> Antigen, Antibodies, ELISA, Western Blot > Primary Antibody > Polyclonal Antibodies > TLR5 AntibodyBrand |
Leading Biology | Catalog Number |
APR06376G |
Product Type |
Polyclonal Antibodies | Field of Research |
|
Product Overview |
We constantly strive to ensure we provide our customers with the best antibodies. As a result of this work we offer this antibody in purified format.
We are in the process of updating our datasheets. If you have any questions regarding this update, please feel free to contact our technical support team.
This product is a high quality TLR5 Antibody.
|
||
Molecular Weight |
Predicted: 94 kDa Observed: 94 kDa
|
||
Cellular Localization |
Antigen Cellular Localization:
Membrane; Single-pass type I membrane protein
|
||
Host |
Rabbit
|
||
Species Reactivity |
Human, Mouse, Rat
|
||
Target |
TLR5;
|
||
Isotype |
IgG
|
||
Symbol |
TIL3
|
||
GeneID |
|||
UniProt ID |
|||
Function |
Participates in the innate immune response to microbial agents. Mediates detection of bacterial flagellins. Acts via MYD88 and TRAF6, leading to NF-kappa-B activation, cytokine secretion and the inflammatory response.
|
||
Summary |
TLR5 Antibody: Toll-like receptors (TLRs) are evolutionarily conserved pattern-recognition molecules resembling the toll proteins that mediate antimicrobial responses in Drosophila. These proteins recognize different microbial products during infection and serve as an important link between the innate and adaptive immune responses. The TLRs act through adaptor molecules such as MyD88 and TIRAP to activate various kinases and transcription factors so the organism can respond to potential infection. TLR5 recognizes flagellin from both Gram-positive and Gram-negative bacteria and will cause the activation of NF-κB, leading to the activation of TNF-α and other cytokines. A common TLR5 stop codon polymorphism that disrupts TLR5 signaling is associated with susceptibility to Legionnaires'disease and demonstrates the importance of TLR5 in the innate immune response.
|
||
Storage & Stability |
Store at +4°C short term. For long-term storage, aliquot and store at -20°C or below. Stable for 12 months at -20°C. Avoid repeated freeze-thaw cycles.
|
||
Applications |
WB, IHC-P, E
|
||
Images |
Western blot analysis of TLR5 in rat brain cell lysate with TLR5 antibody at (A) 0.5, (B) 1 and (C) 2 μg/mL.
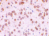
Immunohistochemistry of TLR5 in rat brain tissue with TLR5 antibody at 10 μg/mL. |
||
Specification |
|||
Quantity |
|
||
| Select | Brand | Catalog No. | Product Name | Pack Size | Type | Field of Research | Specification | Quantity | Price(USD) | |
| 1 | Leading Biology | APR03440G | ITGA11 Antibody (N-term) | 100 μl | Polyclonal Antibodies |
|
$495.00 | Add Ask | ||
| 2 | Leading Biology | APR04537G | CMIP Antibody (C-term) | 100 μl | Polyclonal Antibodies |
|
$495.00 | Add Ask | ||
| 3 | Leading Biology | APR12422G | Human H4 Histamine Receptor (extracellular) Antibody | 50 μl | Polyclonal Antibodies |
|
$695.00 | Add Ask | ||
| 4 | Leading Biology | APR03844G | UBE2W Antibody (C-term) | 100 μl | Polyclonal Antibodies |
|
$495.00 | Add Ask | ||
| 5 | Leading Biology | APR04349G | HECTD2 Antibody (N-term) | 100 μl | Polyclonal Antibodies |
|
$495.00 | Add Ask | ||
| 6 | Leading Biology | APR03502G | IGHG1 Antibody (Center) | 100 μl | Polyclonal Antibodies |
|
$495.00 | Add Ask |
Leading Biology Inc.
2600 Hilltop DR, Building G, B Suite C138
Richmond, CA, 94806
Tel: 1-661-524(LBI)-0262
Email: info@leadingbiology.com
Complete this form and click send to ask us a question, request a quote or simply say hello.

You have 0 item in your cart

You have 0 item in your inquiry list