> Antigen, Antibodies, ELISA, Western Blot > Primary Antibody > Polyclonal Antibodies > AIFM3 AntibodyBrand |
Leading Biology | Catalog Number |
APR06478G |
Product Type |
Polyclonal Antibodies | Field of Research |
|
Product Overview |
We constantly strive to ensure we provide our customers with the best antibodies. As a result of this work we offer this antibody in purified format.
We are in the process of updating our datasheets. If you have any questions regarding this update, please feel free to contact our technical support team.
This product is a high quality AIFM3 Antibody.
|
||
Molecular Weight |
66791 Da
|
||
Cellular Localization |
Antigen Cellular Localization:
Mitochondrion. Note=Does not translocate to the nucleus upon induction of apoptosis
|
||
Host |
Rabbit
|
||
Species Reactivity |
Human, Mouse, Rat
|
||
Target |
AIFM3;
|
||
Isotype |
IgG
|
||
Symbol |
AIFL
|
||
GeneID |
|||
UniProt ID |
|||
Function |
Induces apoptosis through a caspase dependent pathway. Reduces mitochondrial membrane potential.
|
||
Summary |
AIFM3 Antibody: Apoptosis, also known as programmed cell death, plays major roles in development and normal tissue turnover in addition to tumor formation. Recently a protein similar to the apoptosis-inducing factor (AIF) was cloned and designated AIFL (also known as AIFM3). AIFM3 is expressed ubiquitously and is predominantly localized to the inner membranes of mitochondria. Unlike AIF, AIFM3 does not translocate to the nucleus upon induction of apoptosis. However, overexpression of AIFM3, like AIF, induced cytochrome c release from the mitochondria, cleavage of caspase 3, and ultimately apoptosis, indicating AIFM3 induces apoptosis through caspase activation. Multiple isoforms of AIFM3 are known to exist.
|
||
Storage & Stability |
Store at +4°C short term. For long-term storage, aliquot and store at -20°C or below. Stable for 12 months at -20°C. Avoid repeated freeze-thaw cycles.
|
||
Applications |
WB, IHC-P, IF, E
|
||
Images |
Western blot analysis of NIPSNAP in human brain tissue lysate with NIPSNAP antibody at (A) 0.5 and (B) 1 μg/mL.
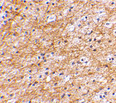
Immunohistochemical staining of human brain tissue using AIFM3 antibody at 2.5 μg/mL.
Immunofluorescence of AIFM3 in human brain tissue with AIFM3 antibody at 20 μg/mL. |
||
Specification |
|||
Quantity |
|
||
| Select | Brand | Catalog No. | Product Name | Pack Size | Type | Field of Research | Specification | Quantity | Price(USD) | |
| 1 | Leading Biology | APR03440G | ITGA11 Antibody (N-term) | 100 μl | Polyclonal Antibodies |
|
$495.00 | Add Ask | ||
| 2 | Leading Biology | APR04537G | CMIP Antibody (C-term) | 100 μl | Polyclonal Antibodies |
|
$495.00 | Add Ask | ||
| 3 | Leading Biology | APR12422G | Human H4 Histamine Receptor (extracellular) Antibody | 50 μl | Polyclonal Antibodies |
|
$695.00 | Add Ask | ||
| 4 | Leading Biology | APR03844G | UBE2W Antibody (C-term) | 100 μl | Polyclonal Antibodies |
|
$495.00 | Add Ask | ||
| 5 | Leading Biology | APR04349G | HECTD2 Antibody (N-term) | 100 μl | Polyclonal Antibodies |
|
$495.00 | Add Ask | ||
| 6 | Leading Biology | APR03502G | IGHG1 Antibody (Center) | 100 μl | Polyclonal Antibodies |
|
$495.00 | Add Ask |
Leading Biology Inc.
2600 Hilltop DR, Building G, B Suite C138
Richmond, CA, 94806
Tel: 1-661-524(LBI)-0262
Email: info@leadingbiology.com
Complete this form and click send to ask us a question, request a quote or simply say hello.

You have 0 item in your cart

You have 0 item in your inquiry list