> Antigen, Antibodies, ELISA, Western Blot > Primary Antibody > Polyclonal Antibodies > TWEAK AntibodyBrand |
Leading Biology | Catalog Number |
APR06401G |
Product Type |
Polyclonal Antibodies | Field of Research |
|
Product Overview |
We constantly strive to ensure we provide our customers with the best antibodies. As a result of this work we offer this antibody in purified format.
We are in the process of updating our datasheets. If you have any questions regarding this update, please feel free to contact our technical support team.
This product is a high quality TWEAK Antibody.
|
||
Molecular Weight |
Predicted: 27 kDa
|
||
Cellular Localization |
Antigen Cellular Localization:
Cell membrane; Single-pass type II membrane protein Isoform TWE-PRIL: Cell membrane; Single-pass membrane protein
|
||
Host |
Rabbit
|
||
Species Reactivity |
Human, Mouse, Rat
|
||
Target |
TNFSF12;
|
||
Isotype |
IgG
|
||
Symbol |
APO3L, DR3LG
|
||
GeneID |
|||
UniProt ID |
|||
Function |
Binds to FN14 and possibly also to TNRFSF12/APO3. Weak inducer of apoptosis in some cell types. Mediates NF-kappa-B activation. Promotes angiogenesis and the proliferation of endothelial cells. Also involved in induction of inflammatory cytokines. Promotes IL8 secretion.
|
||
Summary |
TWEAK Antibody: TNF-related weak inducer of apoptosis (TWEAK) is a member of the tumor necrosis factor superfamily (TNFSF) of structurally related cytokines. Like most other members of this family, TWEAK is a cell surface-associated type II transmembrane protein although a smaller, biologically active form can also be generated by cleavage near the cell membrane. TWEAK has multiple biological activities, including stimulation of cell growth and angiogenesis, induction of inflammatory cytokines, in addition to stimulation of apoptosis. The TWEAK signal transduction pathway has not been well established but it appears to signal via TweakR/Fn14 in a manner similar to that described for other TNFSF members that bind receptors lacking death domains.
|
||
Storage & Stability |
Store at +4°C short term. For long-term storage, aliquot and store at -20°C or below. Stable for 12 months at -20°C. Avoid repeated freeze-thaw cycles.
|
||
Applications |
WB, IHC-P, E
|
||
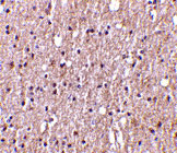
Images |
Western blot analysis of (A) 5 ng, (B) 25 ng and (C) 50 ng of recombinant TWEAK with TWEAK antibody at 1 μg/mL.
Immunohistochemistry of TWEAK in human brain tissue with TWEAK antibody at 10 μg/mL. |
||
Specification |
|||
Quantity |
|
||
| Select | Brand | Catalog No. | Product Name | Pack Size | Type | Field of Research | Specification | Quantity | Price(USD) | |
| 1 | Leading Biology | APR03440G | ITGA11 Antibody (N-term) | 100 μl | Polyclonal Antibodies |
|
$495.00 | Add Ask | ||
| 2 | Leading Biology | APR04537G | CMIP Antibody (C-term) | 100 μl | Polyclonal Antibodies |
|
$495.00 | Add Ask | ||
| 3 | Leading Biology | APR12422G | Human H4 Histamine Receptor (extracellular) Antibody | 50 μl | Polyclonal Antibodies |
|
$695.00 | Add Ask | ||
| 4 | Leading Biology | APR03844G | UBE2W Antibody (C-term) | 100 μl | Polyclonal Antibodies |
|
$495.00 | Add Ask | ||
| 5 | Leading Biology | APR04349G | HECTD2 Antibody (N-term) | 100 μl | Polyclonal Antibodies |
|
$495.00 | Add Ask | ||
| 6 | Leading Biology | APR03502G | IGHG1 Antibody (Center) | 100 μl | Polyclonal Antibodies |
|
$495.00 | Add Ask |
Leading Biology Inc.
2600 Hilltop DR, Building G, B Suite C138
Richmond, CA, 94806
Tel: 1-661-524(LBI)-0262
Email: info@leadingbiology.com
Complete this form and click send to ask us a question, request a quote or simply say hello.

You have 0 item in your cart

You have 0 item in your inquiry list