> Antigen, Antibodies, ELISA, Western Blot > Primary Antibody > Polyclonal Antibodies > BAP31 AntibodyBrand |
Leading Biology | Catalog Number |
APR06383G |
Product Type |
Polyclonal Antibodies | Field of Research |
|
Product Overview |
We constantly strive to ensure we provide our customers with the best antibodies. As a result of this work we offer this antibody in purified format.
We are in the process of updating our datasheets. If you have any questions regarding this update, please feel free to contact our technical support team.
This product is a high quality BAP31 Antibody.
|
||
Molecular Weight |
27992 Da
|
||
Cellular Localization |
Antigen Cellular Localization:
Endoplasmic reticulum membrane; Multi-pass membrane protein. Endoplasmic reticulum-Golgi intermediate compartment membrane; Multi-pass membrane protein. Note=May shuttle between the ER and the intermediate compartment/cis-Golgi complex
|
||
Host |
Rabbit
|
||
Species Reactivity |
Human, Mouse, Rat
|
||
Target |
BCAP31;
|
||
Isotype |
IgG
|
||
Symbol |
BAP31, DXS1357E
|
||
GeneID |
|||
UniProt ID |
|||
Function |
Functions as a chaperone protein. Is one of the most abundant endoplasmic reticulum (ER) proteins. Plays a role in the export of secreted proteins in the ER, the recognition of abnormally folded protein and their targeting to the ER associated-degradation (ERAD). Also serves as a cargo receptor for the export of transmembrane proteins. May be involved in CASP8- mediated apoptosis.
|
||
Summary |
BAP31 Antibody: Bap31 and the related protein Bap29 are endoplasmic reticulum (ER) and ER-vesicle membrane proteins and members of the B-cell receptor-associated protein family. These two proteins are highly homologous and can form homo- and heterodimers. Bap31 is thought to be involved in the intracellular trafficking of several molecules such as MHC Class I molecules and CD11b/CD18. It may also play a role in the initiation of ER stress-induced apoptosis through its association with caspase-8 via a death effector domain in its cytoplasmic tail, possibly through the promotion of membrane fragmentation and the release of cytochrome c from mitochondria. Bap31 itself contains two caspase cleavage sites and is cleaved during apoptosis. The p20 fragment of Bap31, when expressed ectopicially, is also a potent inducer cell death.
|
||
Storage & Stability |
Store at +4°C short term. For long-term storage, aliquot and store at -20°C or below. Stable for 12 months at -20°C. Avoid repeated freeze-thaw cycles.
|
||
Applications |
WB, IHC-P, E
|
||
Images |
Western blot analysis of BAP31 in Ramos cell lysate with BAP31 antibody at (A) 0.5, (B) 1 and (C) 2 μg/mL.
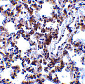
Immunohistochemistry of BAP31 in rat lung tissue with BAP31 antibody at 2 μg/mL. |
||
Specification |
|||
Quantity |
|
||
| Select | Brand | Catalog No. | Product Name | Pack Size | Type | Field of Research | Specification | Quantity | Price(USD) | |
| 1 | Leading Biology | APR03440G | ITGA11 Antibody (N-term) | 100 μl | Polyclonal Antibodies |
|
$495.00 | Add Ask | ||
| 2 | Leading Biology | APR04537G | CMIP Antibody (C-term) | 100 μl | Polyclonal Antibodies |
|
$495.00 | Add Ask | ||
| 3 | Leading Biology | APR12422G | Human H4 Histamine Receptor (extracellular) Antibody | 50 μl | Polyclonal Antibodies |
|
$695.00 | Add Ask | ||
| 4 | Leading Biology | APR03844G | UBE2W Antibody (C-term) | 100 μl | Polyclonal Antibodies |
|
$495.00 | Add Ask | ||
| 5 | Leading Biology | APR04349G | HECTD2 Antibody (N-term) | 100 μl | Polyclonal Antibodies |
|
$495.00 | Add Ask | ||
| 6 | Leading Biology | APR03502G | IGHG1 Antibody (Center) | 100 μl | Polyclonal Antibodies |
|
$495.00 | Add Ask |
Leading Biology Inc.
2600 Hilltop DR, Building G, B Suite C138
Richmond, CA, 94806
Tel: 1-661-524(LBI)-0262
Email: info@leadingbiology.com
Complete this form and click send to ask us a question, request a quote or simply say hello.

You have 0 item in your cart

You have 0 item in your inquiry list