> Antigen, Antibodies, ELISA, Western Blot > Primary Antibody > Polyclonal Antibodies > IL-32 AntibodyBrand |
Leading Biology | Catalog Number |
APR06393G |
Product Type |
Polyclonal Antibodies | Field of Research |
|
Product Overview |
We constantly strive to ensure we provide our customers with the best antibodies. As a result of this work we offer this antibody in purified format.
We are in the process of updating our datasheets. If you have any questions regarding this update, please feel free to contact our technical support team.
This product is a high quality IL-32 Antibody.
|
||
Molecular Weight |
26676 Da
|
||
Cellular Localization |
Antigen Cellular Localization:
Secreted.
|
||
Host |
Rabbit
|
||
Species Reactivity |
Human, Mouse
|
||
Target |
IL32; This antibody detects all isoforms of IL-32.
|
||
Isotype |
IgG
|
||
Symbol |
NK4, TAIF
|
||
GeneID |
|||
UniProt ID |
|||
Function |
Cytokine that may play a role in innate and adaptive immune responses. It induces various cytokines such as TNFA/TNF- alpha and IL8. It activates typical cytokine signal pathways of NF-kappa-B and p38 MAPK.
|
||
Summary |
IL-32 Antibody: Interleukin-32 (IL-32) was initially identified as a transcript (NK4) that is selectively expressed in lymphocytes and NK cells and whose expression is increased following activation by IL-2. It was later re-isolated from an IL-18-treated lung carcinoma cell line and re-named IL-32. IL-32 is unusual in that it does not share sequence homology with known cytokine families and is highly expressed in immune tissues, existing in at least four differentially spliced isoforms. Because treatment of human monocytic and mouse macrophage cells with IL-32 induces several proinflammatory cytokines such as TNF-α, IL-8 and MIP-2, and because it is also induced in human peripheral lymphocyte cells after mitogen stimulation and in epithelial cells by IFNγ, it has been suggested that IL-32 may play a role in autoimmune and inflammatory diseases such as rheumatoid arthritis.
|
||
Storage & Stability |
Store at +4°C short term. For long-term storage, aliquot and store at -20°C or below. Stable for 12 months at -20°C. Avoid repeated freeze-thaw cycles.
|
||
Applications |
WB, IHC-P, IF, E
|
||
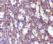
Images |
Western blot analysis of IL-32 in human spleen lysate with IL-32 antibody at (A) 5 and (B) 10 μg/mL shows two isoforms of IL-32.
Immunohistochemistry of IL-32 in human spleen tissue with IL-32 antibody at 10 μg/mL.
Immunofluorescence of IL-32 in Human Spleen cells with IL-32 antibody at 20 μg/mL. |
||
Specification |
|||
Quantity |
|
||
| Select | Brand | Catalog No. | Product Name | Pack Size | Type | Field of Research | Specification | Quantity | Price(USD) | |
| 1 | Leading Biology | APR03440G | ITGA11 Antibody (N-term) | 100 μl | Polyclonal Antibodies |
|
$495.00 | Add Ask | ||
| 2 | Leading Biology | APR04537G | CMIP Antibody (C-term) | 100 μl | Polyclonal Antibodies |
|
$495.00 | Add Ask | ||
| 3 | Leading Biology | APR12422G | Human H4 Histamine Receptor (extracellular) Antibody | 50 μl | Polyclonal Antibodies |
|
$695.00 | Add Ask | ||
| 4 | Leading Biology | APR03844G | UBE2W Antibody (C-term) | 100 μl | Polyclonal Antibodies |
|
$495.00 | Add Ask | ||
| 5 | Leading Biology | APR04349G | HECTD2 Antibody (N-term) | 100 μl | Polyclonal Antibodies |
|
$495.00 | Add Ask | ||
| 6 | Leading Biology | APR03502G | IGHG1 Antibody (Center) | 100 μl | Polyclonal Antibodies |
|
$495.00 | Add Ask |
Leading Biology Inc.
2600 Hilltop DR, Building G, B Suite C138
Richmond, CA, 94806
Tel: 1-661-524(LBI)-0262
Email: info@leadingbiology.com
Complete this form and click send to ask us a question, request a quote or simply say hello.

You have 0 item in your cart

You have 0 item in your inquiry list