> Antigen, Antibodies, ELISA, Western Blot > Primary Antibody > Monoclonal Antibodies > AMBP Antibody (monoclonal) (M12)Brand |
Leading Biology | Catalog Number |
AMM03258G |
Product Type |
Monoclonal Antibodies | Field of Research |
|
Product Overview |
We constantly strive to ensure we provide our customers with the best antibodies. As a result of this work we offer this antibody in purified format.
We are in the process of updating our datasheets. If you have any questions regarding this update, please feel free to contact our technical support team.
This product is a high quality AMBP Antibody (monoclonal) (M12).
|
||
Molecular Weight |
38999 Da
|
||
Host |
Mouse
|
||
Species Reactivity |
Human
|
||
Target |
Native purified human AMBP.
|
||
Clone |
4F4
|
||
Isotype |
IgG2a, kappa
|
||
GeneID |
|||
UniProt ID |
|||
Summary |
This gene encodes a complex glycoprotein secreted in plasma. The precursor is proteolytically processed into distinct functioning proteins: alpha-1-microglobulin, which belongs to the superfamily of lipocalin transport proteins and may play a role in the regulation of inflammatory processes, and bikunin, which is a urinary trypsin inhibitor belonging to the superfamily of Kunitz-type protease inhibitors and plays an important role in many physiological and pathological processes. This gene is located on chromosome 9 in a cluster of lipocalin genes. [provided by RefSeq]
|
||
Storage & Stability |
Store at +4°C short term. For long-term storage, aliquot and store at -20°C or below. Stable for 12 months at -20°C. Avoid repeated freeze-thaw cycles.
|
||
Applications |
WB, IHC
|
||
Dilution |
WB~~1:500~1000
|
||
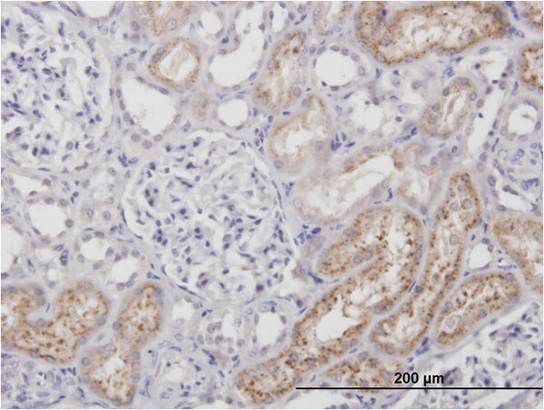
Images |
Antibody Reactive Against Native ProteinWestern Blot detection against Immunogen (38.7 kDa)
Immunoperoxidase of monoclonal antibody to AMBP on formalin-fixed paraffin-embedded human kidney. [antibody concentration 3 ug/ml] |
||
Specification |
|||
Quantity |
|
||
| Select | Brand | Catalog No. | Product Name | Pack Size | Type | Field of Research | Specification | Quantity | Price(USD) | |
| 1 | Leading Biology | APG02467G | CCK4 / PTK7 Antibody (clone 4F9) | 50 μl | Monoclonal Antibodies |
|
$495.00 | Add Ask | ||
| 2 | Leading Biology | AMM04683G | GALT Antibody (clone 4C11) | 50 μg | Monoclonal Antibodies |
|
$545.00 | Add Ask | ||
| 3 | Leading Biology | AMM01402G | Vimentin (Mesenchymal Cell Marker) Antibody - With BSA and Azide | 50 ug | Monoclonal Antibodies |
|
$395.00 | Add Ask | ||
| 4 | Leading Biology | APR08280G | LTA4H / LTA4 Antibody (clone 9G8) | 50 μl | Monoclonal Antibodies |
|
$495.00 | Add Ask | ||
| 5 | Leading Biology | AMM00172G | CD1a / HTA1 (Mature Langerhans Cells Marker) Antibody - With BSA and Azide | 50 ug | Monoclonal Antibodies |
|
$395.00 | Add Ask | ||
| 6 | Leading Biology | AMM05750G | CEBPA Antibody | 100 μl | Monoclonal Antibodies |
|
$545.00 | Add Ask |
Leading Biology Inc.
2600 Hilltop DR, Building G, B Suite C138
Richmond, CA, 94806
Tel: 1-661-524(LBI)-0262
Email: info@leadingbiology.com
Complete this form and click send to ask us a question, request a quote or simply say hello.

You have 0 item in your cart

You have 0 item in your inquiry list