> Antigen, Antibodies, ELISA, Western Blot > Primary Antibody > Polyclonal Antibodies > RAB35 Antibody (C-term)Brand |
Leading Biology | Catalog Number |
APR04639G |
Product Type |
Polyclonal Antibodies | Field of Research |
|
Product Overview |
We constantly strive to ensure we provide our customers with the best antibodies. As a result of this work we offer this antibody in purified format.
We are in the process of updating our datasheets. If you have any questions regarding this update, please feel free to contact our technical support team.
This product is a high quality RAB35 Antibody (C-term).
|
||
Molecular Weight |
23025 Da
|
||
Cellular Localization |
Antigen Cellular Localization:
Cell membrane; Lipid-anchor; Cytoplasmic side. Membrane, clathrin- coated pit. Cytoplasmic vesicle, clathrin-coated vesicle Endosome. Melanosome. Note=Present on sorting endosomes and recycling endosome tubules. Tends to be enriched in PIP2-positive cell membrane domains. During mitosis, associated with the plasma membrane and present at the ingressing furrow during early cytokinesis as well as at the intercellular bridge later during cytokinesis. Identified in stage I to stage IV melanosomes
|
||
Host |
Rabbit
|
||
Species Reactivity |
Human, Mouse, Rat
|
||
Target |
This RAB35 antibody is generated from a rabbit immunized with a KLH conjugated synthetic peptide between 166-199 amino acids from the C-terminal region of human RAB35.
|
||
Isotype |
Rabbit Ig
|
||
Symbol |
RAB1C, RAY
|
||
GeneID |
|||
UniProt ID |
|||
Function |
The small GTPases Rab are key regulators of intracellular membrane trafficking, from the formation of transport vesicles to their fusion with membranes. Rabs cycle between an inactive GDP-bound form and an active GTP-bound form that is able to recruit to membranes different sets of downstream effectors directly responsible for vesicle formation, movement, tethering and fusion. That Rab is involved in the process of endocytosis and is an essential rate-limiting regulator of the fast recycling pathway back to the plasma membrane. During cytokinesis, required for the postfurrowing terminal steps, namely for intercellular bridge stability and abscission, possibly by controlling phosphatidylinositol 4,5-bis phosphate (PIP2) and SEPT2 localization at the intercellular bridge. May indirectly regulate neurite outgrowth.
|
||
Summary |
The small GTPases Rab are key regulators of intracellular membrane trafficking, from the formation of transport vesicles to their fusion with membranes. Rabs cycle between an inactive GDP-bound form and an active GTP-bound form that is able to recruit to membranes different sets of downstream effectors directly responsible for vesicle formation, movement, tethering and fusion. That Rab is involved in the process of endocytosis and is an essential rate-limiting regulator of the fast recycling pathway back to the plasma membrane. During cytokinesis, required for the postfurrowing terminal steps, namely for intercellular bridge stability and abscission, possibly by controlling phosphatidylinositol 4,5-bis phosphate (PIP2) and SEPT2 localization at the intercellular bridge. May indirectly regulate neurite outgrowth.
|
||
Storage & Stability |
Store at +4°C short term. For long-term storage, aliquot and store at -20°C or below. Stable for 12 months at -20°C. Avoid repeated freeze-thaw cycles.
|
||
Applications |
WB, IHC-P, E
|
||
Dilution |
IHC-P~~1:25
WB~~1:1000
|
||
Images |
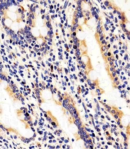
Immunohistochemical analysis of paraffin-embedded H.small intestine section using RAB35 Antibody (C-term)( APR04639G). APR04639G was diluted at 1:25 dilution. A peroxidase-conjugated goat anti-rabbit IgG at 1:400 dilution was used as the secondary antibody, followed by DAB staining.
Western blot analysis of lysates from Hela, U-87 MG, rat PC-12 cell line , huamn brain and mouse brain tissue lysate(from left to right), using RAB35 Antibody (C-term)(APR04639G). APR04639G was diluted at 1:1000 at each lane. A goat anti-rabbit IgG H&L(HRP) at 1:5000 dilution was used as the secondary antibody. Lysates at 35ug per lane. |
||
Specification |
|||
Quantity |
|
||
| Select | Brand | Catalog No. | Product Name | Pack Size | Type | Field of Research | Specification | Quantity | Price(USD) | |
| 1 | Leading Biology | APR03440G | ITGA11 Antibody (N-term) | 100 μl | Polyclonal Antibodies |
|
$495.00 | Add Ask | ||
| 2 | Leading Biology | APR04537G | CMIP Antibody (C-term) | 100 μl | Polyclonal Antibodies |
|
$495.00 | Add Ask | ||
| 3 | Leading Biology | APR12422G | Human H4 Histamine Receptor (extracellular) Antibody | 50 μl | Polyclonal Antibodies |
|
$695.00 | Add Ask | ||
| 4 | Leading Biology | APR03844G | UBE2W Antibody (C-term) | 100 μl | Polyclonal Antibodies |
|
$495.00 | Add Ask | ||
| 5 | Leading Biology | APR04349G | HECTD2 Antibody (N-term) | 100 μl | Polyclonal Antibodies |
|
$495.00 | Add Ask | ||
| 6 | Leading Biology | APR03502G | IGHG1 Antibody (Center) | 100 μl | Polyclonal Antibodies |
|
$495.00 | Add Ask |
Leading Biology Inc.
2600 Hilltop DR, Building G, B Suite C138
Richmond, CA, 94806
Tel: 1-661-524(LBI)-0262
Email: info@leadingbiology.com
Complete this form and click send to ask us a question, request a quote or simply say hello.

You have 0 item in your cart

You have 0 item in your inquiry list