been suggested that uncontrolled Wnt signaling may contribute to the defect in apoptosis that characterizes these malignancies. Recently, a mutation in Wnt10a was found to be associated with odonto-onycho-dermal dysplasia, an autosomal recessive ectodermal dysplasia.
|
||
Storage & Stability |
Store at +4°C short term. For long-term storage, aliquot and store at -20°C or below. Stable for 12 months at -20°C. Avoid repeated freeze-thaw cycles.
|
||
Applications |
WB, IHC-P, IF, E
|
||
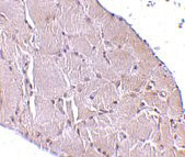
Images |
Western blot analysis of Wnt10a in RAW264.7 cell lysate with Wnt10a antibody at (A) 1 and (B) 2 μg/mL.
Immunohistochemistry of Wnt10a in human skeletal muscle tissue with Wnt10a antibody at 10 μg/mL.
Immunofluorescence of Wnt10a in Human Skeletal Muscle tissue with Wnt10a antibody at 20 μg/mL. |
||
Specification |
|||
Quantity |
|
||
| Select | Brand | Catalog No. | Product Name | Pack Size | Type | Field of Research | Specification | Quantity | Price(USD) | |
| 1 | Leading Biology | APR03440G | ITGA11 Antibody (N-term) | 100 μl | Polyclonal Antibodies |
|
$495.00 | Add Ask | ||
| 2 | Leading Biology | APR04537G | CMIP Antibody (C-term) | 100 μl | Polyclonal Antibodies |
|
$495.00 | Add Ask | ||
| 3 | Leading Biology | APR12422G | Human H4 Histamine Receptor (extracellular) Antibody | 50 μl | Polyclonal Antibodies |
|
$695.00 | Add Ask | ||
| 4 | Leading Biology | APR03844G | UBE2W Antibody (C-term) | 100 μl | Polyclonal Antibodies |
|
$495.00 | Add Ask | ||
| 5 | Leading Biology | APR04349G | HECTD2 Antibody (N-term) | 100 μl | Polyclonal Antibodies |
|
$495.00 | Add Ask | ||
| 6 | Leading Biology | APR03502G | IGHG1 Antibody (Center) | 100 μl | Polyclonal Antibodies |
|
$495.00 | Add Ask |
Leading Biology Inc.
2600 Hilltop DR, Building G, B Suite C138
Richmond, CA, 94806
Tel: 1-661-524(LBI)-0262
Email: info@leadingbiology.com
Complete this form and click send to ask us a question, request a quote or simply say hello.

You have 0 item in your cart

You have 0 item in your inquiry list