> Antigen, Antibodies, ELISA, Western Blot > Primary Antibody > Polyclonal Antibodies > IL-21 Receptor AntibodyBrand |
Leading Biology | Catalog Number |
APR06290G |
Product Type |
Polyclonal Antibodies | Field of Research |
|
Product Overview |
We constantly strive to ensure we provide our customers with the best antibodies. As a result of this work we offer this antibody in purified format.
We are in the process of updating our datasheets. If you have any questions regarding this update, please feel free to contact our technical support team.
This product is a high quality IL-21 Receptor Antibody.
|
||
Molecular Weight |
60 kDa
|
||
Cellular Localization |
Antigen Cellular Localization:
Membrane; Single-pass type I membrane protein
|
||
Host |
Rabbit
|
||
Species Reactivity |
Human, Mouse, Rat
|
||
Target |
IL21R;
|
||
Isotype |
IgG
|
||
Symbol |
NILR
|
||
GeneID |
|||
UniProt ID |
|||
Function |
This is a receptor for interleukin-21.
|
||
Summary |
IL-21 Receptor Antibody: A novel cytokine related to IL-2 and IL-15 was recently identified and designated IL-21. The receptor for IL-21 (IL-21R, also termed NILR for novel Interleukin receptor) is a new member of the class I cytokine receptor family. IL-21R forms a complex with the common cytokine receptor gamma chain, gammac, and mediates IL-21 signaling. Both IL-21R and the gammac are necessary for the IL-21 function. IL-21 and its receptor activate JAK-STAT signaling pathway. IL-21R is expressed in spleen, thymus, natural killer (NK), T and B cell lines. IL-21 plays a role in the proliferation and maturation of NK, B and T cell populations.
|
||
Storage & Stability |
Store at +4°C short term. For long-term storage, aliquot and store at -20°C or below. Stable for 12 months at -20°C. Avoid repeated freeze-thaw cycles.
|
||
Applications |
WB, IHC-P, IF, E
|
||
Images |
Western blot analysis of IL-21 receptor expression in human Raji cell lysate with IL-21 Receptor antibody at 1 μg /ml.
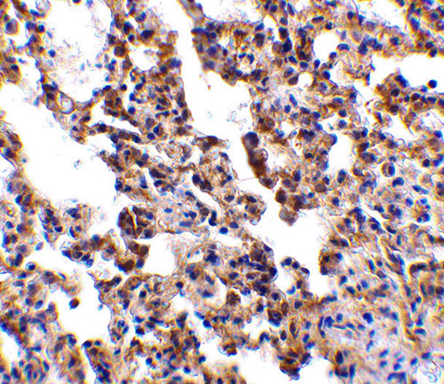
Immunohistochemistry of IL-21 receptor in rat lung with IL-21 receptor antibody at 10 μg/mL.
Immunofluorescence of IL-21 Receptor in Rat Lung cells with IL-21 Receptor antibody at 20 μg/mL. |
||
Specification |
|||
Quantity |
|
||
| Select | Brand | Catalog No. | Product Name | Pack Size | Type | Field of Research | Specification | Quantity | Price(USD) | |
| 1 | Leading Biology | APR03440G | ITGA11 Antibody (N-term) | 100 μl | Polyclonal Antibodies |
|
$495.00 | Add Ask | ||
| 2 | Leading Biology | APR04537G | CMIP Antibody (C-term) | 100 μl | Polyclonal Antibodies |
|
$495.00 | Add Ask | ||
| 3 | Leading Biology | APR12422G | Human H4 Histamine Receptor (extracellular) Antibody | 50 μl | Polyclonal Antibodies |
|
$695.00 | Add Ask | ||
| 4 | Leading Biology | APR03844G | UBE2W Antibody (C-term) | 100 μl | Polyclonal Antibodies |
|
$495.00 | Add Ask | ||
| 5 | Leading Biology | APR04349G | HECTD2 Antibody (N-term) | 100 μl | Polyclonal Antibodies |
|
$495.00 | Add Ask | ||
| 6 | Leading Biology | APR03502G | IGHG1 Antibody (Center) | 100 μl | Polyclonal Antibodies |
|
$495.00 | Add Ask |
Leading Biology Inc.
2600 Hilltop DR, Building G, B Suite C138
Richmond, CA, 94806
Tel: 1-661-524(LBI)-0262
Email: info@leadingbiology.com
Complete this form and click send to ask us a question, request a quote or simply say hello.

You have 0 item in your cart

You have 0 item in your inquiry list