> Antigen, Antibodies, ELISA, Western Blot > Primary Antibody > Polyclonal Antibodies > M CCNB1 Antibody (Center S123/S125)Brand |
Leading Biology | Catalog Number |
APR04562G |
Product Type |
Polyclonal Antibodies | Field of Research |
|
Product Overview |
We constantly strive to ensure we provide our customers with the best antibodies. As a result of this work we offer this antibody in purified format.
We are in the process of updating our datasheets. If you have any questions regarding this update, please feel free to contact our technical support team.
This product is a high quality M CCNB1 Antibody (Center S123/S125).
|
||
Molecular Weight |
48052 Da
|
||
Cellular Localization |
Antigen Cellular Localization:
Cytoplasm. Nucleus. Cytoplasm, cytoskeleton, microtubule organizing center, centrosome
|
||
Host |
Rabbit
|
||
Species Reactivity |
Mouse
|
||
Immunogen |
103-130 aa
|
||
Target |
This Mouse CCNB1 antibody is generated from rabbits immunized with a KLH conjugated synthetic peptide between 103-130 amino acids from the Central region of mouse CCNB1.
|
||
Isotype |
Rabbit Ig
|
||
Symbol |
Ccn-2, Ccnb1-rs13, Cycb, Cycb1
|
||
GeneID |
|||
UniProt ID |
|||
Function |
Essential for the control of the cell cycle at the G2/M (mitosis) transition.
|
||
Summary |
Essential for the control of the cell cycle at the G2/M (mitosis) transition.
|
||
Storage & Stability |
Store at +4°C short term. For long-term storage, aliquot and store at -20°C or below. Stable for 12 months at -20°C. Avoid repeated freeze-thaw cycles.
|
||
Applications |
WB, IHC-P, E
|
||
Dilution |
IHC-P~~1:25
WB~~1:1000
|
||
Images |
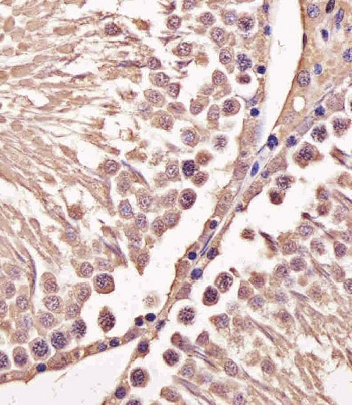
Immunohistochemical analysis of paraffin-embedded M. testis section using M CCNB1 Antibody (Center S123/S125)( APR04562G). APR04562G was diluted at 1:25 dilution. A undiluted biotinylated goat polyvalent antibody was used as the secondary, followed by DAB staining.
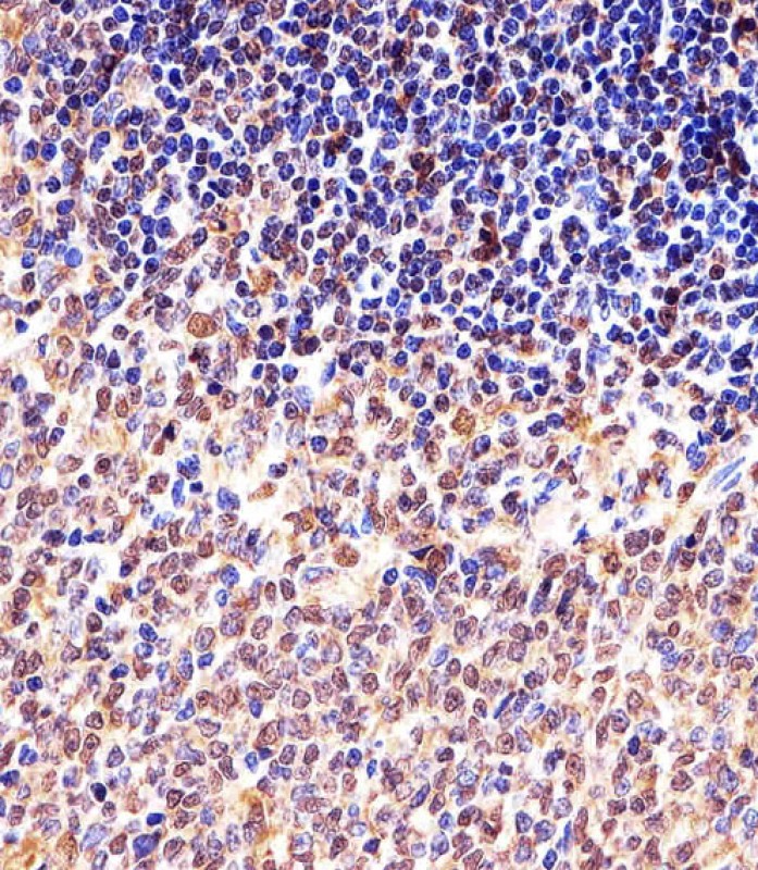
Immunohistochemical analysis of paraffin-embedded M. spleen section using M CCNB1 Antibody (Center S123/S125)( APR04562G). APR04562G was diluted at 1:25 dilution. A undiluted biotinylated goat polyvalent antibody was used as the secondary, followed by DAB staining.
Mouse CCNB1 Antibody (Center S123/S125)(Cat. APR04562G) western blot analysis in mouse NIH/3T3 cell line and mouse spleen tissue lysates (35ug/lane).This demonstrates the mouse CCNB1 antibody detected the mouse CCNB1 protein (arrow). |
||
Specification |
|||
Quantity |
|
||
| Select | Brand | Catalog No. | Product Name | Pack Size | Type | Field of Research | Specification | Quantity | Price(USD) | |
| 1 | Leading Biology | APR03440G | ITGA11 Antibody (N-term) | 100 μl | Polyclonal Antibodies |
|
$495.00 | Add Ask | ||
| 2 | Leading Biology | APR04537G | CMIP Antibody (C-term) | 100 μl | Polyclonal Antibodies |
|
$495.00 | Add Ask | ||
| 3 | Leading Biology | APR12422G | Human H4 Histamine Receptor (extracellular) Antibody | 50 μl | Polyclonal Antibodies |
|
$695.00 | Add Ask | ||
| 4 | Leading Biology | APR03844G | UBE2W Antibody (C-term) | 100 μl | Polyclonal Antibodies |
|
$495.00 | Add Ask | ||
| 5 | Leading Biology | APR04349G | HECTD2 Antibody (N-term) | 100 μl | Polyclonal Antibodies |
|
$495.00 | Add Ask | ||
| 6 | Leading Biology | APR03502G | IGHG1 Antibody (Center) | 100 μl | Polyclonal Antibodies |
|
$495.00 | Add Ask |
Leading Biology Inc.
2600 Hilltop DR, Building G, B Suite C138
Richmond, CA, 94806
Tel: 1-661-524(LBI)-0262
Email: info@leadingbiology.com
Complete this form and click send to ask us a question, request a quote or simply say hello.

You have 0 item in your cart

You have 0 item in your inquiry list