> Antigen, Antibodies, ELISA, Western Blot > Primary Antibody > Polyclonal Antibodies > LAIR1 / CD305 Antibody (Internal)Brand |
Leading Biology | Catalog Number |
APG01186G |
Product Type |
Polyclonal Antibodies | Field of Research |
|
Product Overview |
We constantly strive to ensure we provide our customers with the best antibodies. As a result of this work we offer this antibody in purified format.
We are in the process of updating our datasheets. If you have any questions regarding this update, please feel free to contact our technical support team.
This product is a high quality LAIR1 / CD305 Antibody (Internal).
|
||
Molecular Weight |
31kDa
|
||
Cellular Localization |
Antigen Cellular Localization:
Cell membrane; Single- pass type I membrane protein
|
||
Host |
Goat
|
||
Species Reactivity |
Human
|
||
Target |
Human LAIR1 / LAIR-1. This antibody is expected to recognize both isoforms (NP_002278.1; NP_068352.1).
|
||
Symbol |
CD305
|
||
GeneID |
|||
UniProt ID |
|||
Function |
Functions as an inhibitory receptor that plays a constitutive negative regulatory role on cytolytic function of natural killer (NK) cells, B-cells and T-cells. Activation by Tyr phosphorylation results in recruitment and activation of the phosphatases PTPN6 and PTPN11. It also reduces the increase of intracellular calcium evoked by B-cell receptor ligation. May also play its inhibitory role independently of SH2-containing phosphatases. Modulates cytokine production in CD4+ T-cells, down- regulating IL2 and IFNG production while inducing secretion of transforming growth factor beta. Down-regulates also IgG and IgE production in B-cells as well as IL8, IL10 and TNF secretion. Inhibits proliferation and induces apoptosis in myeloid leukemia cell lines as well as prevents nuclear translocation of NF-kappa-B p65 subunit/RELA and phosphorylation of I-kappa-B alpha/CHUK in these cells. Inhibits the differentiation of peripheral blood precursors towards dendritic cells.
|
||
Summary |
Functions as an inhibitory receptor that plays a constitutive negative regulatory role on cytolytic function of natural killer (NK) cells, B-cells and T-cells. Activation by Tyr phosphorylation results in recruitment and activation of the phosphatases PTPN6 and PTPN11. It also reduces the increase of intracellular calcium evoked by B-cell receptor ligation. May also play its inhibitory role independently of SH2-containing phosphatases. Modulates cytokine production in CD4+ T-cells, down- regulating IL2 and IFNG production while inducing secretion of transforming growth factor beta. Down-regulates also IgG and IgE production in B-cells as well as IL8, IL10 and TNF secretion. Inhibits proliferation and induces apoptosis in myeloid leukemia cell lines as well as prevents nuclear translocation of NF-kappa-B p65 subunit/RELA and phosphorylation of I-kappa-B alpha/CHUK in these cells. Inhibits the differentiation of peripheral blood precursors towards dendritic cells.
|
||
Storage & Stability |
Store at +4°C short term. For long-term storage, aliquot and store at -20°C or below. Stable for 12 months at -20°C. Avoid repeated freeze-thaw cycles.
|
||
Applications |
WB, IHC-P, E
|
||
Dilution |
ELISA (1:1000), IHC-P (3.75 μg/ml), WB (1-3 μg/ml)
|
||
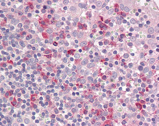
Images |
LAIR1 antibody (2 ug/ml) staining of Human Lymph Node lysate (35 ug protein/ml in RIPA buffer).
Anti-CD305 / LAIR-1 antibody IHC of human tonsil. |
||
Specification |
|||
Quantity |
|
||
| Select | Brand | Catalog No. | Product Name | Pack Size | Type | Field of Research | Specification | Quantity | Price(USD) | |
| 1 | Leading Biology | APR03440G | ITGA11 Antibody (N-term) | 100 μl | Polyclonal Antibodies |
|
$495.00 | Add Ask | ||
| 2 | Leading Biology | APR04537G | CMIP Antibody (C-term) | 100 μl | Polyclonal Antibodies |
|
$495.00 | Add Ask | ||
| 3 | Leading Biology | APR12422G | Human H4 Histamine Receptor (extracellular) Antibody | 50 μl | Polyclonal Antibodies |
|
$695.00 | Add Ask | ||
| 4 | Leading Biology | APR03844G | UBE2W Antibody (C-term) | 100 μl | Polyclonal Antibodies |
|
$495.00 | Add Ask | ||
| 5 | Leading Biology | APR04349G | HECTD2 Antibody (N-term) | 100 μl | Polyclonal Antibodies |
|
$495.00 | Add Ask | ||
| 6 | Leading Biology | APR03502G | IGHG1 Antibody (Center) | 100 μl | Polyclonal Antibodies |
|
$495.00 | Add Ask |
Leading Biology Inc.
2600 Hilltop DR, Building G, B Suite C138
Richmond, CA, 94806
Tel: 1-661-524(LBI)-0262
Email: info@leadingbiology.com
Complete this form and click send to ask us a question, request a quote or simply say hello.

You have 0 item in your cart

You have 0 item in your inquiry list