> Antigen, Antibodies, ELISA, Western Blot > Primary Antibody > Polyclonal Antibodies > SUMO4 Antibody (Center)Brand |
Leading Biology | Catalog Number |
APR03721G |
Product Type |
Polyclonal Antibodies | Field of Research |
|
Product Overview |
We constantly strive to ensure we provide our customers with the best antibodies. As a result of this work we offer this antibody in purified format.
We are in the process of updating our datasheets. If you have any questions regarding this update, please feel free to contact our technical support team.
This product is a high quality SUMO4 Antibody (Center).
|
||
Molecular Weight |
10685 Da
|
||
Host |
Rabbit
|
||
Species Reactivity |
Human
|
||
Target |
This SUMO4 antibody is generated from rabbits immunized with a KLH conjugated synthetic peptide selected from the center region of human SUMO4.
|
||
Isotype |
Rabbit Ig
|
||
Symbol |
SMT3H4
|
||
GeneID |
|||
UniProt ID |
|||
Function |
Ubiquitin-like protein which can be covalently attached to target lysines as a monomer. Does not seem to be involved in protein degradation and may modulate protein subcellular localization, stability or activity. Upon oxidative stress, conjugates to various anti-oxidant enzymes, chaperones, and stress defense proteins. May also conjugate to NFKBIA, TFAP2A and FOS, negatively regulating their transcriptional activity, and to NR3C1, positively regulating its transcriptional activity. Covalent attachment to its substrates requires prior activation by the E1 complex SAE1-SAE2 and linkage to the E2 enzyme UBE2I.
|
||
Summary |
SUMO4 is a member of the SUMO gene family. This family of small ubiquitin-related modifiers covalently modify target lysines in proteins and control the target proteins' subcellular localization, stability, or activity. Upon oxidative stress, SUMO4 conjugates to various anti-oxidant enzymes, chaperones, and stress defense proteins. This protein may also conjugate to NFKBIA, TFAP2A and FOS, negatively regulating their transcriptional activity, and to NR3C1, positively regulating its transcriptional activity. Covalent attachment to SUMO4 substrates requires prior activation by the E1 complex SAE1-SAE2 and linkage to the E2 enzyme UBE2I. In contrast to SUMO1, SUMO2 and SUMO3, SUMO4 seems to be insensitive to sentrin-specific proteases due to the presence of Pro-90. This may impair processing to mature form and conjugation to substrates. SUMO4 is located in the cytoplasm and specifically modifies IKBA, leading to negative regulation of NF-kappa-B-dependent transcription of the IL12B gene. The M55V substitution has been associated with type I diabetes.
|
||
Storage & Stability |
Store at +4°C short term. For long-term storage, aliquot and store at -20°C or below. Stable for 12 months at -20°C. Avoid repeated freeze-thaw cycles.
|
||
Applications |
IHC-P, WB, E
|
||
Dilution |
IHC-P~~1:50~100
WB~~1:1000
|
||
Images |
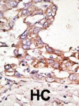
Formalin-fixed and paraffin-embedded human cancer tissue reacted with the primary antibody, which was peroxidase-conjugated to the secondary antibody, followed by AEC staining. This data demonstrates the use of this antibody for immunohistochemistry; clinical relevance has not been evaluated. BC = breast carcinoma; HC = hepatocarcinoma.
Western blot analysis of SUMO4 Antibody (Center) (Cat. APR03721G) in HepG2 cell line lysate. SUMO4(arrow) was detected using the purified Pab.
Western blot analysis of SUMO4 (arrow) using rabbit polyclonal SUMO4 Antibody (Center) (Cat. APR03721G). 293 cell lysates (2 ug/lane) either nontransfected (Lane 1) or transiently transfected (Lane 2) with the SUMO4 gene. |
||
Specification |
|||
Quantity |
|
||
| Select | Brand | Catalog No. | Product Name | Pack Size | Type | Field of Research | Specification | Quantity | Price(USD) | |
| 1 | Leading Biology | APR03440G | ITGA11 Antibody (N-term) | 100 μl | Polyclonal Antibodies |
|
$495.00 | Add Ask | ||
| 2 | Leading Biology | APR04537G | CMIP Antibody (C-term) | 100 μl | Polyclonal Antibodies |
|
$495.00 | Add Ask | ||
| 3 | Leading Biology | APR12422G | Human H4 Histamine Receptor (extracellular) Antibody | 50 μl | Polyclonal Antibodies |
|
$695.00 | Add Ask | ||
| 4 | Leading Biology | APR03844G | UBE2W Antibody (C-term) | 100 μl | Polyclonal Antibodies |
|
$495.00 | Add Ask | ||
| 5 | Leading Biology | APR04349G | HECTD2 Antibody (N-term) | 100 μl | Polyclonal Antibodies |
|
$495.00 | Add Ask | ||
| 6 | Leading Biology | APR03502G | IGHG1 Antibody (Center) | 100 μl | Polyclonal Antibodies |
|
$495.00 | Add Ask |
Leading Biology Inc.
2600 Hilltop DR, Building G, B Suite C138
Richmond, CA, 94806
Tel: 1-661-524(LBI)-0262
Email: info@leadingbiology.com
Complete this form and click send to ask us a question, request a quote or simply say hello.

You have 0 item in your cart

You have 0 item in your inquiry list