> Antigen, Antibodies, ELISA, Western Blot > Primary Antibody > Polyclonal Antibodies > TRIM5 gamma AntibodyBrand |
Leading Biology | Catalog Number |
APR06335G |
Product Type |
Polyclonal Antibodies | Field of Research |
|
Product Overview |
We constantly strive to ensure we provide our customers with the best antibodies. As a result of this work we offer this antibody in purified format.
We are in the process of updating our datasheets. If you have any questions regarding this update, please feel free to contact our technical support team.
This product is a high quality TRIM5 gamma Antibody.
|
||
Molecular Weight |
56338 Da
|
||
Cellular Localization |
Antigen Cellular Localization:
Cytoplasm, P-body Note=Closely associates with proteasomal subunits in cytoplasmic bodies (By similarity). Colocalizes with SQSTM1 in cytoplasmic bodies.
|
||
Host |
Rabbit
|
||
Species Reactivity |
Human
|
||
Target |
TRIM5;
|
||
Isotype |
IgG
|
||
Symbol |
RNF88
|
||
GeneID |
|||
UniProt ID |
|||
Function |
Capsid-specific restriction factor that prevents infection from non-host-adapted retroviruses. Blocks viral replication early in the life cycle, after viral entry but before reverse transcription. In addition to acting as a capsid-specific restriction factor, also acts as a pattern recognition receptor that activates innate immune signaling in response to the retroviral capsid lattice. Binding to the viral capsid triggers its E3 ubiquitin ligase activity, and in concert with the heterodimeric ubiquitin conjugating enzyme complex UBE2V1-UBE2N (also known as UBC13-UEV1A complex) generates 'Lys-63'-linked polyubiquitin chains, which in turn are catalysts in the autophosphorylation of the MAP3K7/TAK1 complex (includes TAK1, TAB2, and TAB3). Activation of the MAP3K7/TAK1 complex by autophosphorylation results in the induction and expression of NF- kappa-B and MAPK-responsive inflammatory genes, thereby leading to an innate immune response in the infected cell. Restricts infection by N-tropic murine leukemia virus (N-MLV) and equine infectious anemia virus (EIAV).
|
||
Summary |
TRIM5 gamma Antibody: TRIM5 is a member of a broad family of otherwise unrelated proteins defined by the presence of a tripartite motif containing a RING domain, a B-box type 1, and a B-box type 2, followed by a coiled-coil region. TRIM5 has five alternately spliced isoforms, the longest of which is the alpha variant which also contains a carboxy-terminal B30.2 (SPRY) domain. While a function has not yet been assigned to TRIM5gamma, it is known that expression of TRIM5α variants from humans, rhesus monkeys, and African green monkeys enable resistance to infection by various retroviruses including HIV-1, albeit at differing efficiencies. Furthermore, the TRIM5δ isoform appears to serve as a scaffold for the assembly of endogenous BTBD1 and BTBD2 proteins and also exhibits autoubiquitination activity in a RING finger- and UbcH5B-dependent manner.
|
||
Storage & Stability |
Store at +4°C short term. For long-term storage, aliquot and store at -20°C or below. Stable for 12 months at -20°C. Avoid repeated freeze-thaw cycles.
|
||
Applications |
WB, IHC-P, IF, E
|
||
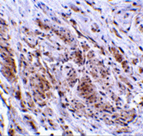
Images |
Western blot analysis of TRIM5 gamma expression in human bladder (A) and colon (B) cell lysate with TRIM5 gamma antibody at 2 μg /ml.
Immunohistochemistry of TRIM5 gamma in human bladder tissue with TRIM5 gamma antibody at 2 μg/mL.
Immunofluorescence of TRIM5 gamma in human bladder tissue with TRIM5 gamma antibody at 20 μg/mL. |
||
Specification |
|||
Quantity |
|
||
| Select | Brand | Catalog No. | Product Name | Pack Size | Type | Field of Research | Specification | Quantity | Price(USD) | |
| 1 | Leading Biology | APR03440G | ITGA11 Antibody (N-term) | 100 μl | Polyclonal Antibodies |
|
$495.00 | Add Ask | ||
| 2 | Leading Biology | APR04537G | CMIP Antibody (C-term) | 100 μl | Polyclonal Antibodies |
|
$495.00 | Add Ask | ||
| 3 | Leading Biology | APR12422G | Human H4 Histamine Receptor (extracellular) Antibody | 50 μl | Polyclonal Antibodies |
|
$695.00 | Add Ask | ||
| 4 | Leading Biology | APR03844G | UBE2W Antibody (C-term) | 100 μl | Polyclonal Antibodies |
|
$495.00 | Add Ask | ||
| 5 | Leading Biology | APR04349G | HECTD2 Antibody (N-term) | 100 μl | Polyclonal Antibodies |
|
$495.00 | Add Ask | ||
| 6 | Leading Biology | APR03502G | IGHG1 Antibody (Center) | 100 μl | Polyclonal Antibodies |
|
$495.00 | Add Ask |
Leading Biology Inc.
2600 Hilltop DR, Building G, B Suite C138
Richmond, CA, 94806
Tel: 1-661-524(LBI)-0262
Email: info@leadingbiology.com
Complete this form and click send to ask us a question, request a quote or simply say hello.

You have 0 item in your cart

You have 0 item in your inquiry list