> Antigen, Antibodies, ELISA, Western Blot > Primary Antibody > Polyclonal Antibodies > HBG2 Antibody (C-term)Brand |
Leading Biology | Catalog Number |
APR04633G |
Product Type |
Polyclonal Antibodies | Field of Research |
|
Product Overview |
We constantly strive to ensure we provide our customers with the best antibodies. As a result of this work we offer this antibody in purified format.
We are in the process of updating our datasheets. If you have any questions regarding this update, please feel free to contact our technical support team.
This product is a high quality HBG2 Antibody (C-term).
|
||
Molecular Weight |
16126 Da
|
||
Host |
Rabbit
|
||
Species Reactivity |
Human
|
||
Target |
This HBG2 antibody is generated from a rabbit immunized with a KLH conjugated synthetic peptide between 101-133 amino acids from the C-terminal region of human HBG2.
|
||
Isotype |
Rabbit Ig
|
||
GeneID |
|||
UniProt ID |
|||
Function |
Gamma chains make up the fetal hemoglobin F, in combination with alpha chains.
|
||
Summary |
Gamma chains make up the fetal hemoglobin F, in combination with alpha chains.
|
||
Storage & Stability |
Store at +4°C short term. For long-term storage, aliquot and store at -20°C or below. Stable for 12 months at -20°C. Avoid repeated freeze-thaw cycles.
|
||
Applications |
WB, FC, IHC-P, E
|
||
Dilution |
IHC-P~~1:25
FC~~1:25
WB~~1:1000
|
||
Images |
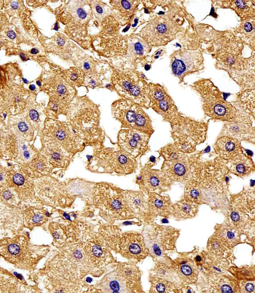
Immunohistochemical analysis of paraffin-embedded H. liver section using HBG2 Antibody (C-term)(APR04633G). APR04633G was diluted at 1:100 dilution. A peroxidase-conjugated goat anti-rabbit IgG at 1:400 dilution was used as the secondary antibody, followed by DAB staining.
Flow cytometric analysis of U-87 MG cells using HBG2 Antibody (C-term)(green, APR04633G) compared to an isotype control of rabbit IgG(blue). APR04633G was diluted at 1:25 dilution. An Alexa Fluor? 488 goat anti-rabbit lgG at 1:400 dilution was used as the secondary antibody.
Immunohistochemical analysis of paraffin-embedded M. liver section using HBG2 Antibody (C-term)( APR04633G). APR04633G was diluted at 1:100 dilution. A peroxidase-conjugated goat anti-rabbit IgG at 1:400 dilution was used as the secondary antibody, followed by DAB staining. |
||
Specification |
|||
Quantity |
|
||
| Select | Brand | Catalog No. | Product Name | Pack Size | Type | Field of Research | Specification | Quantity | Price(USD) | |
| 1 | Leading Biology | APR03440G | ITGA11 Antibody (N-term) | 100 μl | Polyclonal Antibodies |
|
$495.00 | Add Ask | ||
| 2 | Leading Biology | APR04537G | CMIP Antibody (C-term) | 100 μl | Polyclonal Antibodies |
|
$495.00 | Add Ask | ||
| 3 | Leading Biology | APR12422G | Human H4 Histamine Receptor (extracellular) Antibody | 50 μl | Polyclonal Antibodies |
|
$695.00 | Add Ask | ||
| 4 | Leading Biology | APR03844G | UBE2W Antibody (C-term) | 100 μl | Polyclonal Antibodies |
|
$495.00 | Add Ask | ||
| 5 | Leading Biology | APR04349G | HECTD2 Antibody (N-term) | 100 μl | Polyclonal Antibodies |
|
$495.00 | Add Ask | ||
| 6 | Leading Biology | APR03502G | IGHG1 Antibody (Center) | 100 μl | Polyclonal Antibodies |
|
$495.00 | Add Ask |
Leading Biology Inc.
2600 Hilltop DR, Building G, B Suite C138
Richmond, CA, 94806
Tel: 1-661-524(LBI)-0262
Email: info@leadingbiology.com
Complete this form and click send to ask us a question, request a quote or simply say hello.

You have 0 item in your cart

You have 0 item in your inquiry list