> Antigen, Antibodies, ELISA, Western Blot > Primary Antibody > Polyclonal Antibodies > IRF3 AntibodyBrand |
Leading Biology | Catalog Number |
APR06360G |
Product Type |
Polyclonal Antibodies | Field of Research |
|
Product Overview |
We constantly strive to ensure we provide our customers with the best antibodies. As a result of this work we offer this antibody in purified format.
We are in the process of updating our datasheets. If you have any questions regarding this update, please feel free to contact our technical support team.
This product is a high quality IRF3 Antibody.
|
||
Molecular Weight |
43, 47, 50 kDa
|
||
Cellular Localization |
Antigen Cellular Localization:
Cytoplasm. Nucleus. Note=Shuttles between cytoplasmic and nuclear compartments, with export being the prevailing effect. When activated, IRF3 interaction with CREBBP prevents its export to the cytoplasm
|
||
Host |
Rabbit
|
||
Species Reactivity |
Human, Mouse
|
||
Target |
IRF3; At least three isoforms of IRF3 are known to exist.
|
||
Isotype |
IgG
|
||
GeneID |
|||
UniProt ID |
|||
Function |
Key transcriptional regulator of type I interferon (IFN)-dependent immune responses which plays a critical role in the innate immune response against DNA and RNA viruses. Regulates the transcription of type I IFN genes (IFN-alpha and IFN-beta) and IFN-stimulated genes (ISG) by binding to an interferon-stimulated response element (ISRE) in their promoters. Acts as a more potent activator of the IFN-beta (IFNB) gene than the IFN-alpha (IFNA) gene and plays a critical role in both the early and late phases of the IFNA/B gene induction. Found in an inactive form in the cytoplasm of uninfected cells and following viral infection, double-stranded RNA (dsRNA), or toll-like receptor (TLR) signaling, is phosphorylated by IKBKE and TBK1 kinases. This induces a conformational change, leading to its dimerization and nuclear localization and association with CREB binding protein (CREBBP) to form dsRNA-activated factor 1 (DRAF1), a complex which activates the transcription of the type I IFN and ISG genes. Can activate distinct gene expression programs in macrophages and can induce significant apoptosis in primary macrophages.
|
||
Summary |
IRF3 Antibody: Interferons (IFN)s are involved in a multitude of immune interactions during viral infections and play a major role in both the induction and regulation of innate and adaptive antiviral mechanisms. During infection, host-virus interactions signal downstream molecules such as transcription factors such as IFN regulatory factor-3 (IRF3) which can act to stimulate transcription of IFN-alpha/beta genes. IRF3 is present in an inactive form in the cytoplasm of most cells. Following viral infection, IRF3 can be activated by IκB kinase-ε and TANK-binding kinase 1 (TBK1), whereupon IRF3 translocates to the nucleus. IRF3 can also be activated by stimulation of toll-like receptor 3 (TLR3) by dsRNA. IRF3 exists as at least two distinct isoforms.
|
||
Storage & Stability |
Store at +4°C short term. For long-term storage, aliquot and store at -20°C or below. Stable for 12 months at -20°C. Avoid repeated freeze-thaw cycles.
|
||
Applications |
WB, IHC-P, IF, E
|
||
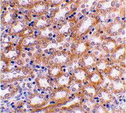
Images |
Western blot analysis of IRF3 in Ramos whole cell lysate with IRF3 antibody at (A) 1, (B) 2, and (C) 4 μg/mL.
Immunohistochemical staining of mouse kidney using IRF3 antibody at 2 μg/mL.
Immunofluorescence of IRF3 in Mouse Kidney cells with IRF3 antibody at 20 μg/mL. |
||
Specification |
|||
Quantity |
|
||
| Select | Brand | Catalog No. | Product Name | Pack Size | Type | Field of Research | Specification | Quantity | Price(USD) | |
| 1 | Leading Biology | APR03440G | ITGA11 Antibody (N-term) | 100 μl | Polyclonal Antibodies |
|
$495.00 | Add Ask | ||
| 2 | Leading Biology | APR04537G | CMIP Antibody (C-term) | 100 μl | Polyclonal Antibodies |
|
$495.00 | Add Ask | ||
| 3 | Leading Biology | APR12422G | Human H4 Histamine Receptor (extracellular) Antibody | 50 μl | Polyclonal Antibodies |
|
$695.00 | Add Ask | ||
| 4 | Leading Biology | APR03844G | UBE2W Antibody (C-term) | 100 μl | Polyclonal Antibodies |
|
$495.00 | Add Ask | ||
| 5 | Leading Biology | APR04349G | HECTD2 Antibody (N-term) | 100 μl | Polyclonal Antibodies |
|
$495.00 | Add Ask | ||
| 6 | Leading Biology | APR03502G | IGHG1 Antibody (Center) | 100 μl | Polyclonal Antibodies |
|
$495.00 | Add Ask |
Leading Biology Inc.
2600 Hilltop DR, Building G, B Suite C138
Richmond, CA, 94806
Tel: 1-661-524(LBI)-0262
Email: info@leadingbiology.com
Complete this form and click send to ask us a question, request a quote or simply say hello.

You have 0 item in your cart

You have 0 item in your inquiry list