> Antigen, Antibodies, ELISA, Western Blot > Primary Antibody > Polyclonal Antibodies > RTDR1 Antibody (N-term)Brand |
Leading Biology | Catalog Number |
APR03795G |
Product Type |
Polyclonal Antibodies | Field of Research |
|
Product Overview |
We constantly strive to ensure we provide our customers with the best antibodies. As a result of this work we offer this antibody in purified format.
We are in the process of updating our datasheets. If you have any questions regarding this update, please feel free to contact our technical support team.
This product is a high quality RTDR1 Antibody (N-term).
|
||
Molecular Weight |
38592 Da
|
||
Host |
Rabbit
|
||
Species Reactivity |
Human
|
||
Immunogen |
17-45 aa
|
||
Target |
This RTDR1 antibody is generated from rabbits immunized with a KLH conjugated synthetic peptide between 17-45 amino acids from the N-terminal region of human RTDR1.
|
||
Isotype |
Rabbit Ig
|
||
GeneID |
|||
UniProt ID |
|||
Summary |
This gene encodes a protein with no known function butwith slight similarity to a yeast vacuolar protein. The gene islocated in a region deleted in pediatric rhabdoid tumors of thebrain, kidney and soft tissues, but mutations in this gene have notbeen associated with the disease.
|
||
Storage & Stability |
Store at +4°C short term. For long-term storage, aliquot and store at -20°C or below. Stable for 12 months at -20°C. Avoid repeated freeze-thaw cycles.
|
||
Applications |
WB, IHC-P, E
|
||
Dilution |
WB~~1:1000
IHC-P~~1:10~50
|
||
Images |
RTDR1 Antibody (N-term) (Cat. APR03795G) western blot analysis in NCI-H460 cell line lysates (35ug/lane).This demonstrates the RTDR1 antibody detected the RTDR1 protein (arrow).
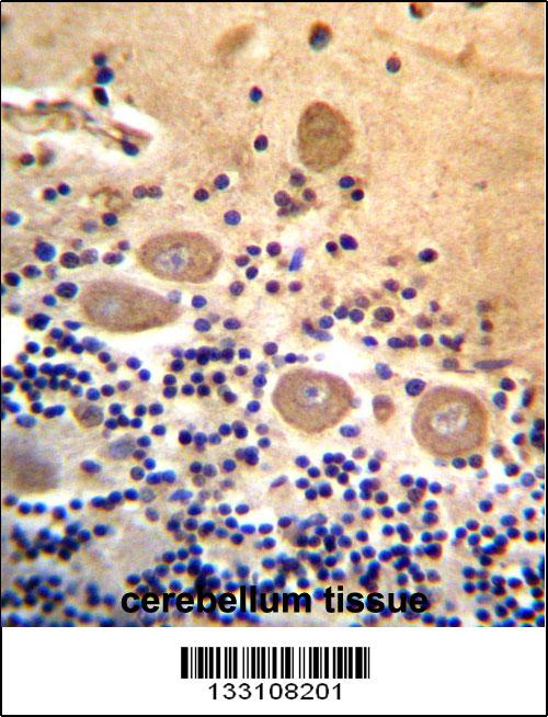
RTDR1 Antibody (N-term) (Cat. APR03795G)immunohistochemistry analysis in formalin fixed and paraffin embedded human cerebellum tissue followed by peroxidase conjugation of the secondary antibody and DAB staining.This data demonstrates the use of RTDR1 Antibody (N-term) for immunohistochemistry. Clinical relevance has not been evaluated. |
||
Specification |
|||
Quantity |
|
||
| Select | Brand | Catalog No. | Product Name | Pack Size | Type | Field of Research | Specification | Quantity | Price(USD) | |
| 1 | Leading Biology | APR03440G | ITGA11 Antibody (N-term) | 100 μl | Polyclonal Antibodies |
|
$495.00 | Add Ask | ||
| 2 | Leading Biology | APR04537G | CMIP Antibody (C-term) | 100 μl | Polyclonal Antibodies |
|
$495.00 | Add Ask | ||
| 3 | Leading Biology | APR12422G | Human H4 Histamine Receptor (extracellular) Antibody | 50 μl | Polyclonal Antibodies |
|
$695.00 | Add Ask | ||
| 4 | Leading Biology | APR03844G | UBE2W Antibody (C-term) | 100 μl | Polyclonal Antibodies |
|
$495.00 | Add Ask | ||
| 5 | Leading Biology | APR04349G | HECTD2 Antibody (N-term) | 100 μl | Polyclonal Antibodies |
|
$495.00 | Add Ask | ||
| 6 | Leading Biology | APR03502G | IGHG1 Antibody (Center) | 100 μl | Polyclonal Antibodies |
|
$495.00 | Add Ask |
Leading Biology Inc.
2600 Hilltop DR, Building G, B Suite C138
Richmond, CA, 94806
Tel: 1-661-524(LBI)-0262
Email: info@leadingbiology.com
Complete this form and click send to ask us a question, request a quote or simply say hello.

You have 0 item in your cart

You have 0 item in your inquiry list