> Antigen, Antibodies, ELISA, Western Blot > Primary Antibody > Polyclonal Antibodies > SAE2 (UBA2) Antibody (C-term E616)Brand |
Leading Biology | Catalog Number |
APR03461G |
Product Type |
Polyclonal Antibodies | Field of Research |
|
Product Overview |
We constantly strive to ensure we provide our customers with the best antibodies. As a result of this work we offer this antibody in purified format.
We are in the process of updating our datasheets. If you have any questions regarding this update, please feel free to contact our technical support team.
This product is a high quality SAE2 (UBA2) Antibody (C-term E616).
|
||
Molecular Weight |
71224 Da
|
||
Cellular Localization |
Antigen Cellular Localization:
Cytoplasm. Nucleus. Note=Shuttles between the cytoplasm and the nucleus, sumoylation is required either for nuclear translocation or nuclear retention
|
||
Host |
Rabbit
|
||
Species Reactivity |
Human
|
||
Immunogen |
601-631 aa
|
||
Target |
This SAE2 (UBA2) antibody is generated from rabbits immunized with a KLH conjugated synthetic peptide between 601-631 amino acids from the C-terminal region of human SAE2 (UBA2).
|
||
Isotype |
Rabbit Ig
|
||
Symbol |
SAE2, UBLE1B
|
||
GeneID |
|||
UniProt ID |
|||
Function |
The heterodimer acts as a E1 ligase for SUMO1, SUMO2, SUMO3, and probably SUMO4. It mediates ATP-dependent activation of SUMO proteins followed by formation of a thioester bond between a SUMO protein and a conserved active site cysteine residue on UBA2/SAE2.
|
||
Summary |
Ubiquitin is covalently attached to target proteins by a multienzymatic system consisting of E1 (ubiquitin-activating), E2 (ubiquitin-conjugating), and E3 (ubiquitin-ligating) enzymes. NEDD8, a ubiquitin-like protein, is conjugated to proteins in a manner analogous to ubiquitinylation. beta-amyloid precursor protein-binding protein-1 (APPBP1) can bind to NEDD8 in rabbit reticulocyte lysates. However, since APPBP1 shows similarity to only the N-terminal domain of an E1 enzyme, it must interact with a protein showing similarity to the C-terminal region of E1s. By searching sequence databases, a cDNAs encoding UBA3 was identified as the human homolog of yeast Uba3. The predicted 442-amino acid UBA3 protein shares 43% sequence identity with yeast Uba3. In vitro, UBA3 formed a complex with APPBP1 and a thioester linkage with NEDD8. APPBP1/UBA3 complex may function as an E1-like enzyme for the activation of NEDD8.
|
||
Storage & Stability |
Store at +4°C short term. For long-term storage, aliquot and store at -20°C or below. Stable for 12 months at -20°C. Avoid repeated freeze-thaw cycles.
|
||
Applications |
WB, IHC-P, E
|
||
Dilution |
WB~~1:1000
IHC-P~~1:50~100
|
||
Images |
The anti-UBA2 C-term E616 Antibody (Cat.APR03461G) is used in Western blot to detect UBA2 in Jurkat lysate.
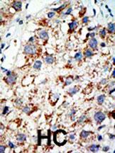
Formalin-fixed and paraffin-embedded human cancer tissue reacted with the primary antibody, which was peroxidase-conjugated to the secondary antibody, followed by AEC staining. This data demonstrates the use of this antibody for immunohistochemistry; clinical relevance has not been evaluated. BC = breast carcinoma; HC = hepatocarcinoma. |
||
Specification |
|||
Quantity |
|
||
| Select | Brand | Catalog No. | Product Name | Pack Size | Type | Field of Research | Specification | Quantity | Price(USD) | |
| 1 | Leading Biology | APR03440G | ITGA11 Antibody (N-term) | 100 μl | Polyclonal Antibodies |
|
$495.00 | Add Ask | ||
| 2 | Leading Biology | APR04537G | CMIP Antibody (C-term) | 100 μl | Polyclonal Antibodies |
|
$495.00 | Add Ask | ||
| 3 | Leading Biology | APR12422G | Human H4 Histamine Receptor (extracellular) Antibody | 50 μl | Polyclonal Antibodies |
|
$695.00 | Add Ask | ||
| 4 | Leading Biology | APR03844G | UBE2W Antibody (C-term) | 100 μl | Polyclonal Antibodies |
|
$495.00 | Add Ask | ||
| 5 | Leading Biology | APR04349G | HECTD2 Antibody (N-term) | 100 μl | Polyclonal Antibodies |
|
$495.00 | Add Ask | ||
| 6 | Leading Biology | APR03502G | IGHG1 Antibody (Center) | 100 μl | Polyclonal Antibodies |
|
$495.00 | Add Ask |
Leading Biology Inc.
2600 Hilltop DR, Building G, B Suite C138
Richmond, CA, 94806
Tel: 1-661-524(LBI)-0262
Email: info@leadingbiology.com
Complete this form and click send to ask us a question, request a quote or simply say hello.

You have 0 item in your cart

You have 0 item in your inquiry list